Melody Sánchez Tierrasecaa, Francisco José Martín Somozab
aServicio de Pediatría. Hospital General de Almansa. Almansa. Albacete. España.
bServicio de Cirugía Ortopédica y Traumatología. Hospital General de Almansa. Almansa. Albacete. España.
Correspondencia: M Sánchez. Correo electrónico: melody_373@hotmail.com
Cómo citar este artículo: Sánchez Tierraseca M, Martín Somoza FJ. Quiste óseo aneurismático de localización vertebral. Rev Pediatr Aten Primaria. 2022;24:e157-e161.
Publicado en Internet: 28-03-2022 - Número de visitas: 13969
Resumen
El quiste óseo aneurismático (QOA) representa el 9% de los tumores óseos benignos. Es una lesión ósea pseudotumoral, formada por pequeños canales llenos de sangre separados por tabiques de tejido conectivo. Tiene su mayor prevalencia en adolescentes, con un ligero predominio femenino. La localización más frecuente es la metáfisis de los huesos largos (50% de los casos) seguida de la columna vertebral. La presentación clínica es variable y a veces puede ser inespecífica, pero en casos de dolor y tumefacción ósea en adolescentes debemos sospechar esta patología. Es por ello por lo que debemos estar atentos a los signos de alarma del dolor de espalda. El diagnóstico se realizará inicialmente mediante pruebas de imagen como la radiografía ósea y la resonancia magnética, en las que se observa una lesión quística expansiva y osteolítica pero circunscrita siendo característico que conserve la cortical, así como la presentación de una lesión multilobulada o en «pompas de jabón» con niveles líquidos. El diagnóstico definitivo se realiza por estudio histológico. Existen distintos abordajes terapéuticos, dependiendo de la lesión. A pesar de no ser maligno, se caracteriza por ser agresivo, por lo que su sospecha en el paciente pediátrico es relevante para un tratamiento precoz y evitar secuelas, que, en ocasiones, como cuando la localización es vertebral, pueden ser irreversibles. Para ilustrar esta patología, presentamos dos casos de localización vertebral en adolescentes.
Palabras clave
● Dolor de espalda ● Neoplasias de la columna vertebral ● Quiste óseo aneurismáticoEl quiste óseo aneurismático (QOA) representa el 9% de los tumores óseos benignos1. Se produce con más frecuencia en mujeres adolescentes2. La localización característica es la metáfisis de huesos largos (50% de los casos) y, en segundo lugar, los elementos vertebrales posteriores (2-30%)3, por lo que debe ser uno de los diagnósticos diferenciales dentro de las causas orgánicas de dolor de espalda en Pediatría. A pesar de no tender a la malignidad, se caracteriza por su agresividad local y tendencia a recidivar, por lo que su sospecha en el paciente pediátrico es importante de cara al diagnóstico y tratamiento precoces para poder evitar secuelas, que en caso de estar situado en los elementos vertebrales pueden ser irreversibles. Presentamos dos casos de localización vertebral en adolescentes.
Paciente mujer de 12 años con dorsalgia, alteración de la marcha y parestesias en miembros inferiores de 3 semanas de evolución. Sufrió una caída desde su propia altura 3 meses antes con traumatismo en región dorsal. A la exploración destaca dolor a la palpación de apófisis espinosas dorsales y musculatura paravertebral dorsal derecha; disestesias en miembro inferior derecho (MID); fuerza 3/5 a nivel de MID con flexión dorsal y plantar de pie derecho 2/5 y extensor del hallux no funcionante; reflejos osteotendinosos ipsilaterales disminuidos y marcha en trendelenburg; resto normal.
Ante una dorsalgia con datos de alarma (afectación neurológica) se realiza radiografía de columna vertebral (Fig. 1) que muestra una lesión lítica, expansiva, en pedículo derecho a nivel T10 y resonancia magnética (RM) de columna vertebral donde se aprecia una masa lobulada insuflante con cortical conservada pero adelgazada y nivel líquido en su interior en elementos posteriores de T10 que se introduce hacia el cuerpo vertebral, con componente epidural derecho que ocupa el 50-75% del canal medular y compresión medular con alteración de señal por mielopatía (desde nivel T8-T9 hasta cono medular), planteando el diagnóstico diferencial con lesiones tumorales de localización vertebral posterior, como son el osteoblastoma y el quiste óseo aneurismático (Fig. 2).
| Figura 1. Radiografía anteroposterior de columna vertebral: lesión lítica en pedículo derecho de T10 (flecha) |
|---|
![]() |

