Vol. 23 - Num. 30

Casos clínicos. Miscelánea

Del traumatismo banal, a la urgencia ortopédica

Cristina Martínez Badilloa, M.ª Teresa Centeno Roblesb, Ana Librán Peñab

aMIR-Medicina Familiar y Comunitaria. CS Circunvalación. Valladolid. España.
bPediatra. CS Circunvalación. Valladolid. España.

Cómo citar este artículo: Martínez Badillo C, Centeno Robles MT, Librán Peña A. Del traumatismo banal, a la urgencia ortopédica. Rev Pediatr Aten Primaria. Supl. 2021(30):233-4.

Publicado en Internet: 30-11--0001 - Número de visitas: 6213

INTRODUCCIÓN

La epifisiólisis femoral proximal es la fractura del cartílago de crecimiento del fémur proximal, desplazándose la epífisis femoral proximal con respecto a la metáfisis. Su inicio suele ser insidioso, por lo que es importante detectar signos precoces debido a las posibles complicaciones en que puede derivar, como necrosis avascular de cabeza femoral o cierre prematuro del cartílago de crecimiento.

CASO CLÍNICO

Presentamos el caso de una niña de 12 años que acude a la consulta de su pediatra por dolor de pierna izquierda. Refiere antecedente de un traumatismo con posterior cojera intermitente que ha remitido. En la exploración física no se aprecia en ese momento ninguna alteración.

Un mes después, consulta por persistencia de dolor en la misma región, sin que condicione su vida diaria, siendo de nuevo la exploración normal. Se recomienda observación y antiinflamatorios.

Posteriormente, acude una vez más por continuar con dolor mecánico que ahora ocasiona cojera. En la exploración física destaca un peso de 71 kg, una talla de 158 cm, siendo el índice de masa corporal de 28,44 cm2, refiriendo una ganancia de 12 kg en el último año. Presenta un triángulo de evaluación pediátrica estable, ligero acortamiento de extremidad inferior izquierda, sin alteración rotacional y cojera evidente con marcha en Trendelemburg, además de dolor en la flexión a 90º y en la abducción a 20°.

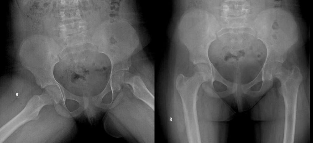
Se solicita una radiografía de caderas, observándose en el lado izquierdo un desplazamiento inferior de la epífisis respecto a la metáfisis (Fig. 1 y 2) no estando alterada la congruencia articular, y con cadera derecha normal.

Figuras 1 y 2. Desplazamiento inferior de la epífisis respecto a la metáfisis
Figura 1. Desplazamiento inferior de la epífisis respecto a la metáfisis

Se envía a urgencias hospitalarias, donde realiza tomografía axial computarizada que confirma el diagnóstico de epifisiólisis de cadera izquierda. Como tratamiento se lleva a cabo osteosíntesis con tornillo canulado, sin incidencias (Fig. 3). Se ha realizado posteriormente un seguimiento entre el servicio de Traumatología y Pediatría de Atención Primaria, presentando buena evolución.

Figura 3. Osteosíntesis con tornillo canulado
Figura 3. Osteosíntesis con tornillo canulado

CONCLUSIONES

Con este caso queremos poner de manifiesto la importancia de detectar signos precoces de alarma en Atención Primaria. La epifisiólisis femoral afecta fundamentalmente a varones entre 9 y 16 años, relacionándose por ejemplo con endocrinopatías, pero siendo la mayoría de causa idiopática y estando la obesidad presente en casi un 50% de los casos. Los síntomas más comunes, como en nuestro caso, son coxalgia, limitación de movimientos y cojera. Constituye una urgencia ortopédica, siendo la radiografía de caderas la prueba diagnóstica de elección.

CONFLICTO DE INTERESES

Las autoras declaran no presentar conflicto de intereses en relación con la preparación y publicación de este artículo.