Vol. 26 - Num. 103

Notas clínicas

Anemia hemolítica en la infancia secundaria a neumonía por Mycoplasma pneumoniae

M.ª Mercedes Santos Herreroa

aMédico de Familia y médico puericultor. CS Los Pintores. Parla. Madrid. España.

Correspondencia: MM Santos. Correo electrónico: mariamercedes.santos@salud.madrid.org

Cómo citar este artículo: Santos Herrero MM. Anemia hemolítica en la infancia secundaria a neumonía por Mycoplasma pneumoniae . Rev Pediatr Aten Primaria. 2024;26:291-5. https://doi.org/10.60147/b8a0cabd

Publicado en Internet: 27-09-2024 - Número de visitas: 10126

Resumen

La anemia hemolítica autoinmune es rara en la infancia con una incidencia aproximada de 0,8-1,25 casos por 100 000 niños y es la causa más frecuente de anemia hemolítica extracorpuscular teniendo una mayor incidencia entre los 3-4 años de edad.

La mayor parte de ellas son idiopáticas, aunque también pueden ser secundarias a enfermedades autoinmunes, síndromes linfoproliferativos, tumores o infecciones (destacando las infecciones por Mycoplasma y virus de Epstein-Barr).

Suelen presentarse como un cuadro autolimitado asociado a una infección viral. Los menores de 2 años y los adolescentes pueden presentar formas crónicas asociadas o no a enfermedades sistémicas, sobre todo inmunodeficiencias o trastornos autoinmunes.

Se expone el caso de un paciente, varón, de 11 años de edad, diagnosticado de neumonía con serologías positivas para Mycoplasma pneumoniae y citomegalovirus, que desarrolló una anemia hemolítica autoinmune con autoanticuerpos fríos, llegando a precisar transfusión sanguínea.

Palabras clave

Anemia hemolítica autoinmune Infancia Neumonía por Mycoplasma

INTRODUCCIÓN

En las anemias hemolíticas se producen una serie de alteraciones que disminuyen la capacidad de deformación del hematíe, lo que dará lugar al acortamiento de su vida media.

La hemólisis puede ser crónica, de predominio extravascular, o aguda, de predominio intravascular. Si la hemólisis es extravascular, la clínica puede ser asintomática en formas leves o cursar con palidez crónica, ictericia moderada, esplenomegalia crónica, sobrecarga férrica, litiasis biliar, crisis aplásicas y coluria leve. En el caso de la hemólisis intravascular, puede aparecer palidez aguda, taquicardia, hipotensión, subictericia y orina oscura cuando se supera la capacidad de absorción de la hemoglobina libre circulante en las células tubulares renales.

Según su base fisiopatológica, las anemias hemolíticas se pueden clasificar en anemias hemolíticas intrínsecas o corpusculares y extrínsecas o extracorpusculares.

El diagnóstico incluirá: hemograma, recuento reticulocitario, examen morfológico de la sangre en un frotis y test de Coombs para diagnosticar las formas autoinmunes.

El tratamiento va a depender del tipo de anemia hemolítica que se trate; las formas idiopáticas suelen responder bien a corticoterapia. Las transfusiones se reservan para los casos en los que haya asociada inestabilidad hemodinámica. Si hay recaídas frecuentes o en las formas crónicas, puede ser necesario administrar inmunomoduladores o realizar una esplenectomía.

CASO CLÍNICO

Paciente varón de 11 años de edad que consulta en Pediatría de Atención Primaria por un cuadro de febrícula, cefalea y dolor abdominal de menos de un día de evolución. A la exploración física destaca enantema en paladar. Se le realiza un test rápido para la detección de estreptococo del grupo A con resultado negativo y se aconseja observación.

A las 72 horas, consulta por malestar general con dolores musculares generalizados, tos escasamente productiva, dolor abdominal sin vómitos ni alteración en las deposiciones y fiebre máxima de 39,8 °C. No hay ambiente epidémico familiar. La exploración por aparatos es anodina. Se realiza test rápido de gripe A, gripe B y COVID-19 con resultados negativos.

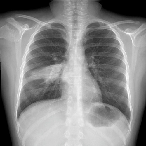
A las 48 horas acuden a urgencias hospitalarias por tos de predominio nocturno que le impide conciliar el sueño. En urgencias hospitalarias la auscultación cardiopulmonar (ACP) es anodina. Se le realiza analítica sanguínea, en la que destacan leucocitos totales 11,28 x 109/l y hemoglobina (Hb): 13,9 g/dl. En la radiografía de tórax (Rx tórax) se evidencia una neumonía en el lóbulo medio derecho, por lo que se inicia tratamiento con amoxicilina oral (Figura 1).

Figura 1. Radiografía del tórax con infiltrado en lóbulo medio derecho sin derrame asociado
Figura 1. Radiografía del tórax con infiltrado en lóbulo medio derecho sin derrame asociado
 

Tras 48 horas desde la valoración en urgencias hospitalarias y tras ver el informe de atención hospitalaria, se contacta telefónicamente con el paciente, que refiere persistencia de tos y febrícula. Se aconseja acudir de nuevo a urgencias hospitalarias si persisten dichos síntomas.

