Vol. 23 - Num. 30

Casos clínicos. Miscelánea

Malformación uterina como causa de dismenorrea en una adolescente

Sara Olivares Aguirrea, María Escobar Castellanosb, Sara Suárez Cabezasc, M.ª Blanca Herrero Mendozac

aMIR-Pediatría. Hospital Universitario Infanta Leonor. Madrid. España.
bPediatra. CS Pavones. Servicio de Pediatría. Hospital Universitario Infanta Leonor. Madrid. España.
cServicio de Pediatría. Hospital Universitario Infanta Leonor. Madrid. España.

Cómo citar este artículo: Olivares Aguirre S, Escobar Castellanos M, Suárez Cabezas S, Herrero Mendoza MB. Malformación uterina como causa de dismenorrea en una adolescente. Rev Pediatr Aten Primaria. Supl. 2021(30):237-8.

Publicado en Internet: 30-11--0001 - Número de visitas: 5242

INTRODUCCIÓN

La dismenorrea (dolor uterino que precede y acompaña a la menstruación) es uno de los motivos de consulta ginecológicos más frecuentes en las adolescentes, siendo fundamental diferenciar entre primaria y secundaria. Aunque la etiología primaria es la más frecuente (43-93%), es necesario realizar una anamnesis y una exploración física cuidadosas en las adolescentes que consulten por dolor pélvico. Las anomalías estructurales del útero, la vagina y el himen que obstruyen parcialmente el flujo menstrual pueden presentarse con dismenorrea grave poco después de la menarquia.

CASO CLÍNICO

Adolescente mujer de 13 años que consulta por dolor abdominal creciente de tres días de evolución, coincidiendo con el inicio de la menstruación. Asocia anuria en las últimas 24 horas. Niega clínica miccional o fiebre asociada. Menarquia hace ocho meses, eumenorrea, con menstruaciones regulares todos los meses. No hábito estreñido.

A la exploración destaca afectación del estado general por dolor, abdomen globuloso con dolor y defensa abdominal en hipogastrio y ambas fosas iliacas. Se solicita analítica sanguínea sin alteraciones significativas. Se realiza una ecografía abdominal en la que destaca vejiga distendida con contenido anecoico y útero aumentado de tamaño con contenido heterogéneo en su interior sin flujo doppler; no se visualiza riñón izquierdo. Se realiza sondaje vesical con salida de un litro de orina y tira de orina sin alteraciones.

Es derivada a ginecología, visualizándose en la exploración himen perforado y cara lateral izquierda de la vaginal distendida y a tensión que impide la localización del fondo de la vagina.

Se indica tomografía computarizada urgente en el que se visualiza útero con marcada distensión del cuerpo, en probable relación con malformación vaginal y riñón derecho único (Fig. 1).

Figura 1. Tomografía computarizada
Figura 1. Tomografía computarizada

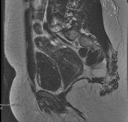
Se solicita posteriormente una resonancia magnética nuclear pélvica en al que se evidencia un útero doble (didelfo) y dos hemivaginas con la izquierda obstruida (Fig. 2).

Figura 2. Resonancia magnética
Figura 2. Resonancia magnética

CONCLUSIONES

El útero didelfo o doble, supone la duplicación de las estructuras reproductivas, generalmente limitadas al útero y cérvix. Un 15-20% asocian anomalías unilaterales como obstrucción de una hemivagina o agenesia renal ipsilateral. La ecografía supone la prueba diagnóstica inicial de elección, requiriendo la resonancia magnética de forma excepcional. Las principales complicaciones son los abortos espontáneos (32%) y partos pretérmino (28%). Los hallazgos de la paciente son compatibles con un síndrome de hemivagina obstruida-anomalía renal ipsilateral o síndrome de Herlyn-Wermer-Wunderlich (Fig. 3).

Figura 3. Síndrome de Herlyn-Wermer-Wunderlich
Figura 3. Síndrome de Herlyn-Wermer-Wunderlich

CONFLICTO DE INTERESES

Las autoras declaran no presentar conflictos de intereses en relación con la preparación y publicación de este artículo.