Vol. 24 - Num. 31

Casos clínicos. Gastroenterología, nutrición y obesidad

Un debut inusual de enfermedad celíaca

Inés Romagosa Sánchez-Mongea, Belén Romagosa Sánchez-Mongeb, Cristina Bardella Gilc, Amelia Moreno Sáncheza, Belén Salinas Salvadora, M.ª Teresa Cenarro Guerrerod

aMIR-Pediatría. Hospital Universitario Miguel Servet. Zaragoza. España.
bPediatra. CS Balafia-Pardinyes-Secà. Lleida. España.
cPediatra. CS Fuentes de Ebro. Zaragoza. España.
dPediatra. CS Ruiseñores. Zaragoza. España.

Cómo citar este artículo: Romagosa Sánchez-Monge I, Romagosa Sánchez-Monge B, Bardella Gil C, Moreno Sánchez A, Salinas Salvador B, Cenarro Guerrero MT. Un debut inusual de enfermedad celíaca. Rev Pediatr Aten Primaria. Supl. 2022;(31): [en prensa].

Publicado en Internet: 30-11--0001 - Número de visitas: 4939

INTRODUCCIÓN

La enfermedad celíaca (EC) es una enfermedad multisistémica de tipo autoinmune, desencadenada por el consumo de gluten, que aparece en individuos con predisposición genética. Además de la forma clásica, caracterizada por la presencia de síntomas gastrointestinales iniciados a los 6-24 meses de vida, existen formas no clásicas o atípicas, siendo más frecuentes en edades mayores. Las manifestaciones no clásicas incluyen afectaciones extraintestinales como alteraciones dentales, artralgias, aftas de repetición, infertilidad o, como el presente caso, osteoporosis secundaria, entre otra sintomatología.

CASO CLÍNICO

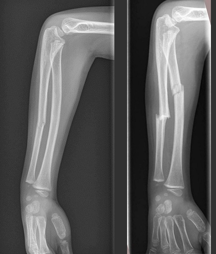
Nuestro paciente es un niño de 7 años al que, tras sufrir dos fracturas sin mecanismos de alto impacto, se le realiza una analítica para descartar causas de osteoporosis secundaria. En julio de 2021 presenta una fractura diafisaria de cúbito derecho sin desplazar que cura tras inmovilización con yeso cerrado braquiopalmar (Fig. 1). A principios de septiembre de 2021 sufre una fractura radiocubital diafisaria derecha tras caída desde su propia altura que precisa corrección quirúrgica (Fig. 1). En el control en el centro de salud se revisan radiografías impresionando de disminución de la masa ósea. La familia no refiere otra sintomatología y la exploración completa, incluyendo antropometría, es normal. No presentaba antecedentes familiares de patología tiroidea, celiaquía ni diabetes mellitus tipo I. Se realiza estudio analítico incluyendo hemograma, bioquímica básica, metabolismo fosfocálcico, vitamina D, metabolismo férrico, marcadores de inflamación, daño hepático y muscular, función tiroidea y anticuerpos antitransglutaminasa. En la analítica destacan unos anticuerpos antitransglutaminasa más de diez veces por encima del valor de referencia (8587,7 U/ml con límite de 20 U/ml). Al informar a la familia de estos hallazgos refieren que el paciente presentaba dolor abdominal intermitente y unas dos o tres deposiciones blandas diarias en las últimas dos o tres semanas. Ante la sospecha de una forma no clásica de EC es derivado al servicio de Gastroenterología Pediátrica de forma preferente, donde repiten analítica con marcadores serológicos (antitransglutaminasa de 8202,4 U/mL y antiendomisios positivos) y genéticos (HLA DQ2) que confirman la sospecha diagnóstica.

Figura 1. A la izquierda, fractura diafisaria de cúbito derecho (07/2021). A la derecha, fractura diafisaria de cúbito y radio derechos (09/2021)
Figura 1. A la izquierda, fractura diafisaria de cúbito derecho (07/2021). A la derecha, fractura diafisaria de cúbito y radio derechos (09/2021).

CONCLUSIONES

La EC es una afectación multisistémica que afecta aproximadamente al 1% de la población, que debemos tener presente ante cuadros digestivos y manifestaciones extraintestinales que se asocian a ello. Por otro lado, consideramos importante estudiar a niños que presentan radiografías compatibles con disminución de masa ósea para descartar causas de osteoporosis secundaria.

CONFLICTO DE INTERESES

Las autoras declaran no presentar conflictos de intereses en relación con la preparación y publicación de este artículo.

ABREVIATURAS

EC: enfermedad celíaca.