Vol. 26 - Num. 33

Casos clínicos. Neumología

Cuando el río suena, moco lleva

Lucía Elorriaga Sanzanoa, Pedro Luis Postigo Martína, Nicolás Martínez Miñambresb

aPediatra. CS Etxebarri. Etxebarri. Vizcaya. España.
bMIR-Pediatría. Hospital Universitario de Cruces. Baracaldo . Vizcaya. España.

Cómo citar este artículo: Elorriaga Sanzano L, Postigo Martín PL, Martínez Miñambres N. Cuando el río suena, moco lleva . Rev Pediatr Aten Primaria. Supl. 2024;(33):e135-e136.

Publicado en Internet: 16-05-2024 - Número de visitas: 3529

INTRODUCCIÓN

El síndrome del lóbulo medio (SLM) se caracteriza por el colapso recurrente o crónico del lóbulo medio o língula. El síntoma más común es la tos crónica recurrente, la auscultación patológica localizada y la fiebre intermitente. Si la situación de colapso se prolonga puede complicarse con acúmulo de secreciones, sobreinfección e inflamación, presentando una evolución desfavorable con neumonía recurrente o persistente y desarrollo de bronquiectasias.

RESUMEN DEL CASO

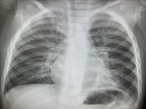
Niño de 25 meses que presenta en marzo del 2023 episodio de bronconeumonía bilateral con ingreso hospitalario por insuficiencia respiratoria (Figura 1).

Figura 1. Bronconeumonía bilateral
Figura 1. Bronconeumonía bilateral
 

Como antecedentes, ha presentado bronquiolitis a los cuatro meses y episodios de bronquitis y sibilancias recurrentes. Se inicia tratamiento con corticoide inhalado y montelukast.

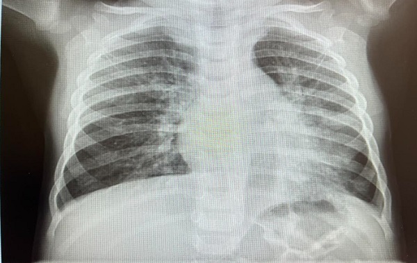
Se observa que en un episodio de noviembre del 2022 presenta una infección respiratoria con patrón radiográfico de neumonía atelectasia de LII (Figura 2).

Figura 2. Neumonía atelectasia de LII
Figura 2. Neumonía atelectasia de LII
 

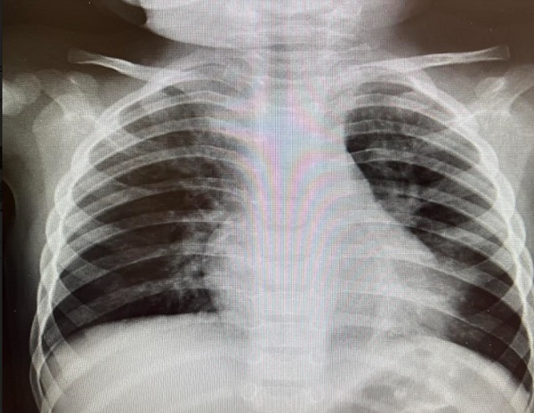
En el siguiente mes presenta nuevo episodio febril con imagen de neumonía atelectasia persistente en LII en la radiografía (Rx) (Figura 3).

Figura 3. Neumonía atelectasia persistente en LII
Figura 3. Neumonía atelectasia persistente en LII
 

En la exploración física entre episodios destaca auscultación con hipoventilación en base izquierda en hemitórax anterior con estertores subcrepitantes.

Dada la recurrencia de episodios, exploración alterada entre los mismos e imagen radiológica persistente, se realiza analítica sanguínea que incluye perfil inmunológico sin hallazgos y se remite a Respiratorio Infantil, donde se realiza tomografía axial computarizada (TAC): hallazgos sugestivos de proceso infeccioso broncoalveolar; atelectasia paracardiaca en língula (Figura 4).

Figura 4. Hallazgos sugestivos de proceso infeccioso broncoalveolar; atelectasia paracardiaca en língula
Figura 4. Hallazgos sugestivos de proceso infeccioso broncoalveolar; atelectasia paracardiaca en língula
Figura 4. Hallazgos sugestivos de proceso infeccioso broncoalveolar; atelectasia paracardiaca en língula

Se completa estudio con fibrobroncoscopia: destaca que el bronquio de la língula se encuentra estenosado y con un colapso dinámico que llega a ocluir el mismo. La carina de separación con el bronquio del LSI se encuentra ensanchada. Se recoge lavado broncoalveolar: Haemophilus influenzae.

Ante estos hallazgos se decide tratamiento con sulfametoxazol/trimetropin: 40 mg/8/Kg/día durante 2 semanas y rehabilitación respiratoria.

CONCLUSIÓN

El SLM es más frecuente en adultos que en niños, con una edad media de diagnóstico en la infancia de 6 años. Para el diagnóstico se debe realizar una Rx posteroanterior de tórax. La TC se considera en casos en que se sospeche una complicación subyacente, como bronquiectasias.

El SLM puede ser una patología más frecuente de lo que generalmente se piensa, ya que muchas veces no es diagnosticado o se retrasa su diagnóstico por la falta de seguimiento de las infecciones pulmonares repetidas. Por eso, se debe hacer el diagnóstico lo más precozmente posible para iniciar el tratamiento adecuado, sobre todo de tipo médico y fisioterápico, y así, evitar las complicaciones.

CONFLICTO DE INTERESES

Los autores declaran no presentar conflictos de intereses en relación con la preparación y publicación de este artículo.

RESPONSABILIDAD DE LOS AUTORES

Los autores han remitido un formulario de consentimiento de los padres/tutores para publicar información de su hijo/a.

ABREVIATURAS

Rx: radiografía · SLM: síndrome del lóbulo medio · TAC: tomografía axial computarizada.