Vol. 25 - Num. 32
Casos clínicos. Miscelánea
Ana Hercberg Morenoa, Celia Alcántara Reya, Leticia González Santamaríaa, Elisa Cristina Salazar Alarcóna, Sara Guillén Martínb, Andrés José Alcaraz Romerob
aMIR-Pediatría. Hospital Universitario de Getafe. Getafe. Madrid. España.
bPediatra. Hospital Universitario de Getafe. Madrid. España.
Cómo citar este artículo: Hercberg Moreno A, Alcántara Rey C, González Santamaría L, Salazar Alarcón EC, Guillén Martín S, Alcaraz Romero AJ. Una artritis idiopática juvenil poco común . Rev Pediatr Aten Primaria. 2023;(32):e187-e188.
Publicado en Internet: 31-03-2023 - Número de visitas: 5429
La artritis idiopática juvenil (AIJ) es una enfermedad poco frecuente (incidencia 1/10 000 niños), de etiología desconocida y mecanismo autoinmune que produce inflamación sinovial. La forma más frecuente de presentación es la oligoarticular, que se define como la presencia de artritis de causa desconocida antes de los 16 años, dura mínimo 6 semanas y durante los primeros 6 meses afecta a 4 o menos articulaciones. Suele afectar a niñas, con predominio de los miembros inferiores, siendo la rodilla la articulación más frecuentemente afectada.
Niña de 2 años derivada por pediatra de Atención Primaria por inflamación y cojera progresiva de rodilla derecha de 10 días de evolución. Refieren disminución de la movilidad matutina con mejoría durante el día. No traumatismo ni cuadro catarral previo. Afebril. Madre con artritis reumatoide.
A la exploración, cojera moderada con aumento de calor local de rodilla derecha y signo de peloteo positivo, sin eritema. También lateralización del cuello hacia la izquierda, con limitación para la flexión dorsal.
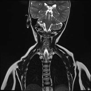
A lo largo de casi 4 meses de estudio se realizan radiografía de rodilla y de columna cervical (normales); analítica sanguínea (ANA positivo (1/320), factor reumatoide y resto de anticuerpos negativos); prueba de Mantoux (negativo); artrocentesis de rodilla (líquido de características inflamatorias) y resonancia magnética nuclear (RNM) cervical con hallazgo de sinovitis atlantoaxoidea (Fig. 1). Tras el diagnóstico de AIJ oligoarticular ANA positivo, se lleva a cabo un estudio por Oftalmología, sin objetivar uveítis en controles posteriores.
| Figura 1. RNM donde se aprecia líquido rodeando masas laterales del atlas, en articulaciones atloaxoideas y aumento de partes blandas rodeando odontoides y entre arco anterior de C1 y membrana tectorial, que tras introducción de contraste intravenoso muestra captación, indicativo de sinovitis activa atlantoaxoidea |
|---|
![]() |

Se realiza infiltración de rodilla derecha con hexacetónido de triamcinolona y, tras asegurar correcta vacunación, se inicia tratamiento con metotrexato oral y ácido fólico, presentando urticaria aguda tras su administración. Tras la confirmación por el Servicio de Alergia de alergia a metotrexato, se cambia el tratamiento a adalimumab, asociándole leflunomida con buena evolución posterior.
Los autores declaran la ausencia de conflicto de intereses en la redacción del presente artículo.
AIJ: artritis idiopática juvenil · ANA: anticuerpos antinucleares · RNM: resonancia magnética nuclear.