Vol. 23 - Num. 30

Casos clínicos. Miscelánea

Gonalgia crónica en adolescente asociado a claudicación de la marcha

Juan Hidalgo Sanza, M.ª Teresa Abós Cenarrob, M.ª José Sánchez Maloc, Inés Romagosa Sánchez-Monged, Cristina Bardella Gile, M.ª Teresa Cenarro Guerrerof

aServicio de Pediatría. Hospital Universitario Miguel Servet. Zaragoza. España.
bCS Torre Ramona. Zaragoza. España.
cHospital Comarcal Reina Sofía. Tudela. Navarra. España.
dServicio de Pediatría.Hospital Universitario Miguel Servet. Zaragoza. España.
eMIR-Pediatría. Hospital Universitario Miguel Servet. CS Torrero La Paz. Zaragoza. España.
fPediatra. CS Ruiseñores. Zaragoza. España.

Cómo citar este artículo: Hidalgo Sanz J, Abós Cenarro MT, Sánchez Malo MJ, Romagosa Sánchez-Monge I, Bardella Gil C, Cenarro Guerrero MT. Gonalgia crónica en adolescente asociado a claudicación de la marcha. Rev Pediatr Aten Primaria. Supl. 2021(30):220-1.

Publicado en Internet: 30-11--0001 - Número de visitas: 6366

INTRODUCCIÓN

La epifisiólisis de la cabeza femoral (ECF) es la patología de cadera más frecuente en adolescentes. Típicamente afecta a pacientes que acuden por cojera y dolor en la región de la cadera o la rodilla. En la ECF se produce un desplazamiento anterosuperior de la metáfisis respecto a la epífisis debido a una falta de contención en la fisis de crecimiento.

Es más frecuente en periodo peripuberal y está fuertemente relacionado con un índice de masa corporal (IMC) corporal elevado.

CASO CLÍNICO

Paciente de 14 años con antecedentes personales de preobesidad (IMC: 29,3 kg/m2) que es controlado en la consulta por gonalgia derecha. A los 11 años sufre traumatismo de rodilla derecha, realizándose radiografía sin apreciarse alteración ósea. Un año después persiste dolor articular con algún proceso intercurrente de derrame articular. En la exploración física persisten molestias a nivel de inserción de ligamento cruzado interno. Se repite radiografía que no muestra hallazgos de interés. Se deriva a Traumatología, dándole de alta por no apreciar ninguna patología ósea de relevancia.

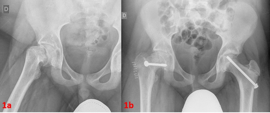
Sin embargo, acude de nuevo, por presentar empeoramiento con claudicación importante de la marcha e imposibilidad de flexoextensión derechas. A la exploración, destaca actitud de rotación externa de la cadera al realizar una flexión de esta (signo de Drehmann positivo). Se deriva nuevamente a Traumatología que realiza radiografía de cadera compatible con ECF bilateral (Fig. 1A), por lo que realizan atornillado bilateral (Fig. 1B).

Figura 1. A: radiografía anteroposterior de la cadera derecha. Se aprecia desplazamiento anterosuperior de la metáfisis proximal respecto a la epífisis. B: cambios posquirúrgicos por reducción de ECF derecho con material de osteosíntesis (tornillos)
Figura 1. A: radiografía anteroposterior de la cadera derecha. Se aprecia desplazamiento anterosuperior de la metáfisis proximal respecto a la epífisis. B: cambios posquirúrgicos por reducción de ECF derecho con material de osteosíntesis (tornillos)

En la actualidad, el paciente tiene buena respuesta al tratamiento quirúrgico, sin referir dolor y desapareciendo la cojera.

CONCLUSIONES

La ECF debe estar presente en el diagnóstico diferencial de claudicación de la marcha y dolor de rodilla o cadera en pacientes peripuberales con sobrepeso. La ECF puede presentarse sin dolor de cadera. Dada la alta prevalencia de bilateralidad (hasta el 63% de los casos), es importante hacer radiografía de ambas caderas ante la sospecha de ECF.

El tratamiento es quirúrgico, de manera precoz mediante osteosíntesis con tornillo canulado, con buen pronóstico en la mayoría de los casos.

CONFLICTO DE INTERESES

Los autores declaran no presentar conflicto de intereses en relación con la preparación y publicación de este artículo.

ABREVIATURAS

ECF: epifisiólisis de la cabeza femoral · IMC: índice de masa corporal.

BIBLIOGRAFÍA