Vol. 25 - Num. 97
Notas clínicas
Daniel Martín Fernández Mayoralasa, Manuel Recio Rodríguezb, Ana Laura Fernández Perronec, Mar Jiménez de la Peñab, Ana Jiménez de Domingoc, Lucía de Llano Varelad, Alberto Fernández Jaénc
aDepartamento de Neuropediatría. Hospital Universitario Quirónsalud. . Madrid. España.
bDepartamento de Neuroimagen. Hospital Universitario Quirónsalud. Madrid. España.
cDepartamento de Neuropediatría. Hospital Universitario Quirónsalud. Madrid. España.
dEstudiante de Medicina. Universidad Complutense de Madrid. Madrid. España.
Correspondencia: D Martín . Correo electrónico: dmfmayor@yahoo.es
Cómo citar este artículo: Martín Fernández Mayoralas D, Recio Rodríguez M, Fernández Perrone AL, Jiménez de la Peña M, Jiménez de Domingo A, de Llano Varela L, et al. Síndrome cerebeloso cognitivo afectivo tras cerebelitis aguda . Rev Pediatr Aten Primaria. 2023;25:49-52.
Publicado en Internet: 17-01-2023 - Número de visitas: 16506
Resumen
En el síndrome cerebeloso, cuya causa principal es la cerebelitis aguda, destacan principalmente las alteraciones motoras, si bien no son las únicas consecuencias de esta patología. Los pacientes que se presentan a continuación manifiestan, además de los signos motores, alteraciones cognitivo-afectivas, como déficit de atención, cambios de personalidad, etc. Esto se denomina síndrome cerebeloso cognitivo afectivo, cuyo diagnóstico es poco habitual a pesar de ser una complicación común. Estos casos llaman a reflexionar sobre la importancia de diagnosticar dicho síndrome para poder administrar un tratamiento adecuado y así mejorar la calidad de vida de los pacientes que lo padezcan.
Palabras clave
● Ataxia ● Cerebelitis aguda ● Infancia ● Síndrome cerebeloso ● Síndrome cognitivo afectivoExiste un patrón de anomalías denominado síndrome cerebeloso cognitivo afectivo (SCCA)1, que incluye deficiencias de las funciones ejecutivas (planificación, fluidez verbal, memoria de trabajo, déficit de atención, etc.), disfunción visoespacial, cambios de personalidad con embotamiento del afecto, desinhibición o comportamiento inapropiado y dificultades del habla1-3. El vermis está consistentemente involucrado en los cuadros afectivos pronunciados1. Es importante conocer que la baja velocidad de procesamiento, clínica y neuropsicológica, es prácticamente constante1,4,5.
Se describen dos casos de cerebelitis aguda (CA) de gravedad dispar, a los que sigue un SCCA, destacando la importancia del seguimiento y análisis del neurodesarrollo desde Atención Primaria en todos los niños tras una CA, así como de realizar un tratamiento adecuado si así lo requiere.
Paciente varón sin antecedentes personales ni familiares de interés. Con 14 años sufre un cuadro de CA, objetivable en las secuencias de resonancia magnética cerebral (RM), presentando atrofia crónica cerebelosa durante el seguimiento (Figs. 1 y 2). Poco después del debut, comienza con síntomas de inatención y disfunción ejecutiva, fluencia verbal lenta, dificultades visoespaciales, velocidad de procesamiento baja, mala regulación emocional y del comportamiento, cambios de humor, ansiedad obsesiva y pasividad. Los hallazgos cognitivos serán confirmados posteriormente en las pruebas neuropsicológicas. Con 21 años es diagnosticado de depresión mayor. La exploración muestra un paciente melancólico, con disminución del impulso vital, apatía, abulia y anhedonia. Refiere sentimientos de desesperanza y minusvalía. Presenta síndrome cerebeloso de predominio izquierdo (ataxia, dismetría, temblor postural, hipotonía y disdiadococinesia), que permite una marcha y manipulación funcionales; además de discurso bradilálico con aumento de latencia en las respuestas y baja velocidad de procesamiento. Realiza tratamiento psicológico y farmacológico con clonazepán, desvenlafaxina y olanzapina. Malos resultados con metilfenidato. El tratamiento añadido con lisdexanfetamina a 50 mg parece mejorar los síntomas de inatención y el paciente se siente más activo y con mayor fluidez para realizar las tareas.
