Vol. 27 - Num. 108
Casos clínicos en Digestivo
Francisco García Iglesiasa, Cristina M.ª López Garcíab, Leopoldo Martínez Martínezc, Eduardo Alonso Gamarrad, Iván Carabaño Aguadoe
aServicio de Gastroenterología y Nutrición Infantil. Hospital Universitario La Paz. Madrid. España.
bServicio de Gastroenterología y Nutrición Infantil. Hospital Universitario La Paz. Madrid. España
cServicio de Cirugía Pediátrica. Hospital Universitario La Paz. Madrid. España.
dServicio de Radiología Infantil. Hospital Universitario La Paz. Madrid. España.
eServicio de Gastroenterología y Nutrición Infantil. Hospital Universitario La Paz. Madrid. España.
Correspondencia: F García. Correo electrónico: Francisco.Garcia.Iglesias@sergas.es
Cómo citar este artículo: García Iglesias F, López García MC, Martínez Martínez L, Alonso Gamarra E, Carabaño Aguado I. Vómitos biliosos persistentes, ¡saltan las alarmas! . Rev Pediatr Aten Primaria. 2025;27:423-5. https://doi.org/10.60147/2c70bf4d
Publicado en Internet: 18-11-2025 - Número de visitas: 3680
Resumen
Las bridas intestinales congénitas son una causa infrecuente de obstrucción intestinal en niños. Su etiología es desconocida. La mayoría de los casos ocurren entre los 2 y 7 años de edad, aunque también está descrito en adultos. Su origen es el atrapamiento del asa intestinal entre la brida y el mesenterio; este hecho genera un cuadro suboclusivo u obstructivo. El inicio de la sintomatología puede demorarse en el tiempo. Puede cursar con dolor abdominal y vómitos biliosos, estreñimiento, distensión abdominal más o menos marcada y rechazo a la ingesta oral. Su detección supone un reto, debido a que no se suele localizar de forma directa en las pruebas de imagen, por lo que el abordaje final diagnóstico-terapéutico suele ser quirúrgico mediante laparoscopia exploradora.
Palabras clave
● Brida ● Intestino ● Obstrucción intestinal ● Vómitos biliososLas bridas intestinales congénitas suponen una causa muy rara de obstrucción intestinal en la edad pediátrica. La etiología de dichas bandas es desconocida. Aunque su origen es congénito, se cree que no son secundarias a ningún resto embrionario. Pueden producir un cuadro de obstrucción intestinal alta de diversa localización e intensidad. La visualización de dicha brida es, por regla general, bastante complicada en las pruebas de imagen. Creemos que su conocimiento es interesante para los pediatras de Atención Primaria como causa poco frecuente, aunque de gran relevancia, de obstrucción intestinal1-3. A continuación, se presenta el caso de una paciente preescolar que acude a urgencias por síndrome emético agudo que precisó ingreso.
Niña de 3 años sin antecedentes de interés que ingresa desde el Servicio de Urgencias por síndrome emético agudo, con intolerancia oral y necesidad de fluidoterapia intravenosa. La restauración de la tolerancia oral resulta infructuosa. Aunque inicialmente los vómitos eran alimentarios, a los 2-3 días de ingreso pasaron a ser biliosos; además, la paciente asociaba una distensión abdominal progresiva. Fue necesario instaurar la nutrición parenteral total y la descompresión con sonda nasogástrica con aspiración.
Debido a la persistencia de la distensión abdominal, se realiza una ecografía abdominal, que resulta normal y una radiografía de abdomen simple, donde se aprecia distensión de asas abdominales hasta íleon terminal, que inicialmente se asocia a posible gastroparesia posinfecciosa. Posteriormente, se amplía el estudio con un tránsito gastro-duodenal, objetivándose un “stop” al paso de contraste baritado en segunda/tercera porción duodenal-ángulo de Treitz (Figura 1). Ante la sospecha de obstrucción intestinal por una membrana duodenal, se indica una gastroduodenoscopia, que resulta normal.
