Vol. 25 - Num. 32

Casos clínicos. Miscelánea

Utilidad de la ecografía para el diagnóstico diferencial de adenopatías en Atención Primaria: a propósito de tres casos

Elena Oyaga de Frutosa, Susana Viver Gómezb, Adelaida Fernández Rincónb, Maite Bayón Cabanesa, Blanca Cano Sánchez de Temblequea

aMIR-Pediatría. Hospital Universitario de Móstoles. Madrid. España.
bPediatra. CS Dr. Luengo Rodríguez. Móstoles. Madrid. España.

Cómo citar este artículo: Oyaga de Frutos E, Viver Gómez S, Fernández Rincón A, Bayón Cabanes M, Cano Sánchez de Tembleque B. Utilidad de la ecografía para el diagnóstico diferencial de adenopatías en Atención Primaria: a propósito de tres casos . Rev Pediatr Aten Primaria. 2023;(32):e165-e166.

Publicado en Internet: 31-03-2023 - Número de visitas: 15478

INTRODUCCIÓN

La ecografía clínica es una herramienta diagnóstica que posibilita ampliar el estudio de patología frecuente, como son las adenopatías, permitiendo discernir según las características ecográficas su manejo hospitalario o domiciliario. Las principales características ecográficas de una adenopatía benigna o reactiva serían la forma ovalada, hipoecoica, bien delimitada y con un hilio central con vascularización.

CASOS CLÍNICOS

Caso 1

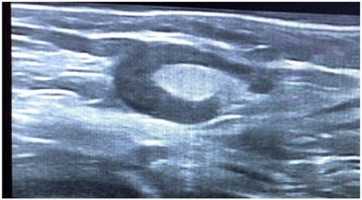
Niño de 7 años que tras vacunación de SARS-CoV-2 presenta bultoma axilar derecho generando asimetría a nivel pectoral. Asintomático. En la exploración física: adenopatía de consistencia elástica, móvil y dolorosa a la palpación. Se realiza ecografía objetivando una adenopatía hipoecoica, ovalada de 15 mm de diámetro anteroposterior, bordes hiperecogénicos bien delimitados e hilio llamativamente grande (Fig. 1) con vascularización central (Fig. 2). Diagnóstico de adenopatía reactiva, con seguimiento ecográfico al mes (Fig. 3) y disminución del tamaño.

Figura 1. Adenopatía hipoecoica con hilio grande
Figura 1. Adenopatía hipoecoica.
 
Figura 2. Adenopatía hipoecoica con vascularización central
Figura 2. Adenopatía hipoecoica con vascularización central
 
Figura 3. Control al mes de misma adenopatía
Figura 3. Adenopatía reactivas
 

Caso 2

Niño de 3 años que acude por adenopatía cervical grande no dolorosa de semanas de evolución. Asintomático. Recibe tratamiento con amoxicilina-clavulánico durante dos semanas sin mejoría. En la exploración física: adenopatía de consistencia elástica, no móvil y no dolorosa. Se realiza ecografía objetivando adenopatía heterogénea con focos hipoecoicos (necrosis) con bordes irregulares, forma ovalada (Fig. 4) sin visualizar imagen Doppler central (Fig. 5), con artefactos en zonas periféricas. Se realiza Mantoux positivo y se deriva para estudio y exéresis quirúrgica diagnóstica y terapéutica. Se aísla Mycobacterium avium y recibe tratamiento con rifampicina.

Figura 4. Adenopatía heterogénea con focos hipoecoicos
 
Figura 4. Adenopatía heterogénea con focos hipoecoicos
 
Figura 5. Adenopatía heterogénea con focos hipoecoicos, sin visualizar imagen Doppler central, con artefactos en zonas periféricas
Figura 5. Adenopatía heterogénea con focos hipoecoicos, sin visualizar imagen Doppler central, con artefactos en zonas periféricas
 

Caso 3

Niño de 11 años que consulta por adenopatía laterocervical-supraclavicular de una semana de evolución. Asintomático. Inicialmente recibe tratamiento con amoxicilina clavulánico durante una semana sin mejoría. En la exploración física presenta adenopatía supraclavicular de consistencia dura, no dolorosa, adherida a planos profundos. Se realiza ecografía objetivando una adenopatía redonda, heterogénea (Fig. 6) con una vascularización periférica (Fig. 7). Ante la sospecha de adenopatía de origen tumoral, se deriva al hospital de referencia, donde realizan analítica sin alteraciones, Mantoux y serologías negativas. Se realiza radiografía de tórax donde se hallan adenopatías perihiliares en pulmón derecho. Finalmente, se realiza biopsia escisional del ganglio con el diagnóstico anatomopatológico de linfoma no Hodgkin.

Figura 6. Adenopatía redonda, heterogénea
 
Figura 6. Adenopatía redonda, heterogénea
 
Figura 7. Adenopatía redonda, heterogénea, con una vascularización periférica
Figura 7. Adenopatía redonda, heterogénea, con una vascularización periférica
 

CONCLUSIÓN

La ecografía desde Atención Primaria puede ser una herramienta muy útil en la aproximación diagnóstica de las adenopatías, permitiendo valorar la urgencia y criterios de derivación a especialistas para el diagnóstico y tratamiento precoz. Aun así, es una técnica que precisa una amplia experiencia al ser operador-dependiente, pero que con una buena formación específica puede facilitar y mejorar la asistencia desde Atención Primaria.

CONFLICTO DE INTERESES

Los autores declaran la ausencia de conflicto de intereses en la redacción del presente artículo.