Vol. 25 - Num. 32
Casos clínicos. Neumología
Ainoa Buendía de Guezalaa, Pablo Marlasca San Martína, Eva de Lamo Gonzáleza, Elena Ruiz Renteríab
aPediatra. CS Área Santander-Laredo. Cantabria. España.
bMIR-Pediatría. Hospital Universitario Marqués de Valdecilla. Santander. Cantabria. España.
Cómo citar este artículo: Buendía de Guezala A, Marlasca San Martín P, de Lamo González E, Ruiz Rentería E. Neumotórax de repetición en un adolescente: a propósito de un caso . Rev Pediatr Aten Primaria. 2023;(32):e231-e232.
Publicado en Internet: 31-03-2023 - Número de visitas: 7250
El dolor torácico es una de las consultas urgentes más frecuentes en Pediatría, sobre todo en los adolescentes, siendo la gran mayoría de etiología benigna. Es necesario realizar una adecuada historia clínica y una exploración física completa para seleccionar los casos que precisan realizar pruebas complementarias.
Al centro de salud acude un varón adolescente de 15 años, por dolor torácico de 48 horas de evolución. Como antecedentes personales destaca: asma episódico ocasional sin tratamiento de mantenimiento y alergia a ácaros. Refiere que estaba jugando a la videoconsola, cuando súbitamente comienza con dolor torácico izquierdo irradiado hacia cuello y espalda. Inicialmente, dolor de intensidad elevada, y pasados 15 minutos, disminución progresiva del mismo, persistiendo posteriormente. Aumenta con la inspiración forzada y no varía con los cambios de postura. Afebril niega disnea, cuadro catarral asociado o traumatismo previo.
A la exploración, el triángulo de evaluación pediátrica es estable, con constantes en rango. En la auscultación cardiopulmonar presenta buena ventilación bilateral sin signos de dificultad respiratoria externos y no tiene dolor a la palpación de la caja torácica. No presenta otros datos de interés a la exploración. Se completa el abordaje inicial con un electrocardiograma sin alteraciones.
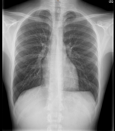
Ante el dolor pleurítico y la sospecha de neumotórax se deriva al centro hospitalario de referencia para la realización de una radiografía torácica; tras la cual se confirma la sospecha clínica (Fig. 1). El paciente ingresa durante 48 horas, permaneciendo asintomático y con una radiografía al alta con persistencia del neumotórax y controles por cirugía pediátrica y neumología infantil.
| Figura 1. Radiografía de tórax anteroposterior. Neumotórax izquierdo de localización apical con un grosor máximo de 2 cm |
|---|
![]() |

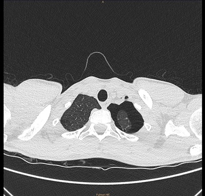
A las 6 semanas del primer episodio, presenta otro neumotórax izquierdo. Durante el segundo ingreso se realiza una tomografía computarizada (TC) de tórax donde se aprecian bullas apicales bilaterales (Fig. 2). Tras 6 días de ingreso, es dado de alta con mejoría clínica y radiológica. Finalmente es intervenido quirúrgicamente al mes del segundo episodio, sin presentar nuevas recidivas hasta la fecha actual.
| Figura 2. Imagen de TC de tórax sin contraste. Neumotórax izquierdo. Bullas subpleurales en ambas regiones apicales de los pulmones, sin signos de neumotórax derecho |
|---|
![]() |

El neumotórax espontáneo primario en Pediatría, fuera del periodo neonatal, es una patología infrecuente, siendo más frecuente en varones adolescentes. La clínica es variada, pudiendo ser asintomáticos en neumotórax simples de pequeño tamaño. Para su diagnóstico es preciso la confirmación diagnóstica por radiografía. El manejo inicial en Pediatría no está estandarizado, pero depende de la situación clínica del paciente y del tipo de neumotórax. La recidiva de un neumotórax espontáneo primario es una de las indicaciones de intervención quirúrgica.
Los autores declaran la ausencia de conflicto de intereses en la redacción del presente artículo.