Vol. 27 - Num. 34

Casos clínicos. Neumología

Sibilante feliz: no todo es bronquiolitis

María Sánchez Porrasa

aCS Tres Cantos. Tres Cantos. Madrid. España.

Cómo citar este artículo: Sánchez Porras M. Sibilante feliz: no todo es bronquiolitis . Rev Pediatr Aten Primaria. Supl. 2025;(34):e216-e217.

Publicado en Internet: 26-05-2025 - Número de visitas: 1871

INTRODUCCIÓN

La hiperplasia de células neuroendocrinas (HNE), patología pulmonar propia de menores de 2 años, debe ser sospechada en un lactante con: taquipnea, crepitantes persistentes, radiografía con hiperinsuflación y tomografía que muestra imágenes en mosaico tipo vidrio esmerilado.

RESUMEN DEL CASO

Lactante de 4 meses de edad en el que, durante la revisión del niño sano, se objetiva discreta polipnea y leve tiraje subcostal, así como subcrepitantes bilaterales manteniendo Sat O2 normal.

No presenta tos, mucosidad nasal ni fiebre. Realiza bien las tomas y no se fatiga.

En controles clínicos seriados no hay cambio de la auscultación ni de la clínica del niño. Se realiza ecografía torácica, radiografía de tórax, sin objetivarse patología pulmonar ni cardiomegalia.

A los 6 meses sigue con la misma clínica, pero presenta estancamiento ponderoestatural y leve retraso psicomotor. Durante estos dos meses ha precisado dos ingresos hospitalarios. Valorado por Neumología, se diagnostica de bronquiolitis secundaria a rinovirus y VRS.

Se deriva a de nuevo a Neumología, donde se realiza TAC pulmonar, con el diagnóstico de HNE (Figuras 1 y 2).

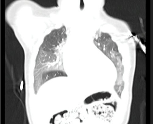
Figura 1. TAC con hallazgos de HNE en ambos pulmones
Figura 1. TAC con hallazgos de HNE en ambos pulmones.
 
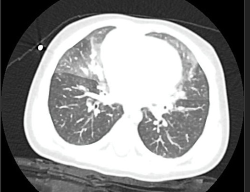
Figura 2. Opacidades en vidrio esmerilado en TAC pulmonar
Figura 2. Opacidades en vidrio esmerilado en TAC pulmonar
 

Se inicia oxigenoterapia nocturna con mejoría de la ganancia ponderoestatural (Figura 3), disminución del trabajo respiratorio. Se mantienen los subcrepitantes en la auscultación pulmonar.

Figura 3. Evolución ponderoestatural
Figura 3. Evolución ponderoestatural.
 

CONCLUSIONES

Las patologías intersticiales difusas pulmonares son un grupo de enfermedades raras que pueden inicialmente confundirse con otros cuadros respiratorios de mayor prevalencia, al ser su presentación inespecífica, siendo un reto para los pediatras.  Las células neuroendocrinas (derivadas del endodermo) se acumulan en el intersticio pulmonar de los lactantes con diagnóstico de HNE y secretan en el árbol bronquial histamina y el péptido liberador de gastrina, bombesina. La HNE suele acompañarse de hipoxemia crónica, retracciones intercostales, subcostales y subcrepitantes. No presenta tos ni estornudos. La radiografía de tórax puede ser normal o con signos de hiperinsuflación. El mejor método de imagen no invasivo es la TAC, cuyos hallazgos ─opacidades en vidrio esmerilado, en el lóbulo medio y la língula, así como los segmentos mediales del lóbulo superior e inferior─ son suficientes para realizar el diagnóstico. Se han descrito presentaciones atípicas de HNE, donde la TAC no es suficiente y se llega a una biopsia pulmonar. No existe un tratamiento específico y la pobre respuesta a los corticoides confirma el diagnóstico. El manejo consiste en dar soporte y cuidado preventivo: oxigenoterapia, soporte nutricional y tratamiento del reflujo gastroesofágico. No existen reportes de muertes, la evolución es crónica, pero con tendencia a la curación espontánea en meses o años.

CONFLICTO DE INTERESES

Los autores declaran no presentar conflictos de intereses en relación con la preparación y publicación de este artículo.

RESPONSABILIDAD DE LOS AUTORES

Los autores han remitido un formulario de consentimiento de los padres/tutores para publicar información de su hijo/a.

ABREVIATURAS

HNE: hiperplasia de células neuroendocrinas.