Vol. 28 - Num. 109
Casos clínicos en Digestivo
Francisco García Iglesiasa, Cristina M.ª López Garcíaa, Iván Carabaño Aguadoa
aServicio de Gastroenterología y Nutrición Infantil. Hospital Universitario La Paz. Madrid. España.
Correspondencia: F García. Correo electrónico: Francisco.Garcia.Iglesias@sergas.es
Cómo citar este artículo: García Iglesias F, López García MC, Carabaño Aguado I. Enfermedad inflamatoria intestinal parece, crisis celíaca es . Rev Pediatr Aten Primaria. 2026;28:75-7. https://doi.org/10.60147/4d49748e
Publicado en Internet: 15-01-2026 - Número de visitas: 2328
Resumen
La crisis celíaca es una complicación muy rara y potencialmente grave de la enfermedad celíaca. Suele ocurrir en el momento del debut de dicha enfermedad, pero no es infrecuente su aparición de forma más tardía. El rango de edad en el que aparece esta entidad es amplio. La mayoría de los casos ocurren alrededor de los dos primeros años de vida, pero también está descrita en la edad adulta (de hecho, las últimas revisiones sitúan la mediana alrededor de los 18 años). Desde el punto de vista clínico y analítico, se suele manifestar como una diarrea profusa y suele asociar una deshidratación importante, alteraciones hidroelectrolíticas, hipoalbuminemia, letargia, desnutrición e incluso coagulopatía. Se cree que existen factores desencadenantes, como infecciones intercurrentes, vacunación, cirugías o transgresiones dietéticas. El tratamiento es de soporte: corrección de la deshidratación, las alteraciones hidroelectrolíticas y la desnutrición. En ocasiones, se puede necesitar en las fases iniciales corticoterapia y/o nutrición parenteral total.
Palabras clave
● Enfermedad celíaca ● HipoalbuminemiaLa crisis celíaca supone una manifestación infrecuente y potencialmente grave de la enfermedad celíaca. Generalmente, es difícil averiguar su etiopatogenia, aunque se cree que existen factores desencadenantes, como infecciones, cirugías o transgresiones dietéticas. Suele cursar como diarrea aguda o subaguda intensa. Asocia mal estado general, deshidratación y desnutrición, hipoalbuminemia y alteraciones hidroelectrolíticas1-3. A continuación, presentamos un caso de crisis celíaca que afectó a un paciente en edad escolar.
Niño de 8 años sin antecedentes familiares ni epidemiológicos de interés, derivado desde el centro de salud al servicio de urgencias de nuestro hospital por un cuadro de diarrea acuosa de 10 días de evolución, dolor abdominal periumbilical, repercusión hidroelectrolítica y pérdida ponderal de 2 kg de peso, en un contexto de fiebre y vómitos al inicio. Había sido diagnosticado de enfermedad celíaca en el mes previo al ingreso, por lo que se había iniciado dieta exenta de gluten. Los padres referían una buena adherencia a la misma.
Al ingreso, destacaba un aspecto de desnutrición franca. De hecho, se inició nutrición parenteral. Ante una situación clínica de mal estado general e importante elevación de marcadores de inflamación, se inició antibioterapia sistémica empírica con cefotaxima IV y posteriormente se añadió metronidazol IV. El estado general del paciente fue mejorando de forma progresiva, al igual que la sintomatología digestiva y las alteraciones analíticas, incluida la hipoalbuminemia que tenía al ingreso.
