Esther Vaquero Sosaa, Lucía Martínez de Leóna, Luz Brioso Castilloa, M.ª Isabel Rodríguez Velascoa
aPediatra. CS Meco. Madrid. España.
Correspondencia: E Vaquero. Correo electrónico: estvaqsos@yahoo.es
Cómo citar este artículo: Vaquero Sosa E, Martínez de León L, Brioso Castillo L, Rodríguez Velasco MI. Tumoración subungueal, no siempre son partes blandas. Rev Pediatr Aten Primaria. 2022;24:e111-e113.
Publicado en Internet: 24-02-2022 - Número de visitas: 14944
Resumen
La exostosis subungueal es un tipo de tumor óseo benigno, muy infrecuente en la infancia, que se localiza habitualmente en la falange distal del primer dedo del pie. Se presenta como una tumoración dolorosa que afecta a la uña y a los tejidos blandos periungueales. En su diagnóstico diferencial se incluyen lesiones dermatológicas como la verruga vulgar o el granuloma piogénico, y tumores óseos como el osteocondroma. El diagnóstico definitivo se basa en los hallazgos radiológicos e histopatológicos. Su tratamiento es la exéresis quirúrgica y suele tener buen pronóstico.
Palabras clave
● Exostosis ● SubunguealLa exostosis subungueal es un hallazgo poco habitual en la infancia, que se caracteriza por dolor y deformidad subungueal. La causa es un sobrecrecimiento del hueso trabecular, probablemente secundario a traumatismos. El diagnóstico de sospecha es clínico y se confirma mediante una radiografía. Su tratamiento es la resección quirúrgica1.
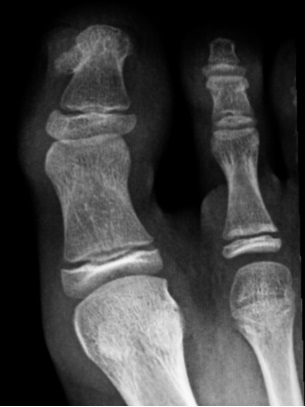
Niño de 11 años que fue valorado en la consulta de Pediatría por alteración de la uña del primer dedo del pie derecho sin traumatismo previo. Referían que había ido creciendo en los últimos seis meses y que le dolía al tocárselo o con el roce. En la exploración física se observó una tumoración subungueal hiperqueratósica con onicodistrofia, localizada en la zona dorsomedial del primer dedo del pie derecho (Fig. 1). Fue derivado a Dermatología para su valoración y con el juicio clínico de exostosis subungueal o fibroqueratoma digital/verruga vulgar se solicitó radiografía del dedo afecto (Fig. 2). En dicha prueba de imagen se confirmó la presencia de exostosis en la primera falange y se derivó a Traumatología para tratamiento quirúrgico.
| Figura 1. Tumoración subungueal hiperqueratósica con onicodistrofia localizada en la zona dorsomedial del primer dedo del pie derecho |
|---|
![]() |

La exostosis subungueal es un tumor óseo benigno infrecuente en la edad pediátrica, con mayor incidencia en el sexo femenino1. Aunque la patogenia exacta no está clara, se considera una metaplasia activa secundaria a traumatismos. Este sobrecrecimiento óseo se localiza habitualmente en la falange distal del primer dedo del pie, aunque también puede afectar a cualquier otro de las manos o de los pies2.
El diagnóstico es fundamentalmente clínico y se confirma con la imagen radiológica, en la que se observaría una lesión exofítica de densidad ósea sin interrupción de la cortical, habitualmente localizada en el borde lateral interno de la falange distal3.
Se ha considerado una variante del osteocondroma, el tumor óseo benigno más frecuente en los pies, pero en el momento actual estas dos entidades parecen ser clínica e histológicamente distintas. En la exploración física se presenta como un nódulo duro, doloroso, rosado, a veces hiperequeratósico, que sobresale del borde de la uña, con mayor o menor afectación de esta4. Y en el estudio histológico se evidencia crecimiento de hueso trabecular, con una cápsula de tejido cartilaginoso proliferante5,6.
En el diagnóstico diferencial, además del osteocondroma, se han de incluir entidades dermatológicas como como la verruga vulgar, el granuloma piogénico o el tumor glómico7.
El tratamiento es quirúrgico, realizando una resección total de la lesión para minimizar el riesgo de recurrencias y un adecuado cuidado de la herida para evitar repercusiones estéticas2.
La exostosis subungueal es un hallazgo poco frecuente en la edad pediátrica y puede ser confundida con patología dermatológica7,8. Por ello es importante conocerla y tenerla presente en la valoración de las tumoraciones subungueales que deforman la uña y los tejidos adyacentes. Así se podrá solicitar un estudio radiológico que confirme el diagnóstico y hacer un tratamiento quirúrgico adecuado que evite recidivas y complicaciones posteriores9.
Las autoras declaran no presentar conflictos de intereses en relación con la preparación y publicación de este artículo.