Vol. 23 - Num. 30

Casos clínicos. Miscelánea

Exóstosis tibial. Hallazgo casual

Laura Colino Martíneza, M.ª Soledad Fernández Moreiraa, Cristina Martínez del Pozob, María Tríguez Garcíab, Nuria Zamora Gonzálezb, Magdalena Naec

aMIR-Medicina Familiar y Comunitaria. CS Eras del Bosque. Palencia. España.
bPediatra. CS Eras del Bosque. Palencia. España.
cMIR-Medicina Familiar y Comunitaria. CS La Puebla. Palencia. España.

Cómo citar este artículo: Colino Martínez L, Fernández Moreira MS, Martínez del Pozo C, Tríguez García M, Zamora González N, Nae M. Exóstosis tibial. Hallazgo casual. Rev Pediatr Aten Primaria. Supl. 2021(30):261-2.

Publicado en Internet: 30-11--0001 - Número de visitas: 15641

INTRODUCCIÓN

Los tumores óseos benignos más frecuentes son los osteocondromas (30%), son de origen cartilaginoso y habitualmente se diagnostican como hallazgo casual en la primera y segunda décadas de la vida.

CASO CLÍNICO

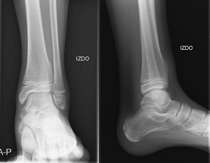
Paciente de 12 años con antecedentes de quiste óseo en el húmero derecho, intervenido a los tres y los 6 años de edad, y enfermedad de Crohn en tratamiento actual con adalimumab 20 mg cada 14 días, acude por dolor en pierna izquierda tras traumatismo casual. En la exploración, presenta leve aumento de temperatura local en tobillo izquierdo, sin dolor ni eritema, y destaca palpación de reborde óseo en maléolo externo con movilidad conservada. En la radiografía se observa una tumoración en la parte distal de tibia izquierda asociada a aumento de partes blandas (Fig. 1). Debido a los antecedentes de patología ósea y a los hallazgos radiológicos, se deriva a la paciente a traumatología, donde se diagnostica de osteocondroma en tibia distal izquierda. Indican vigilancia periódica y nueva derivación en caso de observar crecimiento de la lesión.

Figura 1. Radiografía
Figura 1. Radiografía

CONCLUSIONES

Un osteocondroma es una exóstosis ósea cubierta de cartílago que surge en la superficie externa de un hueso. Suelen aparecer de forma espontánea o tras un tratamiento de radioterapia. El fémur distal es la ubicación más común.

Se presentan típicamente como una masa indolora cerca de una articulación o en el esqueleto axial, o como una masa dolorosa asociada con un traumatismo local. Los osteocondromas cerca de los extremos de los huesos largos son palpables.

La transformación condrosarcomatosa es rara en los niños. La biopsia y la extirpación del osteocondroma pueden estar justificadas para lesiones con una capa de ≥2 cm de espesor cuando las fisis están fusionadas.

En este caso, la paciente se ha mantenido en todo momento asintomática y el tumor se ha encontrado de manera casual tras un traumatismo. Hay que destacar la importancia de la exploración física tras traumatismos casuales y de la correcta valoración de las pruebas de imagen.

CONFLICTO DE INTERESES

Los autores declaran no presentar conflicto de intereses en relación con la preparación y publicación de este artículo.