Vol. 27 - Num. 106
Casos clínicos en Digestivo
Sara Peñalva Fernándeza, Eva Gómez Carrióna, Iván Carabaño Aguadoa, M.ª Enery Gómez Montesb, Miguel Rasero Ponferradac
aSección de Gastroenterología, Hepatología y Nutrición Infantil. Servicio de Pediatría. Hospital Universitario 12 de Octubre. Madrid. España.
bUnidad de Medicina Fetal. Servicio de Ginecología y Obstetricia. Hospital Universitario 12 de Octubre. Madrid. España.
cSección de Radiología Infantil. Hospital Universitario 12 de Octubre. Madrid. España.
Cómo citar este artículo: Peñalva Fernández S, Gómez Carrión E, Carabaño Aguado I, Gómez Montes ME, Rasero Ponferrada M. Quiste hepático congénito unilocular simple: de prenatal a posnatal . Rev Pediatr Aten Primaria. 2025;27:179-82. https://doi.org/10.60147/cb034744
Publicado en Internet: 18-06-2025 - Número de visitas: 6059
Resumen
El quiste hepático congénito es una afección rara que suele presentarse como un hallazgo incidental durante el seguimiento ecográfico prenatal. De forma menos frecuente, puede cursar con sintomatología clínica (distensión abdominal, dificultades para alimentarse, dificultad respiratoria y obstrucción duodenal). El diagnóstico se realiza principalmente mediante ecografía, identificando sus características típicas. En general, tienen buen pronóstico y las complicaciones son poco frecuentes, por lo que el manejo suele ser conservador.
Palabras clave
● Hígado ● Quiste ● Quiste hepático ● Trastorno congénitoEl quiste hepático congénito es una afección rara en lactantes y niños. Se trata de una lesión hepática benigna, generalmente silente, que suele presentarse como un hallazgo incidental durante el seguimiento ecográfico prenatal1-3. La mayoría de los quistes hepáticos simples tienden a la resolución espontánea; no obstante, los quistes de mayor tamaño pueden volverse sintomáticos y requerir tratamiento quirúrgico4.
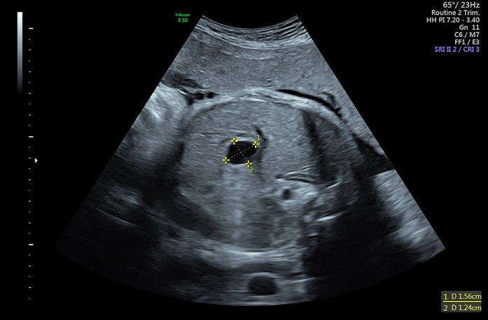
Lactante de 1 mes y 27 días derivada a la consulta de Digestivo Infantil para seguimiento de quiste hepático congénito simple. En la ecografía del segundo trimestre, realizada en su hospital de origen, se objetiva una imagen quística a nivel abdominal. Por este motivo es derivada a nuestro centro, donde, en la semana 25, se realiza nueva ecografía que muestra datos sugestivos de quiste de colédoco: imagen quística de 9 x 9 mm de diámetro que se localiza en hemiabdomen derecho fetal, inmediatamente por encima de la vesícula biliar, contactando con ella en su porción más superior (Figura 1).
| Figura 1. Quiste hepático congénito. Ecografía prenatal en la que se visualiza una imagen quística abdominal |
|---|
![]() |

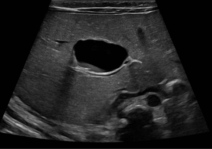
El parto tuvo lugar a las 38 semanas, eutócico y sin incidencias. A las 24 horas de vida, durante su estancia en Maternidad, se solicitó nueva ecografía abdominal, que mostró hallazgos compatibles con quiste simple hepático congénito, unilocular, de 2,5 cm, en segmento IV (Figura 2).
| Figura 2. Quiste hepático congénito. Quiste simple unilocular de pared fina en el interior del lóbulo hepático derecho, de 25 x 17 mm (ejes transverso y anteroposterior), en segmento IV. No se demuestra comunicación con la vesícula biliar ni con la vía biliar |
|---|
![]() |

Durante su visita en la consulta, la familia no refería sintomatología digestiva relevante en periodo posnatal; tampoco ictericia, coluria ni acolia. No presentaba irritabilidad ni vómitos, las deposiciones eran diarias y de consistencia normal. A la exploración física, se observaba buen color de piel y mucosas, sin ictericia, y sin hallazgos patológicos en la exploración abdominal.
Para completar el estudio, se solicitó una analítica sanguínea, en la que no se objetivaron alteraciones en la función hepática, con albúmina, glucosa y coagulación normal, y sin colestasis ni hipertransaminasemia. La alfafetoproteína era de 150 ng/ml. A los 4 meses de vida, la ecografía de control no mostró cambios significativos con respecto a las previas (Figura 3).
| Figura 3. Quiste hepático congénito. Ecografía posnatal de control. En el segmento IV continúa visualizándose un quiste simple unilocular de pared fina, de diámetros similares al estudio previo (25 x 17 mm en sus ejes TR x AP), actualmente con un pequeño nivel ecogénico declive en su interior |
|---|
![]() |

