Vol. 24 - Num. 31

Casos clínicos. Gastroenterología, nutrición y obesidad

Estreñimiento y retención aguda de orina en una niña de 12 años: a propósito de un caso

Rocío Castillo Miguela, Beatriz Huertes Díazb, Luis Grande Herrerob, Carlos Caballero Guiua, Patricia Blanco Ongila, Andrés Romero Alcarazb

aMIR-Pediatría. Hospital Universitario de Getafe. Getafe. Madrid. España.
bServicio de Pediatría. Hospital Universitario de Getafe. Getafe. Madrid. España.

Cómo citar este artículo: Castillo Miguel R, Huertes Díaz B, Grande Herrero L, Caballero Guiu C, Blanco Ongil P, Romero Alcaraz A. Estreñimiento y retención aguda de orina en una niña de 12 años: a propósito de un caso. Rev Pediatr Aten Primaria. Supl. 2022;(31): [en prensa].

Publicado en Internet: 30-11--0001 - Número de visitas: 6507

INTRODUCCIÓN

El estreñimiento es un problema frecuente en la edad pediátrica, con un origen funcional en la mayoría de los casos. Aunque las causas orgánicas son raras, debemos estar alerta a síntomas o signos que nos puedan hacer sospecharlas, con el fin de llegar a un diagnóstico precoz para evitar complicaciones.

CASO CLÍNICO

Adolescente mujer de 12 años sin antecedentes personales de interés que acude a urgencias por dolor abdominal generalizado, más marcado en hipogastrio, de una semana de evolución, asociado a deposiciones de consistencia dura (Bristol 2-3), y ausencia de diuresis en últimas 12 horas, con importante deseo miccional. No clínica miccional previamente, ni otra sintomatología asociada.

Había sido valorada al inicio en otro centro donde se realizó radiografía de abdomen visualizando gases y abundantes restos fecales. Se pautó polietilenglicol, con mejoría parcial de las deposiciones, pero con persistencia de dolor en hipogastrio. En los últimos dos meses había presentado dos episodios similares, que mejoraron con polietilenglicol. Asintomática entre los episodios. Previamente hábito intestinal normal. Menarquia pendiente.

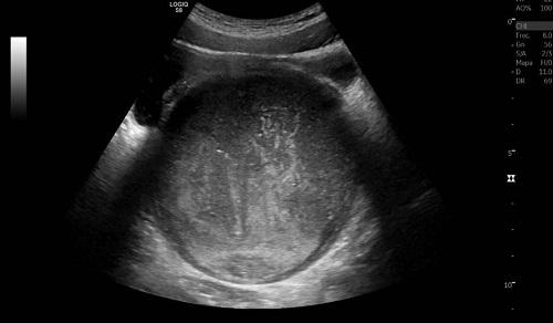
A la exploración presenta dolor abdominal con palpación de masa abdominal en región hipogástrica. Tacto rectal con dedil de guante limpio, sin palpación de fecaloma, con abombamiento de la pared anterior. Ante el fracaso del tratamiento oral y la retención de orina se administra enema rectal, que resulta inicialmente efectivo, realizando deposición y micción abundante. Presenta mejoría inicial, pero sin resolución del completa, por lo que se solicita ecografía abdominal, observándose masa de contenido hemático de 14 cm retrovesical, compatible con hematocolpos (Figura 1). Valorada por Ginecología, realizan himenectomía por himen imperforado, extrayéndose 900 ml de contenido hemático, con resolución completa del cuadro de dolor abdominal.

Figura 1. Imagen ecográfica de la masa compatible con hematocolpos
Figura 1. Imagen ecográfica de la masa compatible con hematocolpos

CONCLUSIONES

El himen imperforado es una malformación asintomática hasta el inicio de la menarquia. Esto hace que en muchas ocasiones pase desapercibido durante la infancia e incluso al inicio de la menarquia si no se exploran correctamente los genitales. Su retraso diagnóstico conduce a la acumulación de sangre y puede provocar hematocolpos que a su vez provoquen estreñimiento por la compresión de la pared del recto. Aunque el cuadro clínico es variable e inespecífico, el dolor abdominal cíclico junto con la presencia de una masa abdominal en hipogastrio, o el abombamiento de la pared anterior del recto en el periodo puberal, son síntomas muy sugestivos. Este caso clínico pretende destacar la importancia de la correcta exploración de genitales externos en revisiones de salud, fundamental para realizar un diagnóstico precoz de esta patología.

CONFLICTO DE INTERESES

Los autores declaran no presentar conflictos de intereses en relación con la preparación y publicación de este artículo.