Vol. 21 - Num. 84
Notas clínicas
Elena Resa Serranoa, Alicia González Jimenob, Zaira Belmonte Pintrec, M.ª Carmen Torres Torresb, Ana Muñoz Serranob, Ainara Violero Plazad
aMIR-Pediatría. Hospital General La Mancha Centro. Alcázar de San Juan. Ciudad Real. España.
bServicio de Pediatría. Hospital General La Mancha Centro. Alcázar de San Juan. Ciudad Real. España.
cMIR-Pediatría. Complejo Hospitalario La Mancha Centro. Alcázar de San Juan. Ciudad Real. España.
dServicio de Ginecología y Obstetricia. Hospital General La Mancha Centro. Alcázar de San Juan. Ciudad Real. España.
Correspondencia: E Resa. Correo electrónico: resa_serrano93@hotmail.com
Cómo citar este artículo: Resa Serrano E, González Jimeno A, Belmonte Pintre Z, Torres Torres MC, Muñoz Serrano A, Violero Plaza A. Hoyuelo cutáneo occipital en una recién nacida. Rev Pediatr Aten Primaria. 2019;21:393-6.
Publicado en Internet: 25-11-2019 - Número de visitas: 20366
Resumen
El seno dérmico es un defecto congénito de cierre del tubo neural que se produce entre la tercera y la cuarta semana de gestación. Es una variedad de disrafismo que permite una potencial comunicación entre la piel y el sistema nervioso central. Se localiza preferentemente en línea media posterior, desde el occipucio hasta la región lumbosacra; la localización occipital es la segunda más frecuente. La clínica es muy variable, desde pacientes asintomáticos hasta el desarrollo de meningitis o abscesos por comunicación con el sistema nervioso central como primera manifestación clínica. La resonancia magnética es la prueba de imagen diagnóstica más adecuada, ya que permite determinar la extensión de las lesiones y descartar lesiones a otros niveles. Se recomienda exéresis quirúrgica profiláctica total en todos los casos. Presentamos un caso de una recién nacida con un hoyuelo cutáneo en la región occipital visualizado en la primera exploración física.
Palabras clave
● Disrafia espinal ● Enfermedades de la piel ● Espina bífida oculta ● Hoyuelo cutáneo ● Meningitis ● Seno dérmicoEl seno dérmico es un defecto congénito de cierre del tubo neural que se produce entre la tercera y la cuarta semana de gestación. Es una variedad de disrafismo que permite una potencial comunicación entre la piel y el sistema nervioso central. Se localiza preferentemente en la línea media posterior, desde el occipucio hasta la región lumbosacra; la localización occipital es la segunda más frecuente y la presencia de cuero cabelludo dificulta su diagnóstico precoz. Además, puede acompañarse de otros tipos de disrafismos, estigmas cutáneos y tumores de inclusión1.
Recién nacida, mujer, sin antecedentes de interés, en la que, en la primera exploración física, se palpa una cresta ósea en el occipucio, centrada en la línea media. Sobre esta se observa un hoyuelo cutáneo de bordes definidos, de 1 cm aproximadamente de diámetro, en cuyo fondo se presenta tejido fibrinoso de granulación, sin aspecto sobreinfectado ni secreción purulenta (Fig. 1). El resto de la exploración física y neurológica es normal.
Ante la sospecha de disrafismo craneal, ingresa para estudio y realización de pruebas de imagen. En la resonancia magnética (RM) cerebral se visualizó una lesión dérmica occipital central, levemente lateralizada a la derecha, de aproximadamente 1 cm, con umbilicación central, que se extiende al tejido celular subcutáneo hasta contactar con una pequeña discontinuidad en la calota, próxima al seno transverso derecho, sin contacto con estructuras vasculares intracraneales, compatible con seno dérmico (Fig. 2). La RM de columna vertebral descartó lesiones a otros niveles.
