Vol. 25 - Num. 32

Casos clínicos. Gastroenterología, nutrición y obesidad

La importancia de la primera revisión del recién nacido

María Martínez Bravoa, Laura Viñas Ruiza, Marta Belén Roldán Rodrígueza

aPediatra. CS El Casar. El Casar. Guadalajara. España.

Cómo citar este artículo: Martínez Bravo M, Viñas Ruiz L, Roldán Rodríguez MB. La importancia de la primera revisión del recién nacido . Rev Pediatr Aten Primaria. 2023;(32):e143-e144.

Publicado en Internet: 31-03-2023 - Número de visitas: 5513

INTRODUCCIÓN

La primera revisión del recién nacido (RN) es fundamental para detectar aquellos que presentan factores de riesgo o signos de alarma que debemos vigilar. La mayoría de las veces es el primer eslabón de una cadena que puede llevarnos a enfermedades importantes que hay que detectar.

RESUMEN DEL CASO

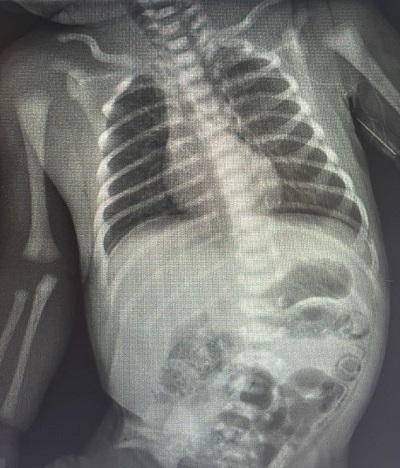
Recién nacida a término (RNT) de peso adecuado para la edad gestacional, sin antecedentes de interés, alimentada con lactancia materna exclusiva (alguna toma de fórmula puntual en Maternidad), que acude a la primera revisión del RN a los 8 días de vida. Se objetiva una pérdida ponderal del 10% respecto al nacimiento e ictericia. Se deriva al hospital, donde ingresa para fototerapia e inicio de lactancia mixta. En las horas siguientes empieza con intolerancia digestiva, vómitos y distensión abdominal. Se realiza analítica con neutrofilia leve y radiografía abdominal con distención de asas y signos de neumatosis intestinal. Ante dichos hallazgos, se deja a dieta absoluta y se inicia antibioterapia. A las 8 horas se repite analítica, donde presenta leucocitosis con más neutrofilia y elevación de reactantes de fase aguda con procalcitonina de 17,70 ng/ml. En la radiografía abdominal presenta aumento de la neumatosis intestinal. Ante la sospecha de enterocolitis necrotizante (NEC), se traslada a un hospital de tercer nivel. A las 36 horas de ingreso presenta empeoramiento clínico, evidenciándose en control radiológico neumoperitoneo por perforación intestinal (Fig. 1), precisando cirugía urgente con colostomía.

Figura 1. Neumoperitoneo por perforación intestinal
Figura 1. Neumoperitoneo por perforación intestinal.
 

Entre tanto, avisan al centro de salud de resultados alterados en las pruebas metabólicas, con hormona estimulante del tiroides (TSH) de 486,81 µUI/ml. Se inicia tratamiento sustitutivo y se realizan pruebas de imagen sin identificarse tejido tiroideo, con diagnóstico de agenesia tiroidea.

La paciente presenta evolución favorable posterior, manteniendo actualmente la colostomía y el tratamiento sustitutivo, alimentada con lactancia materna a demanda excluida de proteína de leche de vaca.

CONCLUSIONES

La NEC es una entidad con gran morbimortalidad en el periodo neonatal. Es rara en RNT, existiendo en la mayoría de los casos un factor desencadenante: cardiopatías, asfixia perinatal, sepsis, alteraciones metabólicas, etc. Dentro de estas se ha descrito el hipotiroidismo. El denominador común de estas condiciones es la disminución del flujo intestinal, con el riesgo que ello conlleva de desarrollar NEC. La nutrición con fórmulas artificiales puede aumentar la demanda de oxígeno, aumentando en situaciones predisponentes el riesgo de isquemia intestinal. El diagnóstico precoz es esencial para reducir la morbimortalidad de los RN de riesgo.

CONFLICTO DE INTERESES

Los autores declaran la ausencia de conflicto de intereses en la redacción del presente artículo.

ABREVIATURAS

NEC: enterocolitis necrotizante · RN: recién nacido · RNT: recién nacido a término · TSH: hormona estimulante del tiroides.