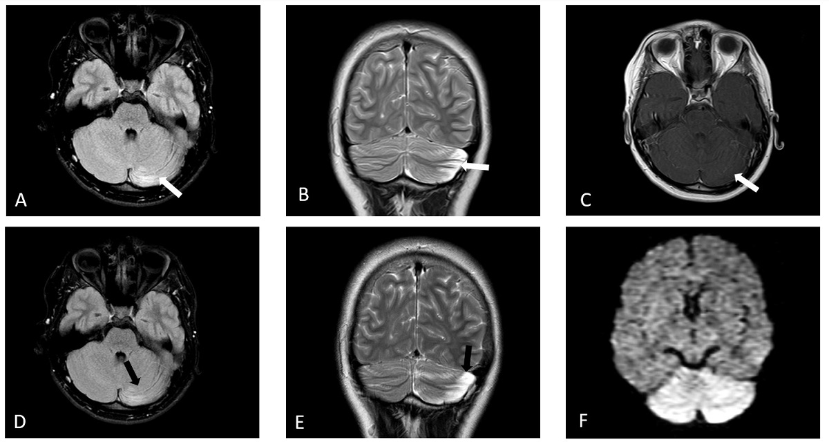
| Figura 1. Cerebelitis aguda. Evolución de la afectación cerebelosa en el caso 1. (A) Axial FLAIR. (B) Coronal FSE T2. (C) Axial eco de gradiente T1 con contraste. Afectación difusa de folias cerebelosa y sustancia blanca en hemisferio cerebeloso izquierdo con hiperseñal en secuencia FLAIR y T2 y leve realce de las folias cerebelosas tras contraste que alcanza el vermis y presenta efecto de masa sobre el IV ventrículo (flechas blancas). Control a los 10 días. (D) Axial FLAIR. (E) Coronal FSE T2. (F) Axial eco de gradiente T1 con contraste. Marcada disminución de la afectación de hemisferio cerebeloso izquierdo que no presenta efecto de masa sobre el IV ventrículo ni realza tras contraste (flechas negras). |
|---|
![]() |

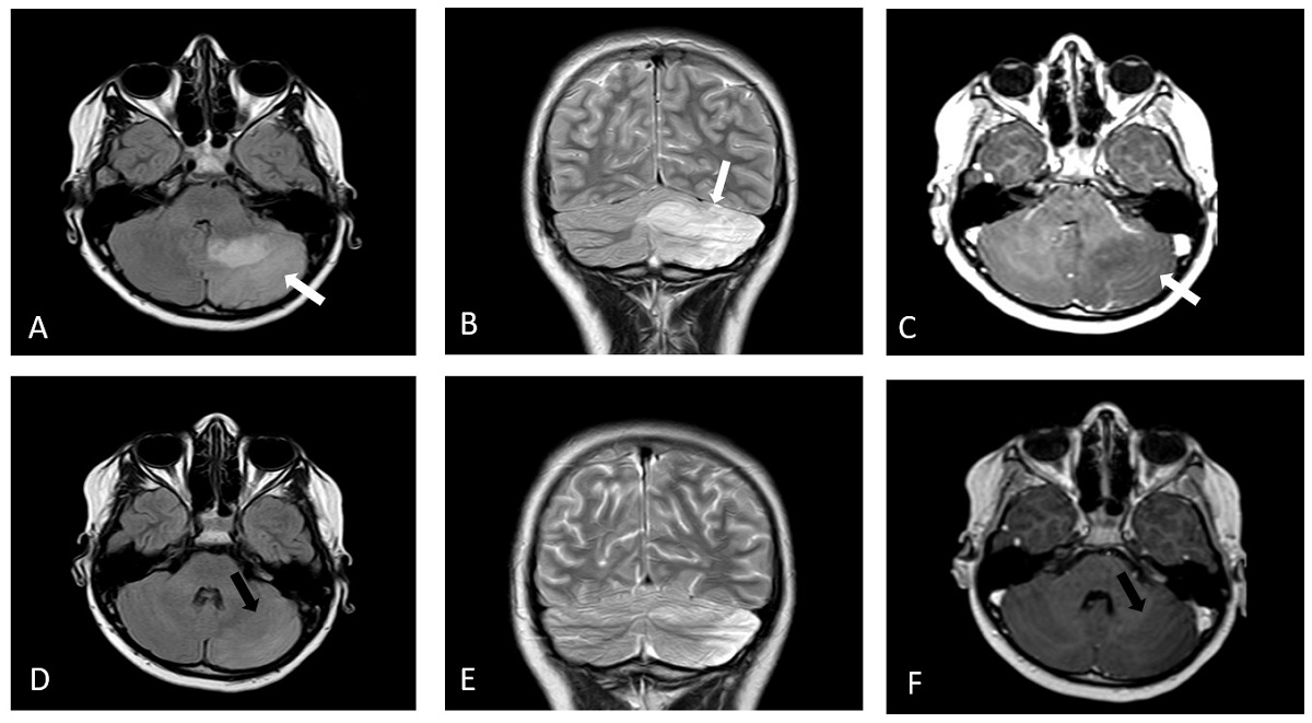
| Figura 2. Cerebelitis aguda. Evolución de la afectación cerebelosa en el caso 1. Control a los 8 meses: (A) Axial FLAIR. (B) Coronal FSE T2. (C) Axial eco de gradiente T1 con contraste. Secuela de cerebelitis con encefalomacia de hemisferio cerebeloso izquierdo que presenta ampliación del espacio subaracnoideo y gliosis sin realce tras contraste (flechas blancas). Control a los 4 años. (D) Axial FLAIR. (E) Coronal FSE T2. Leve aumento de la encefalomalacia de hemisferio cerebeloso izquierdo con gliosis y mayor ampliación del espacio subaracnoideo (flechas negras). Caso 2: (F). Difusión. RM difusión, proyección axial. Hiperintensidad difusa del cerebelo sólo en la fase aguda de la cerebelitis. |
|---|
![]() |

Varón de 6 años, sin antecedentes personales ni familiares de interés. 15 días tras una varicela, ingresó por fiebre, rigidez cervical y disartria. La exploración neurológica mostraba un síndrome cerebeloso con ataxia marcada. La RM mostró una difusión anormal (Fig. 2F) con secuencias T1, T2 y FLAIR sin hallazgos. El enfermo mejoró rápidamente y la RM era normal al mes del alta y en controles posteriores en todas las secuencias. A pesar de una buena recuperación del habla, aparecen síntomas de inatención e impulsividad, así como un comportamiento disruptivo ante tareas propias de su edad. Los padres le observan 'abatido', 'cansado' y “sin iniciativa para socializarse”. Con 7 años la evaluación neuropsicológica demuestra afectación atencional severa, velocidad de procesamiento lenta, dificultades visoperceptivas y baja fluencia verbal. El tratamiento con metilfenidato empeora los comportamientos disruptivos. Tras dos meses de fluoxetina es posible incorporar de nuevo metilfenidato, pero aún, de forma menos acusada, persiste irritabilidad. El tratamiento con lisdexanfetamina de 30 mg mejora la conducta y permite realizar las tareas con mayor rapidez, por lo que se mantiene con el mismo hasta ahora. Un año después se retira fluoxetina sin problemas.
