Vol. 24 - Num. 31

Casos clínicos. Gastroenterología, nutrición y obesidad

Dolor abdominal agudo como forma de presentación de una pancreatitis complicada

Teresa Torre Gonzáleza, Ainoa Buendía Gonzálezb, Pablo Marlasca San Martína, Rocío Sancho Gutiérrezb, M.ª Jesús Caldeiro Díazb, Salvador García Calatayud b

aMIR-Pediatría. Hospital Universitario Marqués de Valdecilla. Santander. Cantabria. España.
bHospital Universitario Marqués de Valdecilla. Santander. Cantabria. España.

Cómo citar este artículo: Torre González T, Buendía González A, Marlasca San Martín P, Sancho Gutiérrez R, Caldeiro Díaz MJ, García Calatayud S. Dolor abdominal agudo como forma de presentación de una pancreatitis complicada. Rev Pediatr Aten Primaria. Supl. 2022;(31): [en prensa].

Publicado en Internet: 30-11--0001 - Número de visitas: 4493

INTRODUCCIÓN

La pancreatitis es una patología poco frecuente en la edad pediátrica, pero su frecuencia ha aumentado en los últimos años llegando a una incidencia sobre 1/10 000 niños al año. La baja incidencia en esta edad no permite pautas diagnósticas y terapéuticas basadas en la evidencia por lo que este abordaje se basa en criterios adaptados de los consensos de las pancreatitis en la población adulta.

CASO CLÍNICO

Mujer de 15 años que refiere desde hace cinco días dolor epigástrico cólico que se irradia a la espalda, vómitos biliosos y afectación del estado general. Como antecedentes personales presenta obesidad y varios familiares habían sido colecistectomizados por litiasis. En la exploración son llamativos la afectación general por dolor y un abdomen doloroso a la palpación del epigastrio, sin defensa. Los análisis de sangre mostraron leucocitosis con neutrofilia, elevación de reactantes de fase aguda, hipertransaminasemia (GPT 155 U/l, GGT 134 U/l, fosfatasa alcalina 111 U/l), con datos de colestasis (bilirrubina total 3,9 mg/dl, bilirrubina directa 2,6 mg/dl) y una elevación de amilasa (1240 U/l) y lipasa (1172 U/l). La ecografía abdominal revela signos de pancreatitis aguda y colelitiasis sin datos de colecistitis. Se monitorizó función cardiaca, pulmonar y renal para detectar posibles complicaciones, y recibió tratamiento con sueroterapia, analgesia, precisando opiáceos e introducción precoz de la nutrición enteral.

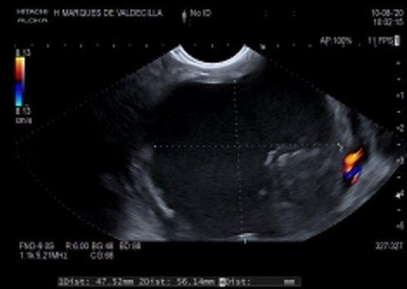
A las 72 h presentó febrícula y un difícil control del dolor, por lo que se realizó una TC abdominal que objetivó la formación de colecciones pseudoquísticas peripancreáticas (Fig. 1). Recibió tratamiento antibiótico endovenoso con ceftriaxona y metronidazol. Durante el seguimiento en las consultas de Gastroenterología Pediátrica se mantuvieron las colecciones quísticas con signos de pancreatitis necrotizante y compresión del confluente mesentérico-portal, por lo que finalmente se decidió drenaje guiado por ecoendoscopia mediante cistogastrostomía y colecistectomía programada tras su resolución, con buena evolución.

Figura 1. Colección peripancreática visualizada mediante ecoendoscopia
Figura 1. Colección peripancreática visualizada mediante ecoendoscopia

CONCLUSIONES

La pancreatitis aguda en Pediatría es una enfermedad poco frecuente, pero no rara. Las causas más frecuentes suelen ser malformativas, infecciosas, debidas a enfermedades metabólicas, genéticas, idiopáticas o por etiología obstructiva como en nuestro caso. Su diagnóstico se basa en un dolor abdominal compatible, vómitos y una elevación de la amilasa y lipasa pancreáticas, con hallazgos compatibles en las pruebas de imagen. La mayoría son de carácter leve con curso favorable mediante tratamiento de soporte. Este caso representa una evolución infrecuente de esta patología que precisó técnicas de imagen y tratamiento especiales.

CONFLICTO DE INTERESES

Los autores declaran no presentar conflictos de intereses en relación con la preparación y publicación de este artículo.

ABREVIATURAS

TC: tomografía computarizada.