Myriam López Rojoa, Irene Gil Hernándezb, Juan Pablo García Íñiguezb, Matilde Bustillo Alonsoa, Carmelo Guerrero Laleonaa, Javier Orduna Martínezc
aUnidad de Enfermedades Infecciosas. Servicio de Pediatría. Hospital Universitario Miguel Servet. Zaragoza. España.
bUnidad de Cuidados Intensivos Pediátricos. Servicio de Pediatría. Hospital Universitario Miguel Servet. Zaragoza. España.
cSección de Neurocirugía Infantil. Hospital Universitario Miguel Servet. Zaragoza. España.
Correspondencia: M López . Correo electrónico: myriam.lopezrojo@gmail.com
Cómo citar este artículo: López Rojo M, Gil Hernández I, García Íñiguez JP, Bustillo Alonso M, Guerrero Laleona C, Orduna Martínez J. Complicaciones intracraneales graves secundarias a infecciones por Streptococcus intermedius. Rev Pediatr Aten Primaria. 2022;24:e107-e110.
Publicado en Internet: 12-04-2022 - Número de visitas: 15282
Resumen
Streptococcus intermedius es un microorganismo anaerobio, perteneciente al grupo de Streptococcus anginosus. Es una bacteria comensal habitual de la cavidad oral y nasofaringe, conocida por su potencial capacidad de formar abscesos cerebrales por contigüidad o por vía hematógena a partir de infecciones de la esfera otorrinolaringológica. Las infecciones del sistema nervioso central debidas a miembros de este grupo son potencialmente mortales y requieren de un manejo multidisciplinar. La obtención de imágenes mediante tomografía computarizada o resonancia magnética debe realizarse de forma precoz para evaluar las colecciones que requieren drenaje. La intervención quirúrgica y el inicio de terapia antibiótica empírica a tiempo son imprescindibles para asegurar una correcta evolución.
Palabras clave
● Absceso cerebral ● Empiema subdural ● Streptococcus intermediusEl tratamiento adecuado de la sinusitis, la otitis media aguda o la mastoiditis mediante fármacos antibacterianos ha disminuido notablemente la frecuencia de complicaciones. Sin embargo, existen una serie de factores que favorecen que dichas infecciones evolucionen negativamente a cuadros clínicos de mal pronóstico, como la edad menor de 2 años, la inmunodepresión o infecciones por determinados agentes, como Streptococcus intermedius, en pacientes previamente sanos. El Streptococcus intermedius es miembro del grupo Streptococcus anginosus, también denominado grupo Streptococcus milleri1. Se trata de un microorganismo anaerobio, comensal habitual de la cavidad oral y nasofaringe, que presenta tendencia a formar abscesos cerebrales por contigüidad o vía hematógena a partir de infecciones de la esfera otorrinolaringológica2.
Presentamos los casos de tres pacientes que en el periodo de cinco meses ingresan por presentar complicaciones intracraneales graves secundarias a infecciones otorrinolaringológicas, todas ellas causadas por Streptococcus intermedius que precisaron antibioterapia intravenosa de amplio espectro ante la sospecha de infección polimicrobiana, así como intervención quirúrgica por mala respuesta y refractariedad al tratamiento antibiótico inicial.
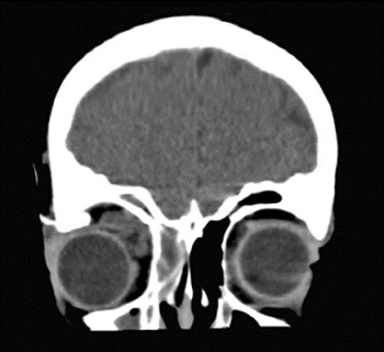
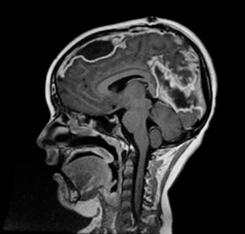
Caso 1. Niño de 8 años que ingresa por cuadro de sinusitis que no mejora a pesar de recibir antibioterapia por vía oral. Al cuarto día de tratamiento antibiótico intravenoso con amoxicilina-clavulánico, presenta crisis convulsivas generalizadas de breve duración. Se realiza una prueba de imagen que evidencia la presencia de empiema subdural y pansinusitis (Fig. 1). A la exploración, presenta Glasgow 15, leve hemiparesia izquierda y sensación de hiperestesia en la pierna del mismo lado. Se inicia tratamiento con cefotaxima, vancomicina y metronidazol y se realiza drenaje del empiema frontal mediante craneotomía, sin incidencias postoperatorias. Recibe tratamiento con gabapentina y levetiracetam, con el que mejora su dolor neuropático y se resuelven las crisis convulsivas. A los 10 días de la primera intervención, comienza con fiebre y disminución del nivel de conciencia, por lo que, ante el evidente empeoramiento clínico y radiológico (Fig. 2), se realiza segunda intervención quirúrgica con ampliación de la craneotomía inicial y drenaje interhemisférico del empiema y se sustituye el tratamiento con cefotaxima por meropenem en perfusión extendida. Se cultiva el material purulento drenado y se aísla Streptococcus intermedius. Tras cumplimentar seis semanas de tratamiento antibiótico intravenoso y tras objetivar mejoría de la imagen radiológica, el paciente es dado de alta sin secuelas, a excepción de una ligera paresia de la extremidad inferior izquierda evidenciada con la marcha autónoma.
