Vol. 26 - Num. 104
Casos clínicos en Digestivo
Rut Fernández Martína, Andoni Azcona Peredab, Iván Carabaño Aguadoa, Cecilia Moreno Zegarrac
aSección de Gastroenterología, Hepatología y Nutrición Infantil. Servicio de Pediatría. Hospital Universitario 12 de Octubre. Madrid. España.
bSección de Radiodiagnóstico Infantil. Servicio de Radiodiagnóstico. Hospital Universitario 12 de Octubre. Madrid. España.
cSección de Cirugía General Infantil. Hospital Universitario 12 de Octubre. Madrid. España.
Correspondencia: R Fernández. Correo electrónico: rut.fernandez98@gmail.com
Cómo citar este artículo: Fernández Martín R, Azcona Pereda A, Carabaño Aguado I, Moreno Zegarra C. ¿Otra vez apendicitis? . Rev Pediatr Aten Primaria. 2024;26:423-6. https://doi.org/10.60147/a8e70c92
Publicado en Internet: 13-11-2024 - Número de visitas: 8280
Resumen
La apendicitis del muñón es una entidad rara, caracterizada por un proceso inflamatorio del remanente apendicular después de una apendicectomía incompleta. Los síntomas de presentación de esta patología son indistinguibles de los de la apendicitis primaria. Resulta de vital importancia incluirla en el diagnóstico diferencial del paciente con dolor abdominal inferior derecho y antecedente de apendicectomía previa para evitar la morbimortalidad asociada. La ecografía y la tomografía computarizada son las pruebas de imagen de elección, presentado esta última una mayor sensibilidad y especificidad. El tratamiento de elección es la apendicectomía completa, por cirugía abierta o por vía laparoscópica.
Palabras clave
● Apendicectomía ● Apendicitis ● Muñón apendicularLa apendicitis del muñón es un proceso inflamatorio-infeccioso del tejido apendicular remanente tras la apendicectomía después de un intervalo de tiempo muy variable, estando descrita desde los 4 días hasta los 40 años después de la misma. Se trata de una entidad con muy pocos casos reportados en la literatura médica, pero que debe estar presente en el diagnóstico diferencial de niños con dolor abdominal agudo y antecedentes de apendicectomía, para evitar retrasos en el diagnóstico y la progresión de la enfermedad hacia cuadros más graves de elevada morbimortalidad1.
Niña de 12 años con antecedentes personales de apendicectomía hace 8 meses. Presenta, en las últimas 24 horas, un cuadro de dolor abdominal continuo, de predominio en hipogastrio, de mayor intensidad en las últimas dos horas, asociando dos episodios de vómitos, sensación de mareo y palidez cutánea, sin fiebre. La última deposición, en el día previo. No hay clínica miccional. Ausencia de menarquia.
A la exploración física presenta un abdomen no distendido, doloroso de forma generalizada, pero de forma más selectiva en fosa ilíaca derecha, con signos de irritación peritoneal, sin masas ni megalias. Se extrae un análisis de sangre en el que se objetiva una leve elevación de la proteína C reactiva (1,46 mg/dl), sin otros hallazgos significativos. Se solicita una ecografía abdominal, en la que se identifica una estructura tubular fija de aproximadamente 10 mm con estructura en capas sin visualizar claramente su dependencia. Se observa pequeña cantidad de líquido ecogénico libre adyacente a la misma y engrosamiento mural de asas intestinales adyacentes de aspecto reactivo inflamatorio, con algún ganglio aumentado de tamaño y aumento de la ecogenicidad de la grasa ileocecal. Se trata de hallazgos compatibles con apendicitis del muñón apendicular.
La paciente ingresa a cargo de Cirugía Pediátrica. En la planta se solicita nuevamente una ecografía de abdomen, en que la que observan pequeñas discontinuidades focales en la submucosa del muñón apendicular, una colección ecogénica con diámetros máximos de 2,8 x 2,1 cm adyacente a la punta del mismo y afectación por contigüidad de asas del intestino delgado y sigma, hallazgos que confirman el diagnóstico de apendicitis del muñón apendicular (Figuras 1 y 2).
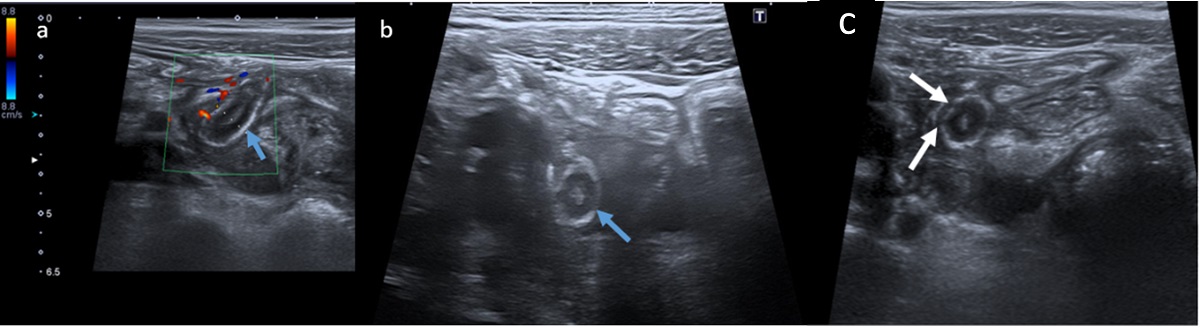
| Hallazgos ecográficos compatibles con apendicitis del muñón complicada: (a y b) estructura tubular con ecoestructura en capas compatible con muñón apendicular en planos axial y longitudinal (flechas azules). Presenta aumento de calibre (10 mm), engrosamiento de la capa submucosa (hiperecogénica), e hiperemia parietal vista en (a) como aumento de la señal Doppler; (c) discontinuidades en la capa submucosa compatibles con microperforaciones (flechas blancas) |
|---|
![]() |

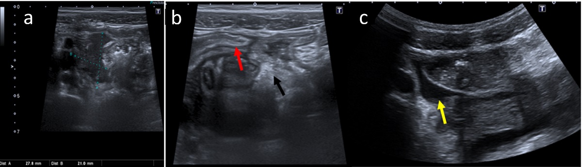
| Figura 2. Hallazgos ecográficos compatibles con apendicitis del muñón complicada: (a) colección adyacente al muñón apendicular de ecogenicidad heterogénea; (b) cambios inflamatorios locorregionales visualizados como un aumento de la ecogenicidad de la grasa periapendicular (flecha negra) y engrosamiento parietal del íleon terminal (flecha roja); (c) pequeña cantidad de líquido libre anecoico entre asas (flecha amarilla). |
|---|
![]() |

Ese mismo día, la paciente es intervenida por laparoscopia, enviando la pieza de resección intestinal a Anatomía Patológica, con un tamaño de 1,3 cm, demostrando histopatológicamente apendicitis aguda gangrenosa.