La ataxia cerebelosa aguda (ACA) es la causa más común de ataxia aguda en la infancia y la adolescencia2,3. Suele ir precedida de una infección viral, siendo la más común la varicela2. Los síntomas motores cerebelosos, incluyendo ataxia (marcha, postura y tronco), dismetría, temblor, disdiadococinesia, hipotonía, entre otros, están bien documentados en la ACA2,3. El diagnóstico de esta es clínico y la presencia de alteraciones en la RM no es necesaria para realizarlo. La mayoría de los autores denominan CA a aquellos casos que cursan con alteraciones en la RM3,6. Su uso creciente en niños con ataxia aguda evidencia que hay un “continuo” en las reacciones parainfecciosas del cerebelo7, desde la forma más benigna, la ataxia cerebelosa aguda posinfecciosa (ACAP), hasta la CA, cuya forma más grave de inflamación cerebelosa puede cursar con hidrocefalia y herniación amigdalar8.
El SCCA fue descrito por primera vez por Schmahmann y Sherman en 19981. A pesar de su descripción clara1 y su confirmación como entidad a través de un reciente metaanálisis en adultos9, su descripción es rara en la literatura pediátrica en la ACAP2,3 y excepcional en la CA6. Por lo tanto, desde una perspectiva clínica, parece una complicación claramente infradiagnosticada3 y quizás poco conocida por el pediatra de Atención Primaria, que muy probablemente deberá seguir algunos casos, dada la elevada prevalencia de la ataxia cerebelosa aguda2. Tras una ACAP o una CA, el SCCA puede ser más incapacitante que los signos motores cerebelosos (caso 1); y, con frecuencia, la afectación cognitivo-afectiva puede persistir aun cuando los signos motores han desaparecido (caso 2)2,3.
El interés de los casos radica en:
Los autores declaran no presentar conflictos de intereses en relación con la preparación y publicación de este artículo.
Contribución de los autores: preparación del manuscrito (DM), supervisión y adaptación (LDL), preparación de imágenes (MR, MJ), evolutivo (ALF), liderazgo del proyecto (AF).
ACA: ataxia cerebelosa aguda · ACAP: ataxia cerebelosa aguda posinfecciosa · CA: cerebelitis aguda · RM: resonancia magnética · SCCA: síndrome cerebeloso cognitivo afectivo.