| Figura 1. Tránsito digestivo superior. Se visualiza un stop a la progresión del contraste a partir del ángulo de Treitz. Dilatación del territorio proximal al stop |
|---|
![]() |

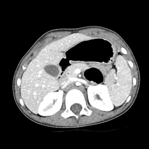
Se realiza posteriormente un TC abdominal (Figura 2) para completar información. Debido a que no se encuentra ninguna lesión que justifique el cuadro obstructivo (ni intrínseca ni extrínseca), se solicita una intervención quirúrgica urgente para la visualización abdominal mediante laparoscopia exploradora. En la intervención, se localiza una brida congénita yeyunal como causa de la obstrucción, que es resecada con éxito.
| Figura 2. TC abdominal. Atrapamiento duodenal con dilatación proximal. La brida no se visualiza como tal, pero sí su efecto compresivo |
|---|
![]() |

Las bridas intestinales congénitas son una causa muy rara de obstrucción intestinal en niños, existiendo escasas series de casos en todo el mundo. Cursa con atrapamiento intestinal entre la brida y el mesenterio, lo que provoca un cuadro suboclusivo u obstructivo. La clínica de inicio puede demorarse en el tiempo, y no ser evidente en los primeros meses o años de vida, tal y como ocurrió en la paciente1.
La mayoría de los casos ocurren antes de la adolescencia, con un pico de aparición entre los 2 y 7 años de edad. Hay casos descritos en adultos cuyo debut parece estar relacionado con cambios anatómicos o fisiológicos propios de esta edad. Parece que existe mayor número de casos en varones que en mujeres. La localización es variable a lo largo del tubo digestivo, aunque la unión entre el colon ascendente y el mesenterio del íleon terminal parece ser la localización más frecuente, seguido de la unión entre el ligamento de Treitz y el mesenterio del íleon terminal1-3.
Al presentarse como un cuadro obstructivo, en la sintomatología predomina el dolor abdominal y los vómitos biliosos, aunque en los lactantes también puede destacar el estreñimiento, la distensión abdominal y el rechazo de la ingesta oral1-4.
En ocasiones, en los controles analíticos también pueden elevarse los marcadores de daño pancreático, como la lipasa o la amilasa por diversos mecanismos relacionados con la obstrucción, sin implicar necesariamente una pancreatitis al uso2.
Las pruebas de imagen utilizadas en estos casos, tales como la radiografía de abdomen, ecografía, tránsito digestivo superior y tomografía computarizada, normalmente objetivan datos inespecíficos compatibles con la obstrucción intestinal (dilatación de asas, niveles hidroaéreos), pero no suelen obtener una clara visualización directa de la propia brida. Por este motivo, el abordaje diagnóstico-terapéutico suele ser quirúrgico, más frecuentemente mediante laparoscopia exploradora, precisando en ocasiones una laparotomía1-4.
Las náuseas y los vómitos son síntomas guía de una gran variedad de patologías en la edad pediátrica. Aunque la causa más frecuente de vómitos en Pediatría es la patología gastrointestinal, no debemos olvidar la patología neurológica, endocrina, renal o psiquiátrica en el diagnóstico diferencial. Teniendo en cuenta la historia clínica y la temporalidad de los vómitos, sean agudos, subagudos o crónicos, las características del contenido y la edad del paciente, pueden orientarnos hacia un diagnóstico de sospecha u otro4.
La gastroenteritis vírica es la causa más frecuente de vómitos en lactantes, niños de mayor edad y adolescentes, siendo la gastroparesia posinfecciosa una causa relativamente frecuente de complicación que a su vez también puede provocar vómitos. No obstante, no debemos olvidar que siempre que tengamos un paciente con vómitos biliosos persistentes, estamos obligados a ampliar el estudio con pruebas complementarias analíticas y de imagen, para descartar un cuadro obstructivo o pseudobstructivo subyacente y detectar una complicación u otra entidad asociada que justifique el cuadro4. Entre ellas, las bridas intestinales congénitas.
Los autores declaran no presentar conflictos de intereses en relación con la preparación y publicación de este artículo.
Todos los autores han contribuido de forma equivalente en la elaboración del manuscrito publicado.
Los autores han remitido un formulario de consentimiento de los padres/tutores para publicar información de su hijo/a.