Vol. 26 - Num. 33

Casos clínicos. Neumología

¿Será una neumonía mal curada?

Andrea Rodríguez Lozanoa, M.ª Teresa Rodríguez Fernándeza, Jennifer Valeria Apolo Campoverdea, Carmen M.ª Moreno Romeroa, Elisa Martínez Lópezb, M.ª del Carmen Patón García-Donasc

aMIR-Pediatría. Hospital Universitario de Toledo. Toledo. España
bServicio de Pediatría. Hospital 12 de Octubre. Madrid. España.
cPediatra. CS Buenavista. Toledo. España.

Cómo citar este artículo: Rodríguez Lozano A, Rodríguez Fernández MT, Apolo Campoverde JV, Moreno Romero CM, Martínez López E, Patón García-Donas MC. ¿Será una neumonía mal curada? . Rev Pediatr Aten Primaria. Supl. 2024;(33):e176-e177.

Publicado en Internet: 10-06-2024 - Número de visitas: 4585

INTRODUCCIÓN

La bronquiolitis obliterante es consecuencia de una agresión grave a la vía aérea inferior que ocasiona una obstrucción parcial o completa de la luz de los bronquiolos por un tejido inflamatorio y fibroso. La forma más común en Pediatría es la posinfecciosa (BOPI), siendo a su vez el adenovirus el microorganismo más frecuentemente involucrado.

RESUMEN DEL CASO

Niño de 2 años sano sin antecedentes de interés ni cuadros de neumonías o bronquiolitis previos, que presenta un ingreso de 7 días por neumonía bilateral con derrame pleural leve, elevación marcada de reactantes de fase aguda, broncoespasmo e hipoxemia asociada. Durante la hospitalización recibió oxigenoterapia en gafas nasales máximo a 2 litros por minuto, antibioterapia con clindamicina, cefotaxima y corticoterapia junto con broncodilatadores. Los aislamientos microbiológicos fueron negativos para virus y bacterias.

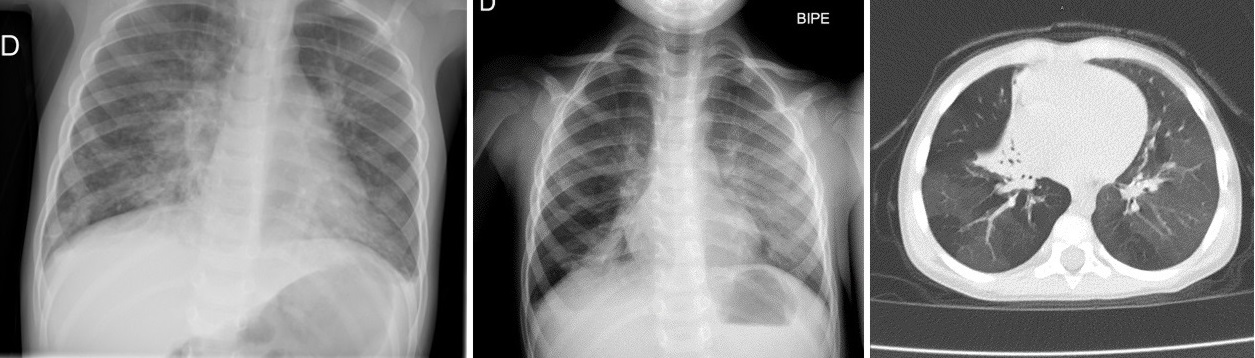
A los 17 días del alta, acude a su pediatra de Atención Primaria por fiebre y tos, con auscultación de roncus y crepitantes bibasales, de predominio derecho. Se realiza radiografía de tórax (RxT), objetivándose pequeñas consolidaciones alveolares en lóbulo medio y base derecha; se inicia tratamiento con amoxicilina 80 mg/kg/día 7 días en contexto de bronconeumonía. Tras dos semanas del tratamiento, su pediatra no evidencia cambios, por lo que pauta budesonida inhalada y deriva a Neumología Pediátrica.

En la primera valoración, se completa estudio con Ionotest, inmunoglobulinas, alfa-1-antitripsina e inmunofenotipo, que resultan normales.

Se repite RxT, donde persiste atelectasia de lóbulo medio e hiperclaridad de lóbulo inferior derecho sugerente de atrapamiento aéreo, así como opacidad en vidrio deslustrado del parénquima pulmonar izquierdo, junto con varios episodios de sibilantes y crepitantes basales que no mejoran con corticoides sistémicos durante 1 mes.

Es en ese momento, ante alta sospecha de BOPI, cuando se decide realizar tomografía computarizada (TC) torácica que muestra patrón en mosaico bilateral, de predominio basal, atelectasia del lóbulo medio y atelectasias cilíndricas y subsegmentarias compatibles con bronquiolitis obliterante.

Radiografías de tórax y tomografía computarizada
 

CONCLUSIONES

  • Ante evolución tórpida en niño sano, con historia de infección respiratoria aguda grave y obstrucción persistente de vía aérea sin respuesta a tratamiento, debemos sospechar BOPI.
  • El diagnóstico de BOPI se realiza con presentación clínica con infección respiratoria grave y exploración física compatible, una obstrucción persistente no reversible, imagen en TC torácica compatible y exclusión de otras causas.
  • Actualmente están en desarrollo e investigación los factores de predisposición individual que hagan prever qué pacientes son más proclives a su desarrollo.
  • Una vez establecido el diagnóstico es imprescindible evitar la agresión pulmonar y prevenir infecciones respiratorias.

CONFLICTO DE INTERESES

Los autores declaran no presentar conflictos de intereses en relación con la preparación y publicación de este artículo.

RESPONSABILIDAD DE LOS AUTORES

Los autores han remitido un formulario de consentimiento de los padres/tutores para publicar información de su hijo/a.

ABREVIATURAS

BOPI: bronquiolitis obliterante posinfecciosa · RxT: radiografía de tórax · TC: tomografía computarizada