Vol. 25 - Num. 100

Notas clínicas

Cuando los vómitos no son causados por un virus

Patricia Martínez Arias a

aMédico de Familia. CS Los Yébenes. Madrid. España.

Correspondencia: P Martínez. Correo electrónico: patriciamarias@hotmail.com

Cómo citar este artículo: Martínez Arias P. Cuando los vómitos no son causados por un virus . Rev Pediatr Aten Primaria. 2023;25:e117-e120. https://doi.org/10.60147/a793d307

Publicado en Internet: 14-12-2023 - Número de visitas: 10482

Resumen

La otitis media aguda (OMA) es un diagnóstico muy frecuente en Atención Primaria, a veces se complica con supuración y, en otras ocasiones, menos frecuentemente, con mastoiditis.

Se presenta el caso de una niña de 6 años que, tras ser diagnosticada de OMA supurada e instaurarse tratamiento antibiótico, comienza con vómitos, mareos y cefalea, así como con un mal control del dolor con la analgesia habitual y posterior fotofobia. Tras varias visitas, acaba por diagnosticarse una mastoiditis con trombosis del seno transverso, sigmoideo y yugular.

La importancia del caso radica en una rápida sospecha de las posibles complicaciones de una otitis media para realizar un diagnóstico y tratamiento precoz de las mismas.

Palabras clave

Mastoiditis Otitis media Trombosis venosa

INTRODUCCIÓN

La mastoiditis es una posible complicación de una otitis media aguda (OMA). A su vez, las mastoiditis pueden originar otra serie de complicaciones que pueden ser graves. Entre ellas, destacan las complicaciones intracraneales, que asocian una mayor morbimortalidad. En este caso, cursó con trombosis de senos venosos, siendo la clínica principal vómitos, cefalea y posterior fotofobia. El diagnóstico tardó en establecerse, puesto que los síntomas iniciales eran inespecíficos y se achacaron inicialmente a una posible viriasis.

CASO CLÍNICO

Mujer de 6 años, sin antecedentes previos de interés, salvo algún episodio puntual de otitis seromucosa, con calendario vacunal al día, que acude por otalgia sin fiebre al centro de salud. Tras exploración física, destaca una leve hiperemia del tímpano derecho, sin abombamiento. Se pauta ibuprofeno a dosis antinflamatoria y revisión en 48 horas.

Al día siguiente acuden a urgencias por inicio de fiebre, donde se pauta amoxicilina a dosis de 80 mg/kg/día, y acude de nuevo en 24 horas al centro de salud porque inicia cuadro de vómitos con intolerancia oral. En la exploración física en ese momento tiene el oído derecho supurado, sin signos de mastoiditis y exploración neurológica sin focalidad. Se pauta suero oral y se explica que si no consigue tolerancia acudan de nuevo al Servicio de Urgencias.

Esa misma noche acuden a urgencias porque sigue presentando vómitos, se administra ondansetrón, ceden los vómitos durante una hora y se da de alta con observación domiciliaria ante cuadro de posible viriasis.

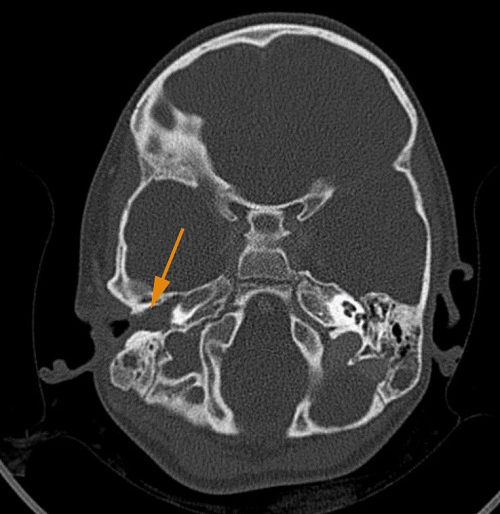
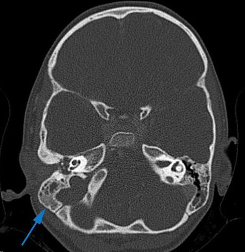
Al día siguiente tienen consulta telefónica en Atención Primaria y los padres refieren que la niña está muy mareada, tiene dolor que no consiguen controlar con analgesia habitual y, aunque está tomando amoxicilina, a veces vomita la dosis y tienen dudas sobre si le está haciendo efecto. En ese momento se indica a los padres que la traigan de nuevo presencialmente. En la exploración ya destaca el mal estado general de la paciente, la traen en carro porque tiene dificultad para ponerse en pie y caminar, el oído derecho persiste supurado y tiene dolor a palpación en región mastoidea derecha, con leve hiperemia de la zona retroauricular. Comentan además que han observado que tiene fotofobia. Ante la sospecha de mastoiditis complicada, se deriva de nuevo a urgencias, donde finalmente se realiza tomografía axial computarizada (TAC) craneal, objetivándose hallazgos compatibles con otomastoiditis derecha complicada con trombosis venosa ipsilateral, con afectación del seno transverso, sigmoideo y yugular (Figuras 1 y 2). Se inicia tratamiento intravenoso (iv) con cefotaxima 300 mg/kg/día, metronidazol 30 mg/kg/día y vancomicina 60 mg/kg/día, corticoterapia iv y sueroterapia. Se realiza mastoidectomía con drenaje en tubo en T transtimpánico y posteriormente tratamiento tópico con gentamicina y dexametasona. Además, se inicia tratamiento con enoxaparina a 1 mg/kg cada 12 horas. El cultivo del exudado ótico es positivo para Streptococcus pyogenes grupo A. La paciente evoluciona favorablemente. Durante el ingreso se descarta afectación cardiológica y a nivel neurológico presenta buena evolución con exploración neurológica al alta normal.