Tras 72 horas del inicio del tratamiento antibiótico, acude de nuevo a urgencias hospitalarias por febrícula, decaimiento del estado general, cansancio, aumento de tos productiva y erupción cutánea con lesiones habonosas y pruriginosas en manos y pies. En la exploración física presenta palidez cutánea con cutis reticular. La exploración neurológica, la ACP y el resto de exploración física son normales.

Debido al estado general del paciente y a la marcada palidez cutánea, se solicita analítica sanguínea con resultado de 29,0 leucocitos x 109/l totales y dos poblaciones linfocitarias, Hb 8 g/dl, bilirrubina total 4,1 mg/dl, bilirrubina conjugada 0,5 mg/dl, LDH 1999 U/l, GPT (ALT) 50 U/l, GOT (AST) 78 U/l), PCR 118 mg/l. En el frotis de sangre periférica se objetivan crioaglutininas. Se completa el estudio con serología a Mycoplasma pneumoniae y virus de Epstein-Barr y test de Coombs. El estudio de orina está dentro de la normalidad.

Se realiza una nueva Rx de tórax que impresiona de discreta mejoría con respecto a la radiografía previa.

Ante la sospecha de anemia hemolítica autoinmune por anticuerpos fríos, se consulta con el hematólogo de guardia, que descarta tratamiento con rituximab. Pasa a ingreso hospitalario y se inicia tratamiento con ampicilina intravenosa (iv) y azitromicina oral.

A las 14 horas tras el ingreso, el paciente presenta regular estado general con taquicardia, normotensión, marcada palidez cutánea y leve ictericia facial y conjuntival. En la analítica la Hb es de 6 g/dl.

Debido al inicio de repercusión hemodinámica, pasa a la UCI pediátrica, donde permanece 24 horas.

Resultados analíticos en el momento del ingreso en UCI pediátrica: Hb: 5,1 g/dl. VCM: 148 fl. Leucocitosis 30,0 x 109/l totales con neutrofília. Plaquetas 671 000. Morfología de sangre periférica con aglutinación severa de hematíes. Dada la interferencia con la hemólisis, no se puede valorar el resultado de GOT (AST), lactato deshidrogenasa (LDH), hierro, bilirrubina directa y potasio.

Test de Coombs directo positivo. Grupo sanguíneo 0 Rh positivo. Frotis en sangre periférica con aglutinación de hematíes en contexto de reacción leucoeritroblástica con intensa mielemia y bajo componente relativo de eritroblastos.

Serologías:

  • VIH negativo.
  • VEB Ig G anti EBNA: positivo, compatible con infección no reciente.
  • Mycoplasma Pneumoniae IgM: positivo.
  • Mycoplasma Pneumoniae IgG: positivo.
  • Citomegalovirus IgM: positivo.
  • Citomegalovirus IgG: Negativo.
  • Varicela Zoster IgM: positivo (hallazgo compatible con la erupción cutánea, habonosa y pruriginosa en las manos y los pies que presentó durante la evolución de la clínica).
  • Varicela Zoster IgG: positivo.
  • Crioaglutininas detectadas activas a temperatura fría (predominante), ambiente y caliente con capacidad de producir hemólisis intravascular por la vía C3d del complemento. Especificidad de la crioaglutinina: ANTI –I.

Dado el estado general del paciente y la Hb objetivada, se transfunde concentrado de hematíes con calentador. Se mantiene antibioterapia y oxigenoterapia con gafas nasales.

Tras comprobar la estabilización hemodinámica, el paciente pasó a hospitalización en planta, donde estuvo 4 días en los que se completó el tratamiento antibiótico y se objetivó mejoría clínica en su estado general.

Al alta: Hb 8,1 g/dl. Se le pautó tratamiento con ácido fólico durante 10 días y reposo domiciliario por persistencia de anemia. Se le citó para control en consultas de Hematología.

Un mes tras el episodio, el paciente presenta Hb de 12,8 g/dl.

Tres meses más tarde, se completó estudio de autoanticuerpos/inmunopatología, que resultó negativo.

DISCUSIÓN

En las anemias hemolíticas se producen una serie de alteraciones que disminuyen la capacidad de deformación del hematíe, lo que dará lugar al acortamiento de su vida media.

La hemólisis se puede producir a nivel extravascular o intravascular, lo que variará en la presentación clínica.

Según su base fisiopatológica, se pueden clasificar en1:

  • Anemias hemolíticas intrínsecas o corpusculares, que son congénitas y se producen por defectos propios del hematíe. Pueden ser por alteraciones de la membrana eritrocitaria, eritroenzimopatías, hemoglobinopatías y anemias diseritropoyéticas congénitas.
  • Anemias hemolíticas extrínsecas o extracorpusculares, que son adquiridas debido a agresiones por parte de un entorno hostil, producido por alteraciones del plasma o del sistema vascular ajenos al hematíe. Pueden ser inmunes, mecánicas (anemias hemolíticas microangiopáticas), infecciosas, tóxicas o producidas por agentes físicos.