Caso 2. Niña de 10 años que ingresa por un cuadro de celulitis orbitaria acompañada de cefalea y vómitos. Se realiza una prueba de imagen que objetiva una colección intraorbitaria derecha y pansinusitis (Fig. 3). Se realiza drenaje del absceso orbitario e ingresa con tratamiento intravenoso con amoxicilina-clavulánico y ciprofloxacino ante el aislamiento en el exudado del absceso ocular de Streptococcus intermedius y en hemocultivo, de Moraxella osloensis. Ante la ausencia de mejoría clínica al cuarto día posquirúrgico, se decide realizar nueva imagen radiológica, que muestra la aparición de un empiema subdural frontal derecho (Fig. 4). Se sustituye amoxicilina-clavulánico por cefotaxima y se añade dexametasona al tratamiento. Se realiza craneotomía frontal derecha para drenar el empiema. En las muestras recogidas se aísla Streptococcus intermedius y Parvimonas micra, motivo por el que se asocia al tratamiento metronidazol intravenoso. La evolución, clínica y radiológica, es favorable tras seis semanas de tratamiento antibiótico intravenoso, y permanece asintomática al alta.
| Figura 3. Colección intraorbitaria derecha. TC de órbita: colección de 2 cm de diámetro, intraorbitaria extraconal superolateral derecha, junto a glándula lagrimal; ocupación mucosa de seno frontal, maxilar y de celdillas etmoidales derechas |
|---|
![]() |

| Figura 4. Absceso en región superomedial de la órbita derecha y empiema subdural derecho. TC de cráneo: empiema subdural frontal-parietal-temporal derecho con grosor máximo de 9 mm, que produce discreto efecto masa sin desplazamiento de la línea media; colección abscesificada en región superomedial de la órbita derecha, que ha aumentado de tamaño respecto a estudio previo; sinusitis derecha aguda |
|---|
![]() |

Caso 3. Niño de 10 años que ingresa por cefalea y parálisis facial periférica izquierda. A la exploración, el paciente presenta leve limitación a la abducción del ojo izquierdo y debilidad para movilizar musculatura de la hemicara del mismo lado. No se evidencia clara hiperestesia de zona de primera rama del trigémino. Se realiza prueba de imagen en la que se objetiva otomastoiditis izquierda con petrositis apical homolateral. Ingresa con tratamiento con cefotaxima, vancomicina y metronidazol, así como tratamiento con dexametasona por parálisis facial periférica y levetiracetam como profilaxis anticomicial. Ante cuadro compatible con síndrome de Gradenigo (tríada de síntomas consistente en dolor periorbitario unilateral debido a la afectación del nervio trigémino ipsilateral, diplopía por afectación del sexto par craneal y otorrea persistente, asociada a otitis media de etiología bacteriana con afectación del ápex de la pars petrosa del hueso temporal), es intervenido quirúrgicamente, realizándose una timpanoplastia retroauricular cerrada, limpieza del material purulento y colocación de drenaje transtimpánico. Se realiza, además, craneotomía exploradora que evidencia reacción inflamatoria en el lóbulo temporal. Previamente a la intervención quirúrgica, se había objetivado el crecimiento de Streptococcus intermedius en una muestra de exudado ótico, pero las muestras recogidas intraoperatoriamente fueron estériles. Durante su ingreso, se observa mejoría progresiva de la parálisis facial periférica izquierda, así como disminución de la otorrea del oído homolateral, que permite el cierre de la perforación timpánica. Se realizan controles analíticos y radiológicos que evidencian la resolución progresiva tras seis semanas de tratamiento antibiótico intravenoso.
En aquellas infecciones del área otorrinolaringológica que presenten mala evolución, se debe sospechar la existencia de una complicación intracraneal y de una infección por Streptococcus intermedius como agente causal, por su propensión a formar abscesos metastáticos parenquimatosos, por lo que se debe realizar una prueba de imagen cerebral urgente. Aunque característicamente es sensible a penicilina y cefalosporinas, en las infecciones meningoencefálicas que desencadena se debe plantear cobertura antibiótica de amplio espectro, ante la posibilidad de infección polimicrobiana2, y drenaje quirúrgico precoz del empiema, siendo importante la recogida intraoperatoria de muestras para posterior cultivo3.
Los autores declaran no presentar conflictos de intereses en relación con la preparación y publicación de este artículo y que no ha recibido financiación.
RM: resonancia magnética · TC: tomografía computarizada.