Vol. 24 - Num. 31
Casos clínicos. Ortopedia y Traumatología
Amelia Moreno Sáncheza, David Molina Herranza, Inés Romagosa Sánchez-Mongea, Belén Salinas Salvadora, Gema Carmen Marcéna, Cristina Bardella Gilb
aMIR-Pediatría. Hospital Universitario Miguel Servet. Zaragoza. España.
bPediatra. CS Fuentes de Ebro. Zaragoza. España.
Cómo citar este artículo: Moreno Sánchez A, Molina Herranz D, Romagosa Sánchez-Monge I, Salinas Salvador B, Carmen Marcén G, Bardella Gil C. Hallazgo casual ante dismetría en paciente de 8 años. Rev Pediatr Aten Primaria. Supl. 2022;(31): [en prensa].
Publicado en Internet: 30-11--0001 - Número de visitas: 6538
El término disrafismo espinal comprende un grupo heterogéneo de malformaciones congénitas de la médula espinal que se caracteriza por la fusión imperfecta de las estructuras neurales, óseas y mesenquimatosas de la línea media. La malformación más sutil, limitada al defecto vertebral, se denomina espina bífida oculta. Cuando a esta anomalía se asocian malformaciones subyacentes de la médula espinal sin discontinuidad de la piel, el complejo malformativo se designa como disrafismo espinal oculto.
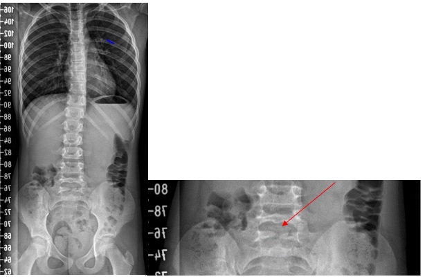
Paciente mujer de 8 años sin antecedentes personales ni familiares de interés. En exploración se detecta dismetría de extremidades inferiores, no visualizada en revisiones previas. Presenta cresta ilíaca y escápula izquierdas más elevadas que el lado contralateral. Se realiza test Adams negativo. Se solicita telemetría mediante radiografía (Fig. 1), en la cual se evidencia leve desviación escoliótica dorsolumbar y raquisquisis de S1. La paciente se encuentra asintomática a nivel neurológico y no presenta alteraciones en la exploración física, habiendo presentado hasta el momento actual adecuado desarrollo psicomotor. Ante el hallazgo casual, se deriva a la paciente a consulta de Neurocirugía y actualmente se encuentra pendiente de valoración.
| Figura 1. A la izquierda, radiografía de columna completa. A la derecha, imagen ampliada donde se visualiza raquisquisis a nivel de S1 |
|---|
![]() |

La solicitud de pruebas complementarias conlleva en ocasiones la detección de hallazgos casuales e inesperados que requieren la revisión de patologías poco frecuentes en la consulta de Atención Primaria. En nuestro caso, ante los hallazgos de raquisquisis, tras la revisión de la bibliografía y ante paciente asintomática, se decidió derivar a la paciente a la consulta de Neurocirugía.
Los autores declaran no presentar conflictos de intereses en relación con la preparación y publicación de este artículo.