Vol. 25 - Num. 32

Casos clínicos. Ortopedia y Traumatología

¿Un hueso roto o un hueso de más?

Mónica Hortigüela Aparicioa, Patricia Gil Fernándezb, Candela Oliva González-Conejerob, Almudena García García-Galánb, Carmen Gómez Géreza, Sara Suárez Cabezasa

aHospital Universitario Infanta Leonor. Madrid. España.
bHospital Universitario Infanta Leonor. Madrid. España.

Cómo citar este artículo: Hortigüela Aparicio M, Gil Fernández P, Oliva González-Conejero C, García García-Galán A, Gómez Gérez C, Suárez Cabezas S. ¿Un hueso roto o un hueso de más? . Rev Pediatr Aten Primaria. 2023;(32):e259-e260.

Publicado en Internet: 31-03-2023 - Número de visitas: 10048

INTRODUCCIÓN

El dolor en el pie es un problema relativamente común en la población pediátrica y por lo tanto un motivo frecuente de consulta. Generalmente, se asocia a un traumatismo menor en relación con la actividad deportiva o el juego. Esto puede combinarse con una biomecánica anormal del pie.

Comprende un amplio espectro de entidades clínicas, en su mayoría agudas y benignas, que se resuelven espontáneamente, y otras de carácter progresivo, con repercusión clínica y funcional grave asociadas a síndromes genéticos, enfermedades neuromusculares y enfermedades que afectan a las estructuras óseas y articulares.

Los huesos supernumerarios derivan de centros de osificación primarios o secundarios no fusionados y pueden ocasionar dolor crónico a nivel del pie o tras traumatismos banales.

RESUMEN DEL CASO

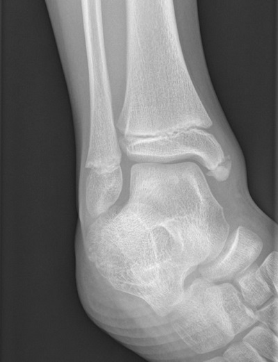
Niño de 12 años derivado desde la consulta de Atención Primaria por sospecha de fractura de maleolo tibia. Se realizó una radiografía de tobillo (Figura 1) por dolor en el maleolo externo de 3-4 días de evolución tras sufrir una eversión forzada.

Figura 1. Os subtibiale, hueso supernumerario
 

Historiando al paciente refiere dolor en dicha zona de larga evolución tras sobreesfuerzos, además de un historial de esguinces de repetición con varias inmovilizaciones.

Tras una exploración completa y revisión de radiografías de tobillo previas donde ya se objetivaba la lesión, se diagnostica de os subtibiale.

CONCLUSIONES

El os subtibiale es un hueso accesorio muy poco frecuente, por lo general de diagnóstico incidental, de 4 a 15 mm de tamaño, con una prevalencia estimada del 0,7 al 1,2%. Se localiza distal o posterior al maléolo medial, de morfología redondeada y cortical bien definida. Generalmente no tiene implicación clínica, pero en algunos casos puede producir dolor y limitación de la movilidad en el tobillo, aunque existen muy pocos casos reportados.

El diagnóstico se realiza mediante radiografía convencional con proyecciones anteroposterior y lateral de ambos tobillos, pues en muchas ocasiones es bilateral.

La presencia de os subtibiale se puede interpretar como una fractura, especialmente si existen antecedentes de traumatismo, como en nuestro caso clínico. Un error en el diagnóstico puede llevar a una innecesaria inmovilización o, en casos con mala evolución, a cirugía.

Aunque los huesos supernumerarios son poco frecuentes, debemos conocerlos para realizar un adecuado diagnóstico y evitar, así, intervenciones innecesarias

CONFLICTO DE INTERESES

Los autores declaran no presentar conflictos de intereses en relación con la preparación y publicación de este artículo.