Figura 1. Imagen en TAC en la que se aprecia ocupación del oído medio derecho
Figura 1. Imagen en TAC en la que se aprecia ocupación del oído medio derecho
 
Figura 2. Imagen en TAC en la que se aprecia ausencia de ventilación en la mastoides derecha
Figura 2. Imagen en TAC en la que se aprecia ausencia de ventilación en la mastoides derecha
 

DISCUSIÓN

La mastoiditis aguda es un proceso inflamatorio del hueso mastoides consecuencia de una OMA. Aunque la incidencia de mastoiditis ha descendido con la introducción de vacunas y la antibioterapia, sigue siendo relativamente común en niños1,2.

Los cuadros de mastoiditis aguda pueden aparecer a cualquier edad, siendo más frecuentes entre los 6 meses y los 3 años. No se observa predominancia de género. En los países desarrollados se estima que solo un 0,24 % de los casos de OMA presentarán un cuadro clínico de mastoiditis3.

La clínica puede variar desde síntomas inespecíficos o leves hasta progresión y complicaciones con compromiso vital4,5.

Estas complicaciones incluyen absceso subperióstico, trombosis intracraneal, absceso intracraneal, hidrocefalia, encefalitis, meningitis, parálisis de pares craneales, osteomielitis… Los niños con abscesos intracraneales suelen precisar miringotomía con inserción de tubo de drenaje, mastoidectomía o ambos procesos asociados a drenaje intracraneal. Además, asocian un tiempo de recuperación mayor y un mayor número de complicaciones6.

Respecto a la trombosis de senos venosos, es una de las complicaciones que pueden elevar la presión intracraneal, lo que conlleva compromiso vital o riesgo de secuelas neurológicas. Por todo ello, reconocerla rápidamente es muy importante. El diagnóstico de mastoiditis aguda se basa en el antecedente de OMA asociado a signos locales inflamatorios en la región mastoidea, como el eritema retroauricular o la protusión del pabellón auricular. Sin embargo, en la mastoiditis complicada, los signos y síntomas suelen ser atípicos debido a la terapia previa con antibióticos o a tratarse de complicaciones silentes que tardan en tener manifestaciones clínicas7.

Por otro lado, conviene conocer también la existencia de una entidad descrita por varios autores como “mastoiditis enmascarada”, que forma parte de las complicaciones intratemporales de la otitis media. Se trata de un proceso subclínico de la cavidad mastoidea, que puede cursar sin ocupación del oído medio al drenar a través de la trompa de Eustaquio, a lo que se añade una inflamación crónica que puede durar semanas o meses hasta su resolución o hasta volverse sintomática, pudiendo asociar graves complicaciones intracraneales. Ante cefalea u otros síntomas neurológicos, es una posibilidad que también debe tenerse en cuenta para su rápido tratamiento8.

CONFLICTO DE INTERESES

La autora declara no presentar conflictos de intereses en relación con la preparación y publicación de este artículo.

RESPONSABILIDAD DE LOS AUTORES

La autora ha remitido un formulario de consentimiento de los padres/tutores para publicar información de su hijo/a.

ABREVIATURAS

iv: intravenoso · OMA: otitis media aguda · TAC: tomografía axial computarizada.

BIBLIOGRAFÍA

  1. Kordeluk S, Kraus M, Leibovitz E. Challenges in the management of acute mastoiditis in children. Curr Infect Dis Rep. 2015;17:479. https://doi.org/10.1007/s11908-015-0479-4
  2. Lin HW, Shargorodsky J, Gopen Q. Clinical strategies for the management of acute mastoiditis in the pediatric population. Clin Pediatr. 2010;49:110-5. https://doi.org/10.1177/0009922809344349
  3. Jiménez Huerta I, Hernández Sampelayo MT. Complicaciones de la otitis media. An Pediatr Monogr. 2003;1(1):13-23.
  4. Maranhao A, Andrade J, Godofredo V, Matos R, Penido N. Epidemiology of intratemporal complications of otitis media. Int Arch Otorhinolaryngol. 2014;18(2):178-83. https://doi.org/10.1055/s-0033-1364172
  5. Cassano P, Ciprandi G, Passali D. Acute mastoiditis in children. Acta Biomed. 2020;91(1-S):54-9. https://doi.org/10.23750/abm.v91i1-S.9259
  6. Favre N, Patel VA, Carr MM. Complications in Pediatric Acute Mastoiditis: HCUP KID Analysis. Otolaryngol Head Neck Surg. 2021;165(5):722-30. https://doi.org/10.1177/0194599821989633
  7. Vergadi E, Velegrakis S, Raissaki M, Bitsori M, Karatzanis A, Galanakis E. Acute mastoiditis complicated by cerebral venous sinus thrombosis in children. Int J Pediatr Otorhinolaryngol. 2021;141:110508. https://doi.org/10.1016/j.ijporl.2020.110508
  8. Voudouris C, Psarommatis I, Nikas I, Kafouris D, Chrysouli K. Pediatric Masked Mastoiditis Associated with Multiple Intracranial Complications. Case Rep Otolaryngol. 2015; 2015:897239. https://doi.org/10.1155/2015/897239