Rose fue el primero en describir la apendicitis del muñón apendicular en el año 19452. Se trata de una complicación que ocurre en 1/50 000 casos3; sin embargo, varios autores opinan que se trata de una patología subestimada en la literatura debido al rechazo a comunicar las complicaciones quirúrgicas, por lo que su verdadera incidencia es incierta4. Además, como es una condición infradiagnosticada que a menudo no se reconoce a tiempo, generalmente deriva en formas complicadas de apendicitis; de hecho, en el momento de la apendicectomía del muñón la mayoría de las apendicitis suelen estar perforadas5.
La apendicitis del muñón se produce por la inflamación del tejido apendicular que ha quedado al realizar una apendicectomía tras una escasa identificación de la base apendicular o de la unión ceco-apendicular. En una revisión sistemática publicada en el año 2023, se describe una edad media en el momento de la apendicectomía del muñón de 13 años, con una mediana de tiempo entre la apendicectomía primaria y la apendicectomía del muñón de 7,5 meses5. El riesgo es mayor siempre que el muñón restante sea de más de 5 mm de longitud; no obstante, hay casos descritos con remanentes de 3 mm2. Algunos factores que pueden contribuir a ello son: una extensa inflamación de la zona, una inadecuada exposición del campo quirúrgico o la inexperiencia del cirujano. Sin embargo, en la literatura no se ha demostrado que la apendicitis del muñón aparezca más en las apendicitis complicadas1. En relación con la vía, abierta o laparoscópica, existe la creencia de que la apendicitis del muñón es un fenómeno que ocurre principalmente en apendicectomías realizadas por laparoscopia, lo que podría explicarse por la falta de una perspectiva tridimensional y la ausencia de sensación táctil para identificar correctamente la base del apéndice2. No obstante, esta teoría tampoco se ha demostrado. Según una revisión sistemática de Manatakis et al. no se observaron diferencias estadísticamente significativas en la longitud del remanente apendicular entre los abordajes abierto y laparoscópico (p = 0,17), lo que apoya el hecho de que el abordaje laparoscópico durante la apendicectomía primaria no debería ser un factor de riesgo5.
Los síntomas de presentación de esta rara entidad son indistinguibles de los de la apendicitis primaria, incluyendo el dolor, que comienza a nivel periumbilical y que posteriormente se desplaza hacia la fosa ilíaca derecha, acompañado de anorexia, náuseas y vómitos. Pero, además, debe sospecharse en determinadas circunstancias: cicatriz supurada crónica que no cura o aparición de una fístula cutánea infectada, dolor recurrente en la fosa ilíaca derecha de causa desconocida, plastrón inflamatorio o peritonitis en la fosa ilíaca derecha después de una apendicectomía1.
Es importante realizar un diagnóstico precoz para evitar la morbilidad asociada (especialmente, absceso intraabdominal, gangrena del remanente o perforación intestinal), así como consultas o exploraciones complementarias innecesarias1. La mejor prueba para llegar al diagnóstico es la tomografía computarizada (TC), que puede objetivar un engrosamiento o cambios inflamatorios de la pared cecal en el origen apendicular, desdibujado de la grasa adyacente, un plastrón inflamatorio, absceso encapsulado o incluso, en algunos casos, puede visualizarse el apendicolito1. La ecografía es otro de los métodos de elección empleado para descartar esta entidad; permite detectar el aumento de tamaño del muñón apendicular, líquido libre en la fosa ilíaca derecha y edema del ciego, pero presenta menor sensibilidad que la TC6. Igualmente, ha mostrado una alta precisión en el diagnóstico de apendicitis del muñón, por lo que debería usarse antes que la TC en niños. La TC, debido a su mayor especificidad, debería reservarse para excluir otras etiologías de dolor en cuadrante inferior derecho, si el radiólogo así lo indica5.
Aunque se han registrado casos de tratamiento conservador exitoso con antibióticos, la apendicectomía completa sigue siendo el gold standard en el tratamiento de la apendicitis del muñón, ya sea por cirugía abierta o laparoscópica5. Esta se ha realizado como un procedimiento abierto en la mayoría de los casos informados en la bibliografía2.
Debe considerarse la apendicitis del muñón en el diagnóstico diferencial del dolor abdominal inferior derecho en aquellos pacientes con apendicectomía previa, con el objetivo de prevenir complicaciones potencialmente graves.
Los autores declaran no presentar conflictos de intereses en relación con la preparación y publicación de este artículo.
Todos los autores han contribuido de forma equivalente en la elaboración del manuscrito publicado.
TC: tomografía computarizada.