Vol. 25 - Num. 98
Notas clínicas
Silvia Rodríguez del Rosarioa, M.ª Jesús Redondo Granadob, Isabel Gómez Martínc
aMIR-Pediatría. Hospital Clínico Universitario de Valladolid. Valladolid. España.
bPediatra. CS Plaza del Ejército. Valladolid. España
cPediatra. CS Tudela de Duero. Valladolid. España.
Correspondencia: S Rodríguez. Correo electrónico: silvia_0630@hotmail.com
Cómo citar este artículo: Rodríguez del Rosario S, Redondo Granado MJ, Gómez Martín I. Pérdida ponderal como debut de lipoblastoma mesentérico en un lactante . Rev Pediatr Aten Primaria. 2023;25:169-73.
Publicado en Internet: 10-05-2023 - Número de visitas: 6464
Resumen
Introducción: el estancamiento ponderal durante el segundo año de vida es un motivo frecuente de consulta que requiere seguimiento y, en ocasiones, pruebas complementarias con el fin de descartar las causas más frecuentes a esta edad, tales como infecciones o síndromes malabsortivos. Se presenta el caso de un lactante con estancamiento ponderal de etiología poco frecuente.
Caso clínico: varón que a partir de los 15 meses de edad comienza con pérdida ponderal, con apetito y estado general conservados, sin otros síntomas. Se objetiva un descenso de peso desde el percentil 75 hasta el percentil 25 a lo largo de tres meses, sin repercusión en la talla ni el perímetro cefálico. A la exploración física tenía aspecto desnutrido, con distensión y timpanismo abdominal. Se solicitan pruebas complementarias, incluyendo anticuerpos de celiaquía por sospecha de síndrome malabsortivo, que fueron normales. En la ecografía abdominal se observa imagen compatible con tumoración de gran tamaño. Ante estos hallazgos, se amplían pruebas de imagen mediante tomografía computarizada (TC) y resonancia magnética (RM) abdominales, donde se encuentra una imagen compatible con lipoblastoma mesentérico. Se interviene quirúrgicamente a los 20 meses, confirmándose en el estudio histológico el diagnóstico de sospecha.
Conclusión: los lipoblastomas son tumores benignos, infrecuentes, prácticamente exclusivos de la edad pediátrica. Generalmente se localizan en zonas superficiales, siendo estos asintomáticos. Los de localización profunda, como el del caso descrito, son excepcionales y pueden producir síntomas secundarios a compresión local. El diagnóstico definitivo se realiza mediante estudio histológico, siendo la exéresis el tratamiento de elección.
Palabras clave
● Lactante ● Lipoblastoma ● Mesenterio ● Pérdida de pesoLas causas que inducen a una pérdida de peso o a una deficiente ganancia ponderal durante el segundo año de vida son múltiples, pudiendo deberse a una enfermedad subyacente o no. Entre las causas más frecuentes encontramos una ingesta calórica insuficiente, que representa hasta el 80% de los casos, seguido de entidades que cursan con malabsorción, así como la presencia de gasto calórico aumentado1. Es primordial en estos pacientes realizar un seguimiento clínico estrecho, observando los hallazgos clínicos que puedan aparecer, así como realizar pruebas complementarias de forma progresiva para llegar a conocer la etiología, aunque tan solo el 5% de los casos presentan una causa orgánica subyacente2. A pesar de que la mayoría de los pacientes presentan un origen multifactorial, los motivos más frecuentes ─y que hay que descartar a esta edad─ son enfermedades digestivas, fundamentalmente síndromes malabsortivos como la enfermedad celiaca, alergias alimentarias, infecciones, parasitaciones o enfermedades oncológicas2. Sin embargo, en ocasiones, podemos encontrarnos con causas infrecuentes de estancamiento ponderal como la que describimos a continuación.
Lactante varón que acude a la consulta del centro de salud para la revisión de los 18 meses de edad. La familia cree que ha perdido peso en las últimas semanas y comentan que tiene molestias abdominales, deposiciones blandas e hinchazón abdominal desde hace dos meses aproximadamente. No vómitos ni fiebre. El apetito parece conservado, ya que demanda tomas frecuentes. No tiene antecedentes personales ni familiares de interés. Lactancia materna durante los primeros tres meses de vida e introducción de alimentación complementaria sin incidencias. A la exploración física presenta buen estado general con aspecto desnutrido. Coloración y estado de hidratación mucocutáneo normales. Auscultación cardiopulmonar normal. Abdomen distendido, depresible, no doloroso a la palpación. No se palpan masas ni visceromegalias. Adecuada ganancia ponderal hasta la revisión de los 15 meses, constatándose en el momento de la consulta una pérdida de peso de 550 gramos con respecto a la revisión previa tres meses antes, con una caída del percentil de peso desde el p75 al p25 a los 18 meses (Fig. 1). Talla y perímetro cefálico normales. En sucesivos controles persisten deposiciones blandas, sin vómitos y con aumento de la demanda de las tomas. Ante la sospecha de síndrome malabsortivo se solicitan las siguientes pruebas complementarias: hemograma y bioquímica con perfil férrico y tiroideo, que fueron normales. Anticuerpos antitransglutaminasa y antigliadina, IgA, urocultivo, coprocultivo y parásitos negativos. Mantoux negativo. Interconsulta a Otorrinolaringología por sintomatología obstructiva por hipertrofia adenoidea, que no ha precisado tratamiento. Se retira lactosa de la dieta sin mejoría.