Dada la estabilidad de la lesión y la ausencia de repercusión en la paciente, se optó por continuar con actitud expectante, vigilancia ecográfica y analítica seriadas, y seguimiento en consultas de Digestivo.
El quiste hepático congénito (QHC) es una afección poco común (incidencia posnatal 2,5%) por obstrucción congénita de las glándulas biliares. Se presenta con mayor frecuencia en niñas (1,5:1), y no suele asociarse con quistes en otros órganos. Además, rara vez se comunica con el sistema biliar3.
Los QHC se clasifican en dos tipos: quistes simples y quistes biliares. Esta clasificación depende tanto de la naturaleza del líquido que contiene el quiste como de su relación anatómica con el árbol biliar3.
Se localizan superficialmente justo debajo de la cápsula hepática. El líquido quístico suele ser transparente y rara vez contiene bilis. La localización más frecuente es en el segmento anteroinferior del lóbulo hepático derecho3.
Su forma de presentación más frecuente es el hallazgo accidental de una lesión quística en las pruebas de imagen prenatales. En los lactantes que presentan síntomas, estos pueden incluir distensión abdominal, dificultades para alimentarse, dificultad respiratoria y obstrucción duodenal. En ocasiones, también se observa colestasis debido a la compresión tanto del parénquima hepático como del sistema biliar por un quiste de gran tamaño. En los pacientes de mayor edad, puede presentarse en forma de dolor abdominal, náuseas y vómitos; y, en raras ocasiones, ictericia obstructiva o hipertensión portal1.
Por otro lado, el momento y tipo de parto también está sujeto a debate, pues el riesgo de rotura de un quiste en un parto vaginal da lugar a que algunos autores aconsejen finalizar la gestación mediante cesárea (con más motivo si el quiste es de tamaño considerable). En contraposición, otros hablan de que la distocia de tejidos blandos es poco común, no quedando bien establecido el riesgo de rotura y, por tanto, no contraindicando el parto vaginal4.
El diagnóstico se realiza principalmente mediante estudios radiográficos. El diagnóstico ecográfico en periodo neonatal es sencillo, pues permite identificar la lesión típica, unilocular, pequeña y anecoica, con refuerzo acústico posterior, generalmente situada en el lóbulo hepático derecho, sin otras anomalías asociadas. Encontrar todas estas características en una misma lesión es suficiente para el diagnóstico4. La resonancia magnética (RM) suele revelar una lesión bien delimitada, atenuada por agua, sin realce tras el gadolinio, con señal de baja intensidad en T1 y de alta intensidad en T2. No se asocia a alteración en la función hepática, pero puede elevarse la alfa fetoproteína por renovación celular4.
El diagnóstico etiológico definitivo solo puede realizarse mediante colangiografía intraoperatoria e histopatología, que diferencian el quiste de las lesiones malignas3.
En el diagnóstico diferencial de un quiste abdominal durante el periodo prenatal, se incluyen otras afecciones como los quistes ováricos, el quiste de uraco, el pseudoquiste de meconio, y otros menos comunes, como el quiste de colédoco o el quiste esplénico4. Es crucial que el neonatólogo esté familiarizado con el abanico de patologías que pueden causar esta afección1.
La transformación maligna de un quiste hepático congénito es extremadamente infrecuente, y el único factor de riesgo reconocido para esta transformación es un tamaño del quiste superior a 12 cm4.
En cuanto al manejo, en la literatura científica se plantea tanto la realización de una intervención intrauterina (para evitar impedimento del desarrollo pulmonar y el riesgo de rotura) como esperar al periodo neonatal para tomar la decisión del tratamiento final4. Habitualmente se aboga por un manejo conservador, con monitorización ecográfica periódica para asegurar su estabilidad, especialmente en los quistes grandes (≥5 cm de diámetro)1. Es importante un diagnóstico preciso seguido de una vigilancia periódica con ultrasonografía para un tratamiento óptimo de las lesiones asintomáticas de gran tamaño, ya que muchos quistes pueden producir complicaciones biliares obstructivas. De manera muy ocasional se ha descrito la transformación maligna1.
La intervención quirúrgica con aspiración, escleroterapia o escisión solo está indicada en casos graves, como hidropesía, crecimiento progresivo o gran tamaño, hemorragia, torsión, infección, o si las características de la imagen suscitan dudas diagnósticas1. También, si su tamaño conlleva sintomatología, como distensión o dolor abdominal, ictericia o dificultad respiratoria; o compresión de estructuras intrahepáticas. El tratamiento quirúrgico con extirpación parcial o total del quiste es el tratamiento preferido en el periodo neonatal en los casos en los que la lesión es sintomática y grande, con el objetivo de extirpar la mayor parte posible de la pared del quiste sin causar daños a los órganos vitales circundantes1.
En general, se sabe que los QHC tienen buen pronóstico, y las complicaciones son poco frecuentes2.
El QHC es una condición poco frecuente y que en ocasiones puede suponer un desafío diagnóstico. En este caso, el diagnóstico ecográfico precoz y el seguimiento adecuado permitieron identificar una lesión asintomática y sin repercusiones clínicas que pudo manejarse de manera conservadora, con vigilancia ecográfica periódica y análisis de función hepática, dada la estabilidad de la paciente. Es crucial mantener el seguimiento, con monitorización ecográfica periódica para detectar cualquier cambio en la evolución de la lesión.
Los autores declaran no presentar conflictos de intereses en relación con la preparación y publicación de este artículo.
Contribución de los autores: redacción y revisión de artículos publicados sobre el tema (SPF, EGC), supervisión de la redacción y calidad científica (ICA), asesoramiento diagnóstico por imagen (MEGM).
Los autores han remitido un formulario de consentimiento de los padres/tutores para publicar información de su hijo/a.
QHC: quiste hepático congénito · RM: resonancia magnética.