Vol. 24 - Num. 31
Casos clínicos. Dermatología
Amelia Moreno Sáncheza, David Molina Herranza, Belén Salinas Salvadora, Inés Romagosa Sánchez-Mongea, Esther Pitarch Rocaa, Cristina Bardella Gilb
aMIR-Pediatría. Hospital Universitario Miguel Servet. Zaragoza. España.
bPediatra. CS Fuentes de Ebro. Zaragoza. España.
Cómo citar este artículo: Moreno Sánchez A, Molina Herranz D, Salinas Salvador B, Romagosa Sánchez-Monge I, Pitarch Roca E, Bardella Gil C. Lesión en cuero cabelludo como hallazgo en revisión rutinaria en lactante de 6 meses. Rev Pediatr Aten Primaria. Supl. 2022;(31): [en prensa].
Publicado en Internet: 30-11--0001 - Número de visitas: 6240
El hemangioma infantil es el tumor benigno más frecuente de la infancia. Los hemangiomas son producidos por la proliferación de células endoteliales de vasos sanguíneos. Presentan una alta incidencia en niños menores de un año (4-10%) y la localización predominante es en la cabeza y el cuello. Su diagnóstico es clínico, aunque en ocasiones pueden ser necesarias pruebas complementarias. En la mayoría la tendencia es a la involución espontánea, aunque se estima que aproximadamente el 12% de ellos requiere tratamiento. La indicación del tratamiento debe individualizarse en cada paciente, teniendo en cuenta las guías de práctica clínica, la experiencia de los especialistas, las características de los pacientes y las preferencias de sus progenitores.
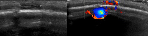
Paciente mujer sin antecedentes familiares ni personales de interés. Embarazo controlado y correctamente suplementado con ecografías prenatales normales. Parto eutócico a las 40+1 semanas con peso recién nacido de 2990 g (p25). No precisa reanimación al nacimiento. Cribado neonatal sin alteraciones. Seguimiento según programa de niño sano en su centro de salud. A los 6 meses se detecta en exploración física plagiocefalia, fontanela anterior de 1,5 × 1,5 cm y a nivel posterior de esta en sutura coronal se visualiza lesión nodular de consistencia blanda redondeada de 0,5 cm de diámetro con coloración violácea. La paciente presenta adecuado desarrollo psicomotor y crecimiento del perímetro craneal. Dada la localización se solicita radiografía craneal y ecografía transfontanelar y de partes blandas. En la radiografía no se visualizan lesiones a nivel óseo y la ecografía transfontanelar no muestra alteraciones. La ecografía de la lesión muestra una imagen nodular, bien delimitada, ovoidea de 6,9 × 3 mm, con hiperseñal Doppler color y ubicada a nivel subcutáneo (Fig. 1), compatible con hemangioma infantil. Se acuerda con los padres actitud expectante y seguimiento periódico en consulta.
| Figura 1. A la izquierda se visualiza imagen nodular, bien delimitada de morfología ovoidea. A la derecha se detecta la hiperseñal Doppler de la lesión |
|---|
![]() |

El hemangioma infantil es una patología frecuente en las consultas de Atención Primaria de Pediatría. Su diagnóstico y seguimiento en muchos de los casos podrá realizarse desde la consulta, sin necesidad de pruebas complementarias, ni derivación a Dermatología. En ocasiones, el diagnóstico puede plantearnos dudas y serán de utilidad las pruebas complementarias, especialmente la ecografía, como ocurre en nuestro caso.
Los autores declaran no presentar conflictos de intereses en relación con la preparación y publicación de este artículo.