| Figura 1. Gráfica percentilada de peso |
|---|
![]() |

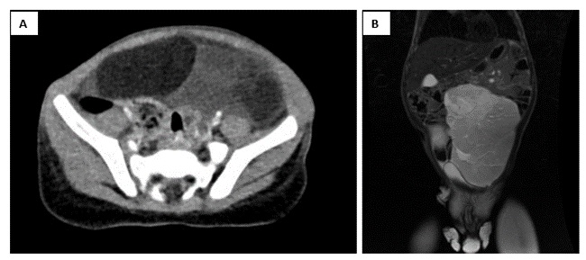
Dada la persistencia de los hallazgos clínicos se amplía el estudio solicitando ecografía abdominal e interconsulta a Gastroenterología infantil, desde donde se programa estudio genético de enfermedad celiaca y endoscopia digestiva alta, que no llega a realizarse ante el resultado de la ecografía abdominal de lesión compatible con tumoración de gran tamaño. Se realiza estudio de extensión de la tumoración, mediante tomografía computerizada (TC) abdominal (Fig. 2A), donde se observa masa sólida desde región subhepática hasta hipogastrio, con apariencia de estirpe grasa, y resonancia magnética (RM) abdominal (Fig. 2B) en la que se objetiva una masa centroabdominal con efecto masa sobre asas intestinales y vejiga, sin infiltrar estructuras, con márgenes bien definidos y consistencia grasa, que sugiere lipoblastoma mesentérico.
| Figura 2. Lipoblastoma mesentérico. (A) Tomografía computarizada (TC) abdominal: tumoración de 12 x 5 x 12 cm que ocupa desde región subhepática hasta hipogastrio. (B) Resonancia magnética (RM) abdominal: masa centroabdominal de 14 x 15 x 6 cm con efecto masa sobre asas intestinales y vejiga, sin infiltrar estructuras |
|---|
![]() |

Se interviene quirúrgicamente a los 20 meses, con resección completa de la tumoración, confirmándose el diagnóstico de lipoblastoma mesentérico mediante anatomía patológica. Se realiza seguimiento tras intervención quirúrgica, presentando la curva de peso un catch-up, pasando del percentil 25 al 50-75 a las pocas semanas (Fig. 1).
Los lipoblastomas son neoplasias benignas, infrecuentes, que constituyen el 0,3% de los tumores de tejidos blandos3. Provienen del tejido adiposo embrionario y son prácticamente exclusivos de la edad pediátrica, presentándose generalmente en menores de 7 años. En el 80-90 % de los casos aparece por debajo de los 3 años, y en un 40% debutan en el primer año de vida3,4. Predominan en el sexo masculino3.
Generalmente, se localizan en zonas superficiales, principalmente en extremidades y tronco, siendo los de localización profunda excepcionales. La localización abdominal ocurre aproximadamente en el 7% de los lipoblastomas, en su mayoría en el retroperitoneo, siendo muy pocos los casos de lipoblastoma mesentérico reportados en la literatura5,6. El estudio publicado por Hasizume et al. en 2020 establece que entre los años 1956 y 2020 se recopilaron 44 casos de lipoma y lipoblastoma mesentéricos en la población pediátrica (menores de 15 años). Los resultados reflejaron que 20 fueron lipomas y los 24 restantes lipoblastomas mesentéricos. La edad de presentación osciló entre 5 meses a 11 años; no obstante, en el caso de los lipoblastomas, el 70,9% (n = 17) eran menores de 3 años4. En relación con la sintomatología del lipoblastoma mesentérico, suelen ser asintomáticos, por lo que en muchas ocasiones se trata de un hallazgo casual y la evolución clínica es de un tumor de crecimiento lento e indoloro. Diferenciamos dos tipos: la forma circunscrita, que es la más frecuente; y la difusa o lipoblastomatosis. El tamaño promedio generalmente se encuentra entre los 3-5 cm6. En aquellos pacientes que presenten síntomas, estos se producen por efecto masa, pudiendo presentar dolor, distensión abdominal, masa palpable, vómitos biliosos, pérdida de apetito o diarrea7.