Las anemias hemolíticas autoinmunes por autoanticuerpos se producen cuando existen anticuerpos dirigidos contra un componente de la membrana eritrocitaria con o sin participación del complemento o cuando ciertos fármacos interaccionan con la membrana del hematíe y facilitan su fagocitosis por los macrófagos del bazo, el hígado y la médula ósea.

Los anticuerpos de naturaleza Ig G preferentemente actúan a una temperatura mayor o igual a 37 °C, mientras que los de naturaleza IgM son más activos a temperaturas frías1,2.

Clínica

La anemia hemolítica autoinmune se puede presentar tras una infección viral con palidez cutánea, cansancio, ictericia y coluria.

Diagnóstico

Las pruebas de laboratorio que confirman la hemólisis son: reticulocitosis (la médula ósea intenta compensar la destrucción de los hematíes aumentando la producción eritoide), aumento de LDH, aumento de la bilirrubina no conjugada o indirecta (por aumento del catabolismo del hemo) y disminución de los niveles de haptoglobina (debido a la unión de esta a la hemoglobina libre en sangre y su destrucción hepática)3. Un frotis de sangre periférica permitirá identificar morfologías anormales.

Por lo tanto, de forma general, las pruebas de laboratorio deben incluir:

  • Hemograma.
  • Recuento reticulocitario.
  • Examen morfológico de la sangre en un frotis.
  • Test de Coombs (en caso de sospecha de anemia hemolítica autoinmune)4.

En el caso de las anemias hemolíticas autoinmunes por autoanticuerpos, el diagnóstico se basa en la demostración de antiglobulina por el test de Coombs directo positivo para IgG o IgM y complemento, aunque, de forma excepcional, existen casos de anemia hemolítica autoinmune con test de Coombs directo negativo1.

Las anemias hemolíticas por anticuerpos fríos causados por IgM más frecuentes en Pediatría son las secundarias a infecciones por Mycoplasma y Epstein-Barr, fundamentalmente. Suelen cursar con un síndrome hemolítico agudo poco sensible a los corticoides, pero que suele ser autolimitado y prevenible, evitando la exposición al frío3,4.

Tratamiento

La mayoría de las formas idiopáticas, responden al tratamiento con corticoterapia (1-2 mg/Kg/día hasta alcanzar niveles de Hb >10 g/dl). En general, son de buen pronóstico con tasas de respuesta del 70-85%. Un 50% puede recaer y ser corticodependiente.

La transfusión se debe realizar en casos graves que cursen con inestabilidad hemodinámica.

Las recaídas frecuentes y las crónicas se suelen asociar a formas secundarias donde el pronóstico depende de la enfermedad primaria. En esos casos, se pueden plantear tratamientos como la esplenectomía, el rituximab u otros inmonomoduladores o inmunosupresores1.

CONCLUSIÓN

El pediatra de Atención Primaria debe sospechar el cuadro teniendo en cuenta los antecedentes familiares, personales y la evolución clínica que presente el paciente.

Tras sufrir una anemia hemolítica por autoanticuerpos fríos, se debe evitar la exposición al frio, sobre todo de las partes acras, y recomendar acudir de nuevo a urgencias hospitalarias en caso de presentar orinas oscuras, ictericia, palidez o cansancio marcado.

En caso de pacientes esplenectomizados o con drepanocitosis, se deben tener en cuenta las vacunas recomendadas en estos grupos de riesgo.

En el caso de anemia hemolítica crónica, se debe administrar ácido fólico.

CONFLICTO DE INTERESES

La autora declara no presentar conflictos de intereses en relación con la preparación y publicación de este artículo.

RESPONSABILIDAD DE LOS AUTORES

La autora ha remitido un formulario de consentimiento de los padres/tutores para publicar información de su hijo/a.

ABREVIATURAS

ACP: auscultación cardiopulmonar · Hb: hemoglobina · iv: intravenosa · Rx: radiografía.

BIBLIOGRAFÍA

  1. Zubicaray Salegui J, Sevilla Navarro J. Anemias hemolíticas: clasificación, membranopatías. Enzimopatías. Anemia hemolítica autoinmune. Pediatría Integral. 2021;XXV (5):233-40.
  2. Vagace JM, Bajo R, Gervasini G. Diagnostic and therapeutic challenges of primary autoimmune haemolytic anaemia in children. Arch Dis Child. 2014;99(7):668-73. https://doi.org/10.1136/archdischild-2013-305748
  3. Gonzalez García H, Garrote Molpeceres R, Urbaneja Rodríguez E. Anemias hemolíticas en la infancia. Pediatría Integral. 2016;XX(5):308-17.
  4. Rodríguez Castaño MJ, Rodríguez Ogando A, González Martínez F, Saavedra Lozano J, Beléndez Bieler C, Galarón García P. Anemia hemolítica autoinmunitaria por crioaglutininas secundaria a neumonía neumocócica [Cold agglutinin induced autoimmune haemolytic anaemia secondary to pneumococcic pneumonia]. An Pediatr (Barc). 2010;72(6):440-2. https://doi.org/10.1016/j.anpedi.2010.02.006