| Figura 2. Trayecto del seno dérmico subcutáneo en resonancia magnética craneal (secuencia T1 sin contraste intravenoso) |
|---|
![]() |

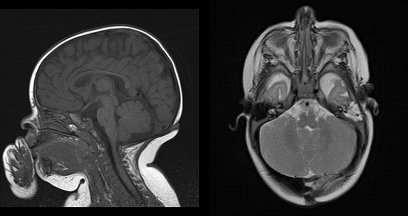
El cuarto día de ingreso, en contexto de irritabilidad sin fiebre, se realiza una analítica, con negatividad de reactantes de fase aguda y hemocultivo. Comentado el caso al servicio de neurocirugía, se descarta la intervención quirúrgica en ese momento, manteniendo el seguimiento ambulatorio en consultas y pendiente de planificación quirúrgica. La paciente, al alta, también es seguida en la consulta de Neuropediatría, encontrándose asintomática, con exploración y desarrollo psicomotor normal. A los cuatro meses de vida, se realiza una RM craneal de control (Fig. 3), previa a la cirugía, que sigue mostrando el seno dérmico sin otras complicaciones.
| Figura 3. Trayecto del seno dérmico subcutáneo en resonancia magnética craneal de control (secuencia T1 sin contraste intravenoso) |
|---|
![]() |

El seno dérmico es un tracto tubular producido por una separación incompleta entre el ectodermo neural y el ectodermo epitelial en la tercera o cuarta semana de gestación. Constituye una variedad de disrafismo que permite una potencial comunicación entre la piel y el sistema nervioso central, actuando como puerta de entrada a infecciones1. La profundidad de la lesión parece quedar determinada en el periodo embrionario y permanece estable durante el resto de la vida2,3.
Aunque suele presentarse como un hoyuelo o fosita en la piel, asociada o no a hipertricosis, también puede hacerlo como zonas hiperpigmentadas, tumoración subcutánea o presencia de secreción purulenta2. Frecuentemente se asocian a quistes dermoides o epidermoides (constituyen el 0,1-0,7% de los tumores intracraneales), y es más rara la asociación con teratomas4. Generalmente se localizan en cualquier punto de la línea media, sobre todo en la fosa posterior y la región glabelar, pudiendo conectar o no con el cuarto ventrículo5.
Los quistes dermoides pueden clasificarse, según su relación con la duramadre, en extradurales o intradurales y por la presencia o no de un seno dérmico asociado. Los senos dérmicos, a su vez, se dividen en completos o incompletos, según comuniquen o no con el sistema nervioso central.
El curso natural de la enfermedad es poco conocido, encontrando desde pacientes asintomáticos hasta pacientes con meningitis fulminantes2. Entre las complicaciones infecciosas, la principal es el riesgo de meningitis, sobre todo en senos dérmicos comunicantes con un quiste dermoide que permite la entrada de microorganismos al sistema nervioso. De hecho, la forma de presentación más frecuente de los senos dermoides complicados son las meningitis recurrentes. Los quistes dermoides también pueden formar colecciones ricas en colesterol que promueven la infección por microorganismos (generalmente Staphylococcus aureus y otros gramnegativos) produciendo abscesos. Entre las complicaciones de tipo no infeccioso destacan la fuga de líquido cefalorraquídeo, meningitis aséptica y las relacionadas con el efecto masa (hidrocefalia obstructiva y aumento de la presión intracraneal)5.
Los senos dérmicos de fosa posterior pueden asociarse con otras malformaciones tales como el síndrome de Klippel-Feil, la malformación de Dandy Walker o la agenesia del cuerpo calloso5.
La RM es la prueba de imagen más adecuada para su diagnóstico. Debe realizarse antes de la cirugía para establecer la profundidad y la posible comunicación con el sistema nervioso central, así como para descartar lesiones asociadas2. Por el contrario, la fistulografía está contraindicada por riesgo de rotura del quiste dermoide y el riesgo de introducción de bacterias en él5. Por tanto, ante un paciente con meningitis recurrentes, hay que realizar una RM para descartar posibles defectos anatómicos4.
En cuanto al tratamiento, se recomienda la exéresis quirúrgica profiláctica total en todos los casos, para prevenir infecciones graves, a excepción de los casos que terminan próximos a alguna estructura venosa intracraneal en los que se recomienda una microcirugía cuidadosa2. Si la escisión fue incompleta, existe un aumento del riesgo de recurrencia4.
No existe una indicación estricta del momento adecuado para realizar la cirugía porque no se conoce el curso natural de la enfermedad. En pacientes asintomáticos se recomienda tan pronto como pueda tolerarla (generalmente después de los dos meses) y, en pacientes con complicaciones, lo antes posible2.
Las autoras declaran no presentar conflictos de intereses en relación con la preparación y publicación de este artículo.
RM: resonancia magnética.