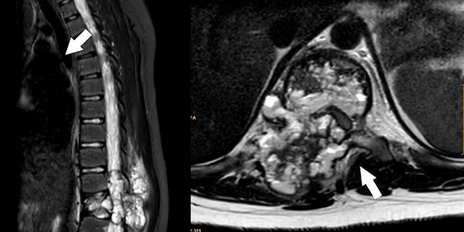
| Figura 2. RM de columna vertebral: masa lobulada insuflante en elementos posteriores de T10 que se introduce anteriormente hacia el cuerpo vertebral, rodeada de cortical ósea marcadamente adelgazada con múltiples niveles líquido-líquido junto con alteración de la señal de la musculatura paravertebral derecha por edema asociado (flechas). Asocia componente epidural en canal medular con compresión medular, ocupando el 50-75% de su totalidad |
|---|
![]() |

Ante la compresión medular se inicia metilprednisolona intravenosa y se decide tratamiento quirúrgico mediante embolización arterial selectiva preoperatoria seguida de legrado quirúrgico completo de la lesión y del cuerpo vertebral afecto que se sustituye por malla de titanio con hueso autólogo, bajo monitorización neurofisiológica. Se confirma diagnóstico de QOA mediante anatomía patológica.
Actualmente, presenta dolor neuropático secundario bien controlado con fármacos y continúa rehabilitación con recuperación progresiva, aunque parcial, de la función motora.
El segundo caso es una mujer de 10 años que consulta por dolor lumbar de predominio nocturno de 4 meses de evolución. No impotencia funcional para la deambulación ni otra sintomatología. A la exploración física, actitud escoliótica por dolor lumbar con leve edema a nivel de L2-L3, resto normal. Ante lumbalgia con datos de alarma (dolor nocturno), se realizan radiografía ósea (Fig. 3) y RM (Figs. 4 y 5) donde se aprecia lesión osteolítica expansiva con nivel líquido en su interior en arco posterior izquierdo de L3, así como edema de médula ósea y partes blandas y tomografía computarizada (TC; Fig. 6) donde se describe lesión lobulada y con margen esclerótico, planteando el mismo diagnóstico diferencial que en el caso anterior. Se realiza resección en bloque de la lesión y se confirma histológicamente el diagnóstico de QOA. Actualmente se encuentra sin clínica y recuperada.
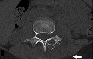
| Figura 6. TC de columna vertebral: lesión osteolítica expansiva y multilobulada en lámina y pedículo vertebrales izquierdos de L3 (flecha) |
|---|
![]() |

El QOA representa el 1% de los tumores óseos primarios y el 9% de los benignos1. Se define como una lesión ósea formada por pequeños canales que contienen células sanguíneas separados por tabiques de tejido conectivo. Aparece sobre todo en adolescentes, con un ligero predominio femenino2. La localización más frecuente es la metáfisis de los huesos largos (50%), seguida de los elementos vertebrales posteriores (12-30%)3.
La clínica es variable, por lo que es importante la sospecha diagnóstica: asintomático, dolor y tumefacción localizados, fractura patológica o síntomas neurológicos (localización vertebral). Es por ello por lo que debemos entender el dolor de espalda en Pediatría como un síntoma guía y no como un diagnóstico y prestar atención a los signos de alarma asociados como son: dolor nocturno, traumatismo grave, fiebre, clínica neurológica asociada o duración mayor de 6 semanas tras tratamiento conservador, situaciones en las que será necesario la realización de pruebas complementarias para descartar una causa orgánica, dentro de los cuales se encuentran los tumores vertebrales.
En las pruebas de imagen observamos una lesión quística expansiva y osteolítica pero circunscrita, siendo característica la conservación de la cortical, aunque a veces adelgazada y con reacción perióstica, así como una lesión multilobulada o en «pompas de jabón» con niveles líquidos.
Debemos realizar diagnóstico diferencial, entre otros, con el quiste óseo unicameral, el tumor de células gigantes, el osteosarcoma telangectáctico, el condroblastoma y, sobre todo, en la región vertebral posterior con el osteoblastoma. Aunque el diagnóstico definitivo se realiza mediante estudio histológico, es esencial la sospecha radiológica de cara a la actitud inicial para seguir.
Existen distintos abordajes terapéuticos, dependiendo de la localización y agresividad de la lesión: curetaje e injerto óseo, resección simple o en bloque con reconstrucción y en regiones de difícil acceso se puede iniciar tratamiento con denosumab para disminuir la reabsorción ósea4. En algunos casos, es útil la embolización arterial selectiva prequirúrgica para reducir el tamaño y sangrado operatorio. La radioterapia no está indicada por el riesgo de segundos tumores3.
A pesar de no ser maligno, es un tumor agresivo y con tendencia a la recidiva (10-50%)5, por lo que la mayoría de los casos precisarán un tratamiento activo y seguimiento posterior.
Los casos descritos son un ejemplo de cómo una patología benigna puede producir secuelas neurológicas importantes como la afectación de la marcha o de la movilidad, en ocasiones, irreversible.
Los autores declaran no tener ningún conflicto de intereses en relación con la preparación y publicación de este artículo.
MID: miembro inferior derecho · QOA: quiste óseo aneurismático · RM: resonancia magnética · TC: tomografía computarizada.