Vol. 23 - Num. 91
Notas clínicas
Miriam Melissa Mendoza Cháveza, Patricia Castilla Ruizb, Félix Guerra Gutiérrezc, Roi Piñeiro Pérezd
aServicio de Pediatría y Neonatología. Hospital General de Villalba. Madrid.
bServicio de Pediatría y Neonatología. Hospital General de Villalba. Madrid. España.
cServicio de Radiodiagnóstico. Hospital General de Villalba. Madrid. España.
dServicio de Pediatría. Hospital General de Villalba. Collado Villalba. Madrid. España.
Correspondencia: MM Mendoza . Correo electrónico: miriam.mendoza@hgvillalba.es
Cómo citar este artículo: Mendoza Chávez MM, Castilla Ruiz P, Guerra Gutiérrez F, Piñeiro Pérez R. Llanto inexplicable en un lactante sano. Hernia diafragmática congénita de presentación tardía. Rev Pediatr Aten Primaria. 2021;23:293-5.
Publicado en Internet: 16-09-2021 - Número de visitas: 10069
Resumen
La hernia diafragmática congénita es un defecto simple del diafragma que permite el paso de los órganos abdominales al tórax. En la mayoría de los casos, se manifiesta en el periodo neonatal, con un cuadro de dificultad respiratoria grave, pero en algunos casos su presentación puede ser más tardía y con síntomas más diversos. Presentamos el caso de un lactante de seis meses que acude a Urgencias por irritabilidad y llanto persistente de una hora de evolución. La radiografía y ecografía torácica confirmaron el diagnóstico de hernia diafragmática.
Palabras clave
● Dolor abdominal ● Hernia ● Hernia diafragmática congénitaLactante varón de seis meses sin antecedentes de interés, que acude a urgencias por llanto persistente e irritabilidad de una hora de evolución. Afebril, sin otra sintomatología.
En la exploración física, se encuentra afebril, estable desde el punto de vista hemodinámico, con llanto persistente que calma solo de forma parcial en brazos de su padre. Auscultación cardiopulmonar normal, abdomen blando y depresible pero distendido, de difícil exploración por irritabilidad persistente, y que impresiona de doloroso a la palpación.
Se administra paracetamol por vía oral y se queda en observación. Mantiene irritabilidad por lo que se decide realización de radiografía y ecografía abdominal, sin hallazgos relevantes salvo discreta elevación de hemidiafragma izquierdo con abundante gas en estómago (Fig. 1).
| Figura 1. Hernia diafragmática congénita de presentación tardía (paciente de 6 meses): radiografía de abdomen con imagen aérea subdiafragmática |
|---|
![]() |

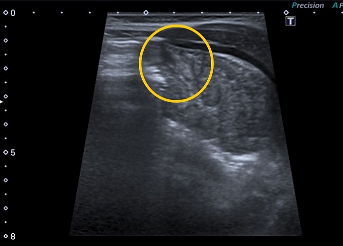
Se completa el estudio con una analítica, sin alteraciones, y una radiografía de tórax (Fig. 2) informada como consolidación basal izquierda sin poder descartar derrame pleural, motivo por el cual se decide realizar ecografía torácica donde se observa una imagen compatible con una hernia diafragmática congénita izquierda (Fig. 3).
| Figura 2. Hernia diafragmática congénita de presentación tardía (paciente de 6 meses): radiografía de tórax con imagen de consolidación basal izquierda; dudosa imagen aérea subdiafragmática |
|---|
![]() |

| Figura 3. Hernia diafragmática congénita de presentación tardía (paciente de 6 meses). En la ecografía torácica: localización: pared costal izquierda, por encima de la mamila; se observa asas intestinales (círculo amarillo) |
|---|
![]() |

Permanece ingresado en observación durante 24 horas, desapareciendo los síntomas y permaneciendo estable. Actualmente, se encuentra pendiente de realización de resonancia magnética y posible cirugía.
La hernia diafragmática congénita (HDC) es un defecto simple del diafragma de etiología desconocida, que permite el paso de los órganos abdominales al tórax1. En la mayoría de los casos, se manifiesta en el periodo neonatal, con un cuadro de dificultad respiratoria grave y alta mortalidad1. Los casos de presentación tardía representan entre un 5-45%2. Su localización más frecuente es la posterolateral izquierda (80%) y la relación hombre/mujer es de 2/13.
La expresión clínica es variable y depende de la localización y de la víscera herniada. Los síntomas incluyen desde síntomas respiratorios, gastrointestinales (vómitos, dolor abdominal) o la combinación de ambos1. La sintomatología respiratoria parece ser más frecuente en los defectos derechos mientras que en los izquierdos predominan los síntomas digestivos. En algunas ocasiones, el paciente puede encontrarse asintomático y el diagnóstico ser incidental4.
Hasta en un 80% de los casos se puede asociar a otras anomalías. Las más frecuentes son la malrotación intestinal o los defectos en la fijación intestinal, también los defectos cardiovasculares y pulmonares, los defectos del tubo neural, las anomalías cromosómicas o las alteraciones urogenitales5.
La sospecha clínica y la realización de una radiografía de tórax son la clave para el correcto diagnóstico. Sin embargo, en un 25% de los casos su interpretación puede ser errónea, precisándose otras pruebas3. Debemos tener en cuenta que una radiografía torácica normal no excluye el diagnóstico, ya que la HDC puede simular diferentes entidades como neumonía lobar, tumores, malformación quística adenomatoidea congénita pulmonar, neumotórax o derrame pleural6.
Si existe una alta sospecha clínica y una radiografía dudosa, se puede completar el estudio con otras pruebas diagnósticas como la ecografía, el tránsito gastrointestinal, la tomografía computarizada o la resonancia magnética2.
Cuando se confirma el diagnóstico, generalmente se recomienda el tratamiento quirúrgico inmediato para evitar posibles complicaciones como el vólvulo intestinal o la progresión de la dificultad respiratoria1.
Nuestro paciente presentó un cuadro de llanto persistente en posible relación con dolor abdominal, llegándose al diagnóstico tras la realización de una radiografía de tórax con una imagen sospechosa que se confirmó en la ecografía torácica. Dada su estabilidad clínica y a que luego permaneció asintomático, se prefirió completar el estudio diagnóstico previo a la realización de la cirugía. Nuestro caso, refleja la amplia variedad de manifestaciones clínicas de la HDC y la dificultad en su diagnóstico en los casos asintomáticos o poco sintomáticos.
La hernia diafragmática congénita de presentación tardía se puede manifestar con una gran variedad de síntomas, que pueden confundirse con otros diagnósticos. Por este motivo, debe considerarse siempre como diagnóstico diferencial de síntomas inespecíficos, como el llanto, que no pueden ser explicados por otras causas. Su diagnóstico y tratamiento quirúrgico precoz pueden evitar futuras complicaciones y garantizan un pronóstico favorable.
Los autores declaran no presentar conflictos de intereses en relación con la preparación y publicación de este artículo.
HDC: hernia diafragmática congénita.