En el caso presentado, el hecho de conservar el apetito con un gran tumor abdominal ya en sí sugiere un carácter benigno. Resultaba llamativo que la madre siempre refería que el niño tenía buen apetito porque demandaba alimento con frecuencia. Esto pudiera ser debido a que el efecto masa, por el gran tamaño del tumor, ejerciera una disminución de la capacidad del tubo digestivo, que le indujera a hacer tomas más pequeñas y frecuentes.
Respecto al diagnóstico, generalmente los hallazgos en las pruebas de imagen mediante ecografía, tomografía computarizada o resonancia magnética abdominal son suficientes para tener una elevada sospecha diagnóstica, por lo que la biopsia preoperatoria no estaría indicada5.
Se debe realizar diagnóstico diferencial con otros tumores, especialmente el liposarcoma. Este último se caracteriza porque suele aparecer en niños mayores de 10 años; sin embargo, son los hallazgos histológicos los que nos van a permitir obtener el diagnóstico definitivo. El lipoblastoma se caracteriza porque no presenta atipias nucleares ni pleomorfismos, a diferencia del liposarcoma, en el que el índice de mitosis y atipias nucleares es muy elevado4,5,7. Además, el uso reciente de la citogenética ha facilitado el diagnóstico diferencial, ya que el lipoblastoma se caracteriza por la presencia de traslocaciones en el cromosoma 8 en la banda q12 y el oncogén PLAG1 prevalece hasta en el 70% de los lipoblastomas8.
En relación con el tratamiento, destacar que el objetivo del mismo es la resección completa del tumor con márgenes negativos. En aquellas lesiones circunscritas la recurrencia es rara puesto que se suele conseguir la resección completa, presentando buena evolución y ausencia de complicaciones en los casos descritos en la literatura. No obstante, la extirpación completa puede ser complicada en aquellos pacientes con lipoblastomatosis por la falta de delimitación; en estos casos, son precisas pruebas de imagen mediante resonancia magnética abdominal durante el seguimiento para delimitar la lesión y realizar una nueva resección si así se requiere. Por tanto, el riesgo de recidiva en estos últimos es más alto9,10. Además, es importante destacar que estos tumores no precisan tratamiento adyuvante con quimioterapia o radioterapia11.
Con respecto al pronóstico, el riesgo de recurrencia de los lipoblastomas se encuentra entre el 9 y el 22%, pudiendo llegar, según algunos autores, hasta el 30%, requiriendo en ocasiones múltiples intervenciones quirúrgicas3,5. El riesgo de recurrencia se produce, según la mayoría de los autores, por resecciones incompletas, presentándose normalmente en los 2 primeros años tras la cirugía, por lo que es importante realizar un seguimiento clínico y/o por imagen mediante resonancia magnética abdominal. Sin embargo, en el estudio realizado por Speer et al. objetivaron que el tiempo promedio de recurrencia era de 3 años, encontrando un caso que recidivó en el cuarto año tras la intervención quirúrgica12. La forma, pues, de realizar el seguimiento es controvertida. Algunos autores recomiendan mantenerlo durante los 5 años posteriores a la intervención quirúrgica, realizándose cada 2 meses durante el primer año, cada 6 meses durante el segundo y tercer año, y posteriormente de forma anual. Sin embargo, a pesar del riesgo de recidiva es importante destacar que no hay ningún caso de metástasis reportado en la literatura12,13.
Como conclusión, el lipoblastoma mesentérico es un tumor extremadamente infrecuente, casi exclusivo de la edad pediátrica, generalmente asintomático. Cuando produce síntomas es debido al efecto masa, por lo que puede debutar con sintomatología inespecífica o simular otras patologías, en nuestro caso de origen digestivo. Realizar un estudio adecuado de los pacientes que presenten una pérdida o un estancamiento ponderal, solicitando las pruebas complementarias necesarias de forma progresiva y racional, permite generalmente alcanzar un diagnóstico etiológico, al que se puede llegar, como en este caso, desde el ámbito de la Atención Primaria.
Las autoras declaran no presentar conflictos de intereses en relación con la preparación y publicación de este artículo. Este estudio no ha recibido financiación. El caso ha sido parcialmente presentado, en formato póster, en el 36. °Congreso de la SEPEAP, Alicante, en octubre de 2022.
Todas las autoras han contribuido de forma equivalente en la elaboración del manuscrito publicado. Las autoras confirman que cuentan con el consentimiento informado de los padres/tutores para publicar información de su hijo/a.
RM: resonancia magnética · TC: tomografía computarizada.