Vol. 27 - Num. 34

Casos clínicos. Miscelánea

Lactante con macrocefalia, ¿le hago una ecografía?

María Sánchez Porrasa

aCS Tres Cantos. Tres Cantos. Madrid. España.

Cómo citar este artículo: Sánchez Porras M. Lactante con macrocefalia, ¿le hago una ecografía? . Rev Pediatr Aten Primaria. Supl. 2025;(34):e208-e209.

Publicado en Internet: 26-05-2025 - Número de visitas: 1198

INTRODUCCIÓN

El incremento del perímetro cefálico es un motivo frecuente de consulta en las consultas de Atención Primaria. La ecografía en el punto de atención al paciente (POCUS) es una técnica no invasiva, a pie de cama, no emplea radiaciones ionizantes, mediante un equipo portátil, por lo que nos puede ayudar en el estudio etiológico de las causas de la macrocefalia.

El ensanchamiento benigno de los espacios subaracnoideos en la infancia (EBES) constituye la causa más frecuente de macrocefalia en la infancia. Es un cuadro autolimitado con resolución sobre los 2 años de vida.

RESUMEN DEL CASO

Lactante de 8 meses de edad en el que, durante una de las revisiones de niño sano, se objetiva un aumento del perímetro cefálico. Presenta un adecuado crecimiento ponderoestatural y sin alteraciones en el desarrollo psicomotor. El resto de la exploración física es normal. No presenta sintomatología asociada.

Tras realizar la ecografía a pie de cama, realizamos el diagnóstico de EBES de la infancia.

CONCLUSIONES

El EBES es un incremento del espacio subaracnoideo que se localiza de forma preferente en la región frontal bilateral. Se han desarrollado varias teorías sobre su origen, siendo la más aceptada la inmadurez de los sistemas de reabsorción del líquido cefalorraquídeo (granulaciones aracnoideas del seno sagital, fundamentalmente).

Es más frecuentes en los varones, con pico de presentación sobre los 7 meses. Los pacientes son referidos por incremento del perímetro craneal con un desarrollo psicomotor normal, sin asociar signos de hipertensión intracraneal.

El estudio de neuroimagen es necesario para establecer el diagnóstico, siendo la ecografía transfontanelar la prueba de imagen de elección en el estudio de la macrocefalia en niños con la fontanela anterior permeable. Si los hallazgos ecográficos coinciden con los hallazgos clínicos, es suficiente para el diagnóstico y no son necesarias más modalidades de neuroimagen.

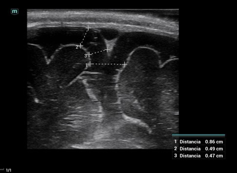
Se debe realizar la ecografía con una sonda lineal de alta frecuencia a través de la fontanela anterior. Se debe medir la amplitud del espacio subaracnoideo en el plano coronal, a la altura del agujero de Monro. Las medidas más utilizadas son la amplitud interhemisférica (1), la distancia entre la tabla interna y la corteza cerebral (2) y entre el seno venoso y la cortical (3) (Figura 1). No existe un claro consenso sobre el rango normal de valores. Sus amplitudes varían con la edad, pero por encima de 10 mm son siempre patológicas.

Figura 1. Ecografía
Figura 1. Ecografía
 

CONFLICTO DE INTERESES

Los autores declaran no presentar conflictos de intereses en relación con la preparación y publicación de este artículo.

RESPONSABILIDAD DE LOS AUTORES

Los autores han remitido un formulario de consentimiento de los padres/tutores para publicar información de su hijo/a.

ABREVIATURAS

EBES: espacios subaracnoideos en la infancia · POCUS: ecografía en el punto de atención al paciente (del inglés Point Of Care Ultrasound).