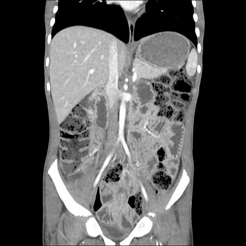
Se completó el estudio etiológico con diversas pruebas complementarias. En la ecografía intestinal inicial se observó engrosamiento difuso de asas, sin claros estigmas de afectación estructurada y adenopatías de carácter reactivo (Figura 1). En el TC abdominal, los hallazgos fueron muy similares (Figura 2). El estudio microbiológico resultó negativo. Para esclarecer el proceso, se realizó una endoscopia alta y baja, macroscópica e histológicamente normales, salvo una atrofia vellositaria total en el duodeno, sin datos de inflamación crónica ni de apoptosis.
| Figura 1. Paciente de 8 años. Crisis celíaca. Ecografía abdominal: engrosamiento difuso de asas intestinales y numerosas adenopatías, de carácter reactivo |
|---|
![]() |

| Figura 2. Paciente de 8 años. Crisis celíaca. TC abdominal: engrosamiento difuso e inespecífico de asas intestinales, sin datos de obstrucción/estenosis |
|---|
![]() |

Al haber descartado una enfermedad inflamatoria intestinal o una enteropatía autoinmune en el diagnóstico diferencial y en el contexto de un cuadro malabsortivo grave, finalmente fue diagnosticado de una crisis celíaca provocada por un desencadenante probablemente infeccioso no identificado. La sintomatología se resolvió finalmente de manera completa tras las medidas de soporte nutricionales y la antibioterapia. Más tarde, se recuperó la tolerancia oral y el hábito intestinal se regularizó.
La crisis celíaca (CC) puede ser la primera manifestación de la enfermedad celíaca, si bien es cierto que en muchos casos ocurre de forma tardía. Pese a ser una complicación infrecuente, supone un reto diagnóstico y potencialmente grave. Aunque la bibliografía clásica respaldaba un mayor número de casos en la edad pediátrica (sobre todo en los dos primeros años de vida), actualmente la mediana de aparición se sitúa en los 18 años, y afecta en mayor medida al sexo femenino2.
En Pediatría, los criterios diagnósticos de la CC no están claramente definidos. De forma no unánime, se acepta extrapolar en niños los criterios definidos en 2010 por Jamma et al. para los adultos. Estos incluyen: diarrea profusa, alteraciones hidroelectrolíticas, hipoalbuminemia, deshidratación y desnutrición. Pese a que en adultos suele estar desencadenado por una transgresión dietética, en niños se cree que es de enorme relevancia la existencia de un estrés agudo que actúa como trigger; por ejemplo: una cirugía, vacuna o proceso infeccioso. Nuestra hipótesis explicativa del caso descrito es que, pese a la negatividad de las pruebas microbiológicas, este último hecho fue el responsable de la CC de nuestro paciente1-3.
El desafío suele estar en el diagnóstico diferencial, ya que, como se ha comentado, en muchos casos es la CC es la primera manifestación de esta enfermedad. Además, la CC comparte expresión clínica con otros cuadros, tales como una enfermedad inflamatoria intestinal (EII) o una enteropatía autoinmune4. En nuestro caso, y pese a no existir afectación estructurada de asas intestinales en la ecografía, nos vimos en la obligación de realizar un estudio endoscópico completo. Los hallazgos histológicos nos permitieron excluir tanto la EII como la enteropatía autoinume.
Volviendo a la reflexión sobre el caso expuesto, cabe recalcar que la mejoría clínica tras inicio de la cobertura antibioterapia combinada probablemente guardase relación con una traslocación bacteriana. Recordemos la importante desestructuración de la barrera vellositaria propia de la enfermedad celíaca activa. En cualquier lugar, el tratamiento de soporte es fundamental para poder optimizar la deshidratación, los déficits iónicos asociados y la hipoalbuminemia. Recordemos, a su vez, que la reversión de la desnutrición ha de hacerse de una forma gradual y paulatina, con la finalidad de evitar la aparición de un síndrome de realimentación1-3.
Los autores declaran no presentar conflictos de intereses en relación con la preparación y publicación de este artículo.
Todos los autores han contribuido de forma equivalente en la elaboración del manuscrito publicado.
Los autores han remitido un formulario de consentimiento de los padres/tutores para publicar información de su hijo/a.
CC: crisis celíaca · EII: enfermedad inflamatoria intestinal.