Vol. 25 - Num. 98
Casos clínicos en Digestivo
Carla Mur Beguéa, Iván Carabaño Aguadoa, Anna Jiménez Natala, Lara López Rodrígueza, David Coca Robinotb, Enrique Salcedo Lobatoa
aSección de Gastroenterología, Hepatología y Nutrición Pediátrica. Servicio de Pediatría. Hospital Universitario 12 de Octubre. Madrid. España.
bbSección de Radiodiagnóstico Infantil. Hospital Universitario 12 de Octubre. Madrid. España.
Correspondencia: C Mur. Correo electrónico: carla.mur@salud.madrid.org
Cómo citar este artículo: Mur Begué C, Carabaño Aguado I, Jiménez Natal A, López Rodríguez L, Coca Robinot D, Salcedo Lobato E. ¿Torta omental? . Rev Pediatr Aten Primaria. 2023;25:189-92.
Publicado en Internet: 16-06-2023 - Número de visitas: 18298
Resumen
La torta omental describe la presencia de material infiltrativo en la grasa epiploica. El carcinoma de ovario es el proceso maligno clásicamente relacionado con las tortas omentales; sin embargo, las neoplasias malignas que pueden desarrollarlo son múltiples. Igualmente, procesos agudos o crónicos de índole inflamatoria e infecciosa pueden llevar a esta situación. De hecho, si bien la presencia de torta omental siempre implica descartar malignidad, en la edad pediátrica son más frecuentes estas otras etiologías. La clínica de la infiltración epiploica suele ser muy inespecífica, independientemente de la etiología. Los casos descritos suelen debutar con dolor abdominal mal localizado de días o semanas de evolución. La torta omental, en esencia, es un signo radiológico; por tanto, su diagnóstico implica la realización de una o varias pruebas de imagen. El gold standard es la tomografía computarizada (TC). La ecografía es una buena alternativa en niños. Si la causa de la torta omental es incierta, es necesario el examen anatomopatológico de una muestra de tejido peritoneal. Finalmente, el tratamiento en casos de omental cake depende de la etiología. En general, la presencia de este signo radiológico en el seno de una enfermedad neoplásica implica peores resultados. En cambio, en procesos infecciosos es posible un tratamiento dirigido con erradicación del patógeno implicado, consiguiendo una evolución clínica favorable.
Palabras clave
● Campylobacter jejuni ● Ecografía ● OmentoLa torta omental (en inglés: omental cake) es un término radiológico que describe la presencia de material infiltrativo en la grasa epiploica. Igual que en pacientes adultos, su presencia obliga a descartar procesos tumorales; sin embargo, en la edad pediátrica la infiltración suele ser de naturaleza inflamatoria. Siempre ha de tenerse en cuenta la posibilidad de que sea secundaria a una tuberculosis, si bien puede guardar relación etiológica con procesos infecciosos agudos. Se presenta un caso de torta omental secundario a una infección por Campylobacter jejuni.
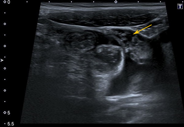
Adolescente de 15 años de edad que ingresó en planta de hospitalización por dolor abdominal localizado en ambas fosas iliacas de una semana de evolución. Asociaba deposiciones pastosas, en número de 4-5 al día. Afebril, sin vómitos. A su llegada a urgencias presentaba dolor abdominal difuso, más intenso en fosa iliaca derecha. Blumberg dudoso y Murphy negativo. Hallazgos analíticos anodinos, salvo proteína C reactiva de 6,46 mg/dl y procalcitonina de 0,21 ng/ml. Se realizó interconsulta a Cirugía Pediátrica y a Ginecología y se descartó patología quirúrgica urgente. Se solicitó ecografía abdominal (Fig. 1), donde se objetivaron signos de enteritis inflamatoria/infecciosa con afectación del omento mayor. Se ingresó a la paciente con analgesia intravenosa para manejo del dolor, seguimiento evolutivo y filiación del origen del engrosamiento omental. Prueba de la tuberculina negativa. En el coprocultivo se documentó una infección por C. jejuni.
| Figura 1. Torta omental (omental cake). Ecografía abdominal, en la que se evidencia un notable engrosamiento edematoso del omento mayor, localizado en fosa iliaca izquierda |
|---|
![]() |

La evolución clínica fue favorable hasta la normalización clínica espontánea. En el seguimiento posterior en consultas externas, la paciente se mantuvo asintomática desde el punto de vista digestivo.
El epiplón u omento mayor (OM), tenido en consideración por primera vez por Ross en el siglo XIX, es un pliegue formado por varias capas de peritoneo que, delimitado cranealmente por la curvatura mayor del estómago y extendiéndose en dirección caudal, forma una estructura similar a un delantal con el objetivo de cubrir colon transverso e intestino delgado1,2.
Formado por una cantidad variable de grasa y vasos linfáticos, el OM es una barrera crucial para la prevención de la extensión de procesos de diferentes etiologías a nivel abdominal. No obstante, del mismo modo puede servir de vía para la propagación de patologías inflamatorias, infecciosas y neoplásicas1-3. Este hecho tendría como resultado un engrosamiento del omento, transformándose de una banda grasa prácticamente imperceptible a una masa capaz de desplazar el colón e intestino subyacentes. Esto es, metafóricamente, la torta omental u omental cake2-4.
El carcinoma de ovario es el proceso maligno clásicamente relacionado con las tortas omentales; sin embargo, las neoplasias malignas que pueden desarrollarlo son múltiples. Los cánceres de colon, páncreas y gástrico son otros de los tumores malignos relativamente comunes que pueden desencadenar metástasis en el epiplón. Sin embargo, prácticamente cualquier neoplasia con capacidad de diseminación intraperitoneal, como el cáncer de endometrio o de vejiga, puede causar una torta omental2,4. Los tumores primarios, tanto benignos como malignos, son raros2.
Igualmente, procesos agudos o crónicos de índole inflamatoria e infecciosa pueden llevar a esta situación2. De hecho, si bien la presencia de torta omental siempre implica descartar malignidad, en la edad pediátrica son más frecuentes estas otras etiologías2,5. Típicamente, estas enfermedades son el resultado de la diseminación hematógena, linfática o directa de citoquinas inflamatorias u organismos patógenos hacia el peritoneo. El ejemplo clásico es la peritonitis tuberculosa, pues comúnmente presenta manifestaciones omentales similares a la carcinomatosis peritoneal2,3,5. Otras causas infecciosas son la actinomicosis, histoplasmosis o micobacterias no tuberculosas. Con respecto a las causas inflamatorias, hay casos descritos en pacientes con enfermedad de Crohn, pancreatitis flemonosa, enterocolitis granulomatosa o amiloidosis4,6. No obstante, no existen publicados casos en consecuencia a una infección por C. jejuni (Tabla 1).
| Tabla 1. Torta omental (omental cake). Posibles etiologías | |
|---|---|
| Etiología | |
| Neoplásica | Enfermedad metastásica: carcinoma de ovario, cáncer de colón, cáncer de páncreas, cáncer gástrico, cáncer de endometrio, cáncer de vejiga Enfermedad primaria (benigna o maligna) |
| Infecciosa | Tuberculosis, actinomicosis, histoplasmosis, micobacterias no tuberculosas, Campylobacter jejuni |
| Inflamatoria | Enfermedad de Crohn, pancreatitis flemonosa, enterocolitis granulomatosa, amiloidosis |

La clínica de la infiltración epiploica suele ser muy inespecífica, independientemente de la etiología. Igual que en nuestro paciente, los casos descritos suelen debutar con dolor abdominal mal localizado de días/semanas de evolución, en ocasiones secundario a obstrucción abdominal o intususcepción2,5,6. Puede presentarse como único síntoma o junto con otra clínica gastrointestinal, especialmente el cambio en las características de las deposiciones, como en nuestro caso clínico. Relativamente frecuente es la coexistencia de vómitos, en ocasiones hemáticos6, y fiebre, principalmente en causas infecciosas5. La demora del diagnóstico en los casos neoplásicos puede conllevar el desarrollo del síndrome constitucional1.
La omental cake, en esencia, es un signo radiológico; por tanto, su diagnóstico implica la realización de una o varias pruebas de imagen. El gold standard es la tomografía computarizada (TC). En la enfermedad peritoneal suelen diferenciarse dos patrones de presentación radiológica: difuso y nodular (Tabla 2). Un patrón difuso, típico de los procesos malignos, se describe como un engrosamiento peritoneal generalizado, con ganglios linfáticos, calcificaciones irregulares e invasión de estructuras adyacentes1,2,6. En nuestro caso, se presenta un patrón nodular, más propio de etiología inflamatoria e infecciosa, con formación de una masa omental circunscrita en fosa iliaca izquierda junto con un engrosamiento inflamatorio de la pared intestinal. No obstante, hay descritos hallazgos propios de carcinomatosis, como las calcificaciones, en enfermedades no tumorales, como la tuberculosis y la amiloidosis2,5,6.
| Tabla 2. Torta omental (omental cake). Patrones radiológicos | ||
|---|---|---|
| Patrones radiológicos | ||
| Nodular | Engrosamiento peritoneal generalizado, con ganglios linfáticos, calcificaciones irregulares e invasión de estructuras adyacentes | Malignidad |
| Difuso | Masa o masas omentales circunscritas, localizadas, con posible engrosamiento inflamatorio de la pared intestinal, también localizado | Infeccioso/inflamatorio |

La ecografía es una buena alternativa a la TC como prueba de inicio, especialmente en niños, en los que las causas neoplásicas de omental cake son raras. Permite evaluar de forma general la afectación peritoneal y describir el patrón (difuso o nodular) sin necesidad de radiación2. En nuestro caso, fue la prueba de imagen diagnóstica (Fig. 1), junto con el coprocultivo, que permitió identificar la infección por C. jejuni y filiar así la causa.
La resonancia magnética (RM) también permite identificar la torta omental, pero la resolución en el diagnóstico de enfermedad peritoneal es inferior. No obstante, la RM es útil en pacientes con contraindicaciones para la TC o en casos con hallazgos de TC no concluyentes2.
Si la causa de la torta omental es incierta, es necesario el examen anatomopatológico de una muestra de tejido peritoneal. Para ello, se debe realizar una biopsia percutánea guiada por imagen; sin embargo, su utilidad en casos de baja probabilidad de malignidad, con una causa filiada, está discutido2,4,6. Por ello, en nuestro paciente se decidió prescindir de la misma.
Finalmente, el tratamiento en casos de omental cake depende de la etiología. En general, la presencia de este signo radiológico en el seno de una enfermedad neoplásica implica peores resultados, por la dificultad de conseguir una cirugía citorreductora completa1. En cambio, en procesos infecciosos es posible un tratamiento dirigido con erradicación del patógeno implicado, consiguiendo una evolución clínica favorable5, como en el caso clínico descrito.
En conclusión, la omental cake es un signo radiológico poco frecuente en Pediatría, su presencia implica descartar un proceso neoplásico, pero es más frecuente la etiología inflamatoria e infecciosa, en general con mejor pronóstico.
Los autores declaran no presentar conflictos de intereses en relación con la preparación y publicación de este artículo. Este trabajo no ha recibido financiación.
Contribución de los autores: redacción de los apartados principales del texto (CMB), revisión y corrección (ICA, ESL), traducción al inglés del resumen (AJN), revisión de la casuística de la entidad descrita (LLR), asesoramiento radiológico y cesión de imágenes (DCR).
Los autores confirman que cuentan con el consentimiento verbal de los padres/tutores para publicar información de su hijo/a.
OM: omento mayor · RM: resonancia magnética · TC: tomografía computarizada.