Vol. 23 - Num. 30

Casos clínicos. Prevención y promoción de la salud

Ingesta de pila de botón, ¿urgencia médica?

Silvia Rodríguez del Rosarioa, Carmen Goez Sanza, Laura Sáez Garcíab, Susana Hernández Garridoc, Elsa Izquierdo Herrerod, Jorge Carranza Ferrere

aMIR-Pediatría. Hospital Clínico Universitario de Valladolid. Valladolid. España.
bEnfermera. Domusvi. Madrid. España.
cPediatra. CS La Victoria. Valladolid. España.
dServicio de Pediatría. Hospital Clínico Universitario de Valladolid. Valladolid. España.
eServicio de Pediatría. Hospital Clínico Universitario de Valladolid . Valladolid. España.

Cómo citar este artículo: Rodríguez del Rosario S, Goez Sanz C, Sáez García L, Hernández Garrido S, Izquierdo Herrero E, Carranza Ferrer J. Ingesta de pila de botón, ¿urgencia médica? Rev Pediatr Aten Primaria. Supl. 2021(30):297-8.

Publicado en Internet: 30-11--0001 - Número de visitas: 7126

INTRODUCCIÓN

La ingesta de cuerpos extraños es un motivo de consulta en urgencias frecuente en la población pediátrica. Un diagnóstico precoz y tratamiento, en caso necesario, disminuye la morbilidad y la estancia hospitalaria. Presentamos el caso clínico de ingesta accidental de una pila de botón en un lactante.

CASO CLÍNICO

Paciente varón de dieciocho meses que acude a urgencias con su madre por ingesta accidental de pila de botón 20 minutos previos. No refieren episodio de atragantamiento posterior, no tos ni dificultad respiratoria, no vómitos. No otra sintomatología de interés.

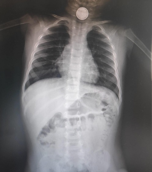
En la exploración física destaca sialorrea significativa sin signos de dificultad respiratoria, auscultación cardiopulmonar normal, sin otros síntomas asociados. Constantes normales. Se realiza una radiografía de tórax-abdomen (Figura 1) visualizándose pila de botón en tercio superior de esófago. Se procede a extracción urgente de cuerpo extraño en el quirófano bajo guía broncoscópica y se realiza esofagograma en el que se observa quemadura esofágica grado II secundaria.

Figura 1. Radiografía tórax-abdomen
Figura 1. Medición del diámetro corneal

Traslado inicial del paciente a la unidad de cuidados intensivos pediátricos donde permanece intubado en las primeras 24 horas, a dieta absoluta con sonda nasogástrica. Pasa a planta de hospitalización donde permanece ingresado durante nueve días. Se inicia nutrición enteral con dieta hipercalórica inicialmente por sonda nasogástrica con progresión de esta hasta su completa tolerancia vía oral. Administrada antibioterapia endovenosa con amoxicilina-clavulánico. Previo al alta se realiza esofagograma de control sin evidenciar fugas ni estenosis y con leve úlcera superficial residual. Se decide alta a domicilio con seguimiento en consultas externas. 

CONCLUSIONES

La presencia de pilas de botón en muchos objetos domésticos, accesibles para los niños, hace que su ingesta sea un hecho cada vez más frecuente. La sintomatología puede variar según la edad, localización y tamaño, teniendo peor pronóstico aquellos con tamaño mayor a 20 mm, se alojan en esófago y en pacientes de menor edad. El manejo terapéutico va a depender de la localización y/o presencia de sintomatología. La mayoría de los pacientes van a estar asintomáticos y, por tanto, según las guías actuales solo es necesario realizar un adecuado seguimiento clínico-radiológico, que dada la gravedad del proceso, debe ser estrecho. En el caso de nuestra paciente, la presencia de sintomatología, así como la localización en esófago fueron indicadores de extracción endoscópica urgente para evitar peores consecuencias adversas.

Es importante una adecuada educación sanitaria a la población para prevenir este tipo de accidentes domésticos y las consecuencias derivadas de éstos, a veces fatales.

CONFLICTO DE INTERESES

Los autores declaran no presentar conflictos de intereses en relación con la preparación y